Febbraio 2015 è stata una data importante nel cambiare la mia pratica in endodonzia. Mi è infatti capitato di leggere un articolo che è stato determinante nel cambiare il mio approccio ai molari inferiori.
Come molti di voi, per me i primi molari inferiori avevano 3 o 4 canali, due mesiali e uno o due distali, mentre i secondi molari ne avevano più spesso 3, ogni tanto solo 2 e facevo attenzione alla eventuale presenza di un C-shaped canal.

Pur sapendo che esistevano molari con 5 canali alla fine mi accontentavo di trovare i classici canali.
Che ci potesse essere un canale mesiale-mediano lo sapevo ma alla fine non lo vedevo mai, nemmeno al microscopio, forse perché da anni lavoro su denti da ritrattare e non ero aiutato da eventuali sanguinamenti residui dopo la strumentazione dei canali “convenzionali”.
La prevalenza del canale mesiale-mediano, leggevo, varia da 1 a 25%.
Poi, ho letto questo articolo:
Azim & Co. Su 91 molari hanno trovato il canale MM in 42 casi! E 21 erano secondi molari!
??????
E come facevano? Si approfondivano di 2 mm nell’istmo tra i canali mesio-vestibolare e mesio-linguale con un fresina diamantata larga 1 mm in punta. Così facendo aumentavano il reperimento complessivo da 6 casi (tutti primi molari) a 42, di cui 21 secondi molari!
Incredibile!
Il giorno dopo sul primo sesto inferiore che mi è capitato a tiro ho subito provato a inserire un Mtwo nell’istmo tra i canali MV e ML e….TADAAAAAAAN! Lo strumento si è subito impegnato!!!!
??????
Da allora su 48 primi molari ho trovato il canale mesiale-mediano 24 volte in 17 mesi! Percentuale di 50%!!!
E sto tenendo il conto solamente dei primi molari, ma come vedrai qui sotto, li trovo anche sui secondi molari inferiori.
Di solito, essendo l’Mtwo viola uno strumento fenomenale per reperire e sondare in un sol colpo i canali stretti o calcificati, dopo aver sagomato i canali MV e ML provo a inserire questo strumento più volte nell’istmo tra i due canali suddetti. Se non sento un impegno allora mi approfondisco di 2 mm tra i canali MV e ML con una StartX 3 o , più spesso, con una fresina diamantata larga 0,8 in punta e il gioco è fatto.
