…però prima dell’intervento, mi è inspiegabilmente scomparsa la dima 😓
e ho dovuto eseguire l’intervento alla cieca 😬.
Beh, in realtà non era proprio alla cieca, perché vedevo la cresta alveolare e la sua forma, e sapevo che sotto lo strato di tessuti molli c’era l’osso, con la stessa forma ma un pelo più piccolo… “not such a big deal” se ci pensi 😉.
Ma partiamo dall’inizio: ci sono alcuni casi di edentulia, abbastanza rari per la verità, per i quali è indiscutibilmente indicato un approccio flapless. Le caratteristiche di questi casi sono:
• Un osso abbastanza spesso che consenta di inserire gli impianti all’interno della compagine ossea senza dover ricercare uno spessore adeguato mediante una parziale osteotomia.
• Una cresta regolare che consenta di confezionare una protesi totalmente convessa nella sua parte a contatto con i tessuti molli e, di conseguenza, adeguatamente detergibile
.• Una sufficiente quantità di osso per inserire impianti di lunghezza standard in posizione standard (penso che sia ovvio, e non richieda spiegazioni, il fatto che impianti transinusali o zigomatici richiedano un approccio a lembo…).
• Un’adeguata quantità di tessuto cheratinizzato, all’interno del quale far emergere le connessioni protesiche.
Tutte queste condizioni sono necessarie. In assenza di anche solo una di esse, un approccio flapless porterà ad un risultato di bassa qualità. E non me ne frega niente se tu non sai sollevare un lembo, questa non è una giustificazione per fare lavori di bassa qualità ai pazienti. O impari a sollevare i lembi o ti limiti alle otturazioni, molto semplice🙆
Comunque, come dicevo, ci sono alcuni rari casi in cui un approccio flapless è attuabile e può condurre a un risultato di eccellenza. Quello che non riuscirò mai a capire è quale sia la funzione di una guida chirurgica digitale in questi casi che, viste le condizioni di cui sopra, sono assolutamente ovvi e banali da trattare “alla cieca”. Tutto si risolve nel fare lo stesso intervento che hai fatto sul modellino di plastica al corso base AO4 organizzato da qualunque azienda implantare. Nulla di più e nulla di meno.
Lo so che qualcuno tra quelli che leggono si sta incazzando molto perché fa un sacco di implantologia guidata e magari ci basa pure la sua attività di marketing e di formazione o ha rapporti commerciali con aziende che producono il relativo materiale. Ma non ti dirò che mi dispiace, perché non me ne frega proprio nulla. Trovo questa moda inutile e diseducativa per i giovani. Poi, come sai, sono molto umile 😬, quindi non escludo assolutamente di sbagliarmi… è possibile che l’implantologia guidata sia assolutamente utile e abbiate ragione voi. Io per ora questa utilità non l’ho trovata, ma chi lo sa… mai dire mai!
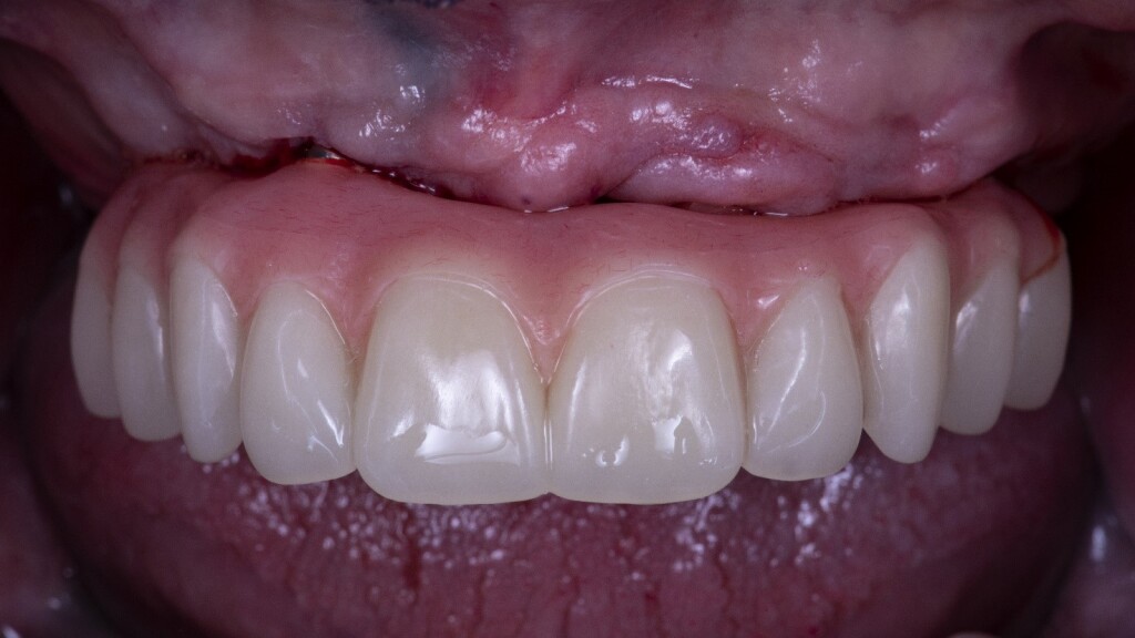
Ora ti lascio al video, ma prima ti mostro la protesi fissa consegnata 4 ore dopo la “chirurgia” (le virgolette sono d’obbligo)…
A presto!
