IL TUO PRINCIPALE FRENO IN CHIRURGIA IMPLANTARE: LE SEGHE MENTALI (CON VIDEO CHIRURGICO TOP)

Giovedì scorso ho ospitato in sala chirurgica un collega che è venuto a vedere l’intervento di una sua paziente che mi aveva riferito.

Due settimane prima l’avevamo operata all’arcata superiore.

110

Ora toccava a quella inferiore, sicuramente più semplice, ma che, a prima vista, presentava comunque alcune apparenti criticità.

inizio

1. L’antefatto… 🦷

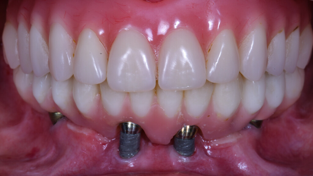
La paziente era stata trattata circa quattro anni fa presso un centro low cost del centro Italia, e quello che è successo a livello chirurgico è abbastanza chiaro: l’inconsapevole “chirurgo” aveva posizionato gli impianti in osso alveolare nella vana speranza che questo si preservasse nel tempo.

Stupidaggine, tra l’altro, che sta tornando in grande voga negli ultimi anni e che, come già avvenuto vent’anni fa, si riverserà sulle teste di chi la propina con una marea di fallimenti come quello che vedi qui.

Come si può osservare dal video, gli impianti non sono in perimplantite: semplicemente, l’osso si è riassorbito attorno lasciandoli fuori.

Concetto ovvio per chiunque conosca la biologia, ma non tanto per chi si fa progettare le mascherine della guidata dal rappresentante di certe case implantari! 🙄

Per fortuna anche gli impianti penso fossero low cost, perché non ho avuto grandi difficoltà a svitarli, pur dopo quattro anni.


2. Le seghe mentali…
🧠

Quando qualcuno riesce ad accedere alla mia sala chirurgica sa che non si chiacchiererà. Io opero in silenzio e non voglio che nessuno parli intorno.

Prima dell’intervento, però, il collega mi ha espresso alcuni dubbi:

– Dove avrei posizionato gli impianti trovandomi i buchi di quelli precedenti?

– Sarebbero stati abbastanza indietro per evitare eccessivo cantilever?

– E… non sarebbe stato più semplice lisciare le spire degli impianti posteriori (vedrai dal video che hanno la parete vestibolare totalmente fuori dall’osso)?

opt
Forse potrai immaginare la mia risposta:

“Ascolta: queste sono seghe mentali. Questi casi si trattano spegnendo il cervello ed applicando la tecnica. NON DEVI PENSARE!” ⚡

3. La tecnica… 🔩

La tecnica è, invero, molto semplice in questi casi, almeno a livello decisionale.

Poi, l’aspetto manuale è diverso e mi rendo conto che richieda esperienza… ma quella si ottiene proprio gestendo vagonate di casi come questo 😅 cosa che non succede, appunto, se ci si fanno troppe seghe mentali.

Se fossi come il piccolo opinion leader moderno che prende mille euro al mese da un’azienda di impianti o biomateriali, darei alla tecnica per trattare questi casi un nome: SSBA.

Ma non lo sono e non mi frega nulla di dare nomi a tecniche che non hanno nulla di originale.

L’approccio consiste in questo:

👉 Svita

👉 Spiana

👉 Buca

👉 Avvita

È veramente molto semplice, ma non devi pensare.

All’inizio tutto è disordinato e non riesci a visualizzare la soluzione e la posizione implantare. Se ci pensi troppo ti blocchi.

Poi, appena hai spianato, tutto appare chiaro e semplice e, soprattutto, metterai gli impianti in osso di spessore adeguato e stabile negli anni. 💪

4. La dimostrazione… 🎬

Ora beccati il video!

Ricorda di loggarti a YouTube, se no non te lo fa vedere perché lo considera “violento” 😅 e, mi raccomando, quando hai finito torna sulla piattaforma da cui sei partito e mettimi un pollicino 👍 

Anche io ho bisogno della mia dose quotidiana di dopamina! 😎

A presto!

Federico


P.S.

Se vuoi svoltare nel trattamento dei full-arch, ti aspettiamo al corso “La semplificazione nella riabilitazione full-arch su impianti” 2026! 🚀

Lascia una risposta

L'indirizzo email non verrà pubblicato. I campi obbligatori sono contrassegnati *