Se dopo queste due manovre non trovo nulla desisto.
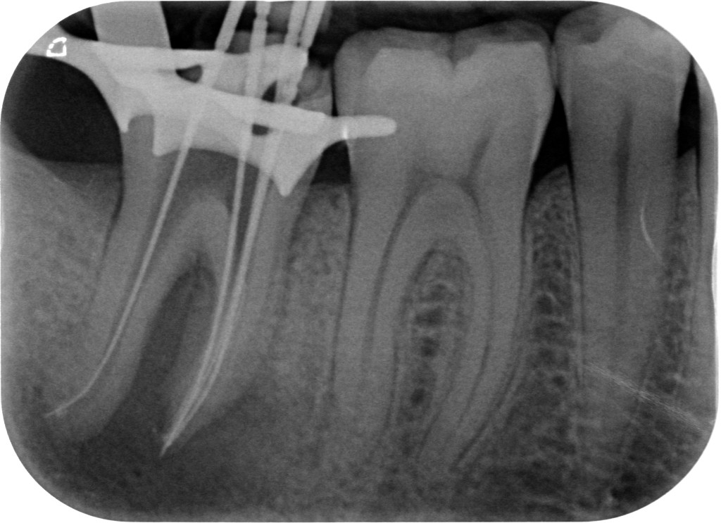
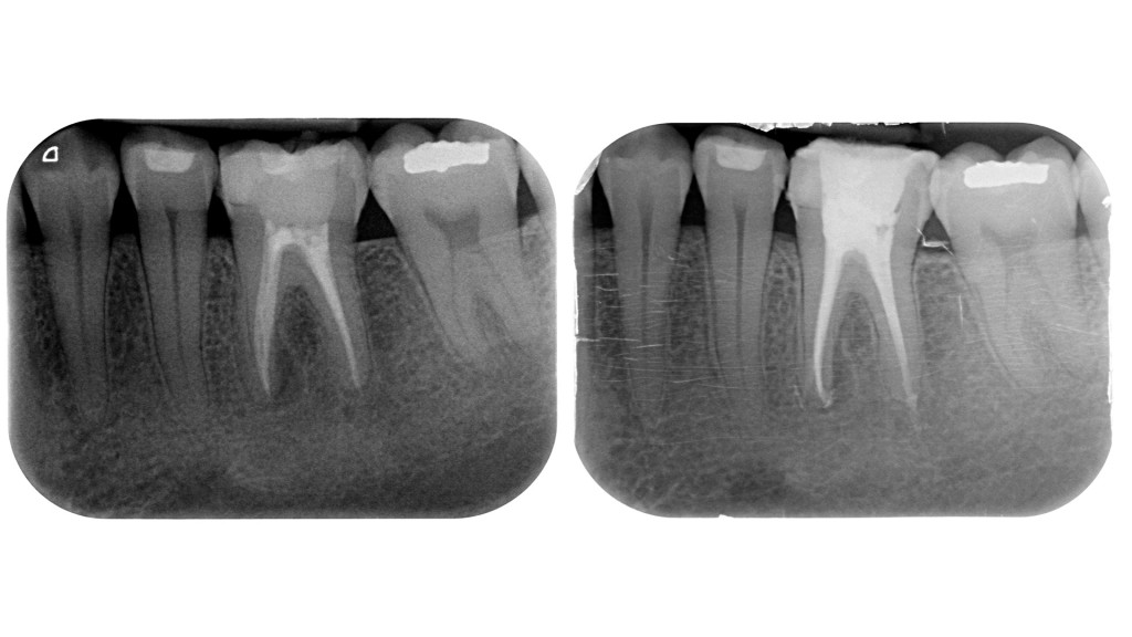
La scoperta che il canale mesiale-mediano deve essere cercato ed è spesso presente ha dato una soluzione a questi casi che mi capitano con una certa frequenza. Canali della radice mesiale del primo molare inferiore chiusi in apparenza bene con lesione. Il mio socio che si occupa quasi solo di chirurgia continuava a dirmi che poteva essere un problema di detersione, ma io a questo non ho mai creduto. Se un canale chiuso radiograficamente bene ha una lesione o è fratturato in verticale o manca un canale.
In questi casi avverto il paziente delle due ipotesi e appena arrivo a pulire la camera provo subito con impazienza a cercare il canale mancante. E c’è quasi sempre.
Ora ti mostro qua sotto come reperire il canale mesiale-mediano.
Spero che anche tu da domani cambierai il modo di considerare i molari inferiori.
In altri articoli del blog ti spiegherò come in endodonzia io abbia aumentato in maniera considerevole il numero dei canali reperiti anche in altri denti. Continua a seguirci!
Stefano






Grazie dello spunto, articolo interessante.
Lavoro in uno studio dentistico a Verona, mi occupo prevalentemente di endodonzia e abbiamo in dotazione il microscopio per fornire ai nostri pazienti trattamenti canalari di alta qualità.
Ho sempre cercato il canale mediano nella linea che congiunge il MV e il ML, l’ho trattato occasionalmente in pazienti giovani in cui lo vedevo già all’apertura della camera pulpare, ma non mi ero mai approfondita a cercarlo se non ne vedevo almeno un accenno, non avendo letto quell’articolo credevo che le percentuali fossero molto più basse.
Ora lo sto cercando con più convinzione approfondendomi come suggerito anche in casi in cui mi sembra in prima battuta che non sia presente e confermo che le percentuali di casi in cui lo reperisco sono leggermente aumentate!