Mi dispiace ma anche se non ti dedichi alla chirurgia l’ALLUNGAMENTO DI CORONA CLINICA devi saperlo fare.
O meglio nel tuo studio che come ti ha detto Stefano nell’articolo precedente, deve comprendere più specialisti, qualcuno deve saper eseguire un allungamento di corona clinica in 30 minuti.
E’ un intervento fondamentale per poter recuperare denti gravemente compromessi da una lesione cariosa o da una fratture che si estendono sotto gengiva. E spero di non offendere nessuno nel dire che il recupero dei denti con compromissione cariosa e in assoluto LA BASE dell’odontoiatria operativa.
Ergo: se non hai a disposizione questo intervento nel tuo studio non puoi eseguire correttamente l’odontoiatria di base e visto che, fortunatamente, la popolazione ha sempre più bisogno di odontoiatria di base di ottima qualità e sempre meno bisogno di circolaroni e dentiere, vedrai che il tuo studio comincerà a svuotarsi. E quando sarai tentato di dare la colpa alla crisi economica e alle cliniche low-cost ripensa a queste mie parole e IMPARA L’ALLUNGAMENTO DI CORONA CLINICA (o associati con un bravo parodontologo!!!).
Ora veniamo alla base: LA DIGNOSI E LA PROGRAMMAZIONE TERAPEUTICA.
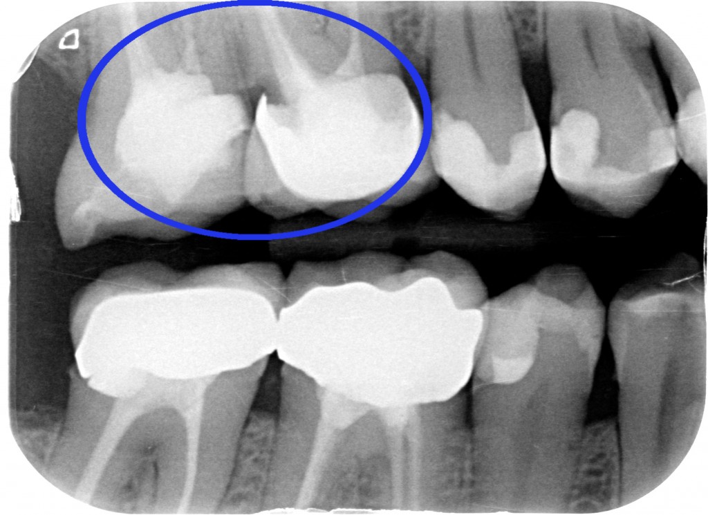
Accademicamente potremmo dire: CARIE SECONDARIA A CARICO DI 1.6 PRECEDENTEMENTE RESTAURATO MEDIANTE CORONA IN METALLO CERAMICA.
Ma io nella mia testa dico “chi ha fatto quella corona avrebbe dovuto fare un allungamento di corona clinica, ma non lo sapeva o non lo voleva fare. Quindi non ha potuto gestire correttamente il margine di chiusura distale. Quindi è rimasto del tessuto cariato o non è stato effettuato un corretto sigillo marginale per cui… E’ SUCCESSO IL FATTACCIO!”
Anche se il paziente non avvertiva nessun fastidio abbiamo fatto una visita completa, che comprende le due bite-wings posteriori e ci siamo accorti del problema. Ora però lo dobbiamo risolvere. Abbiamo tre strade:
-
Fare lo stesso errore del collega precedente… magari è meglio di no. Se no poi il paziente si cerca il terzo dentista.
-
Togliere il dente e mettere un impianto… possiamo discuterne ma da parodontologo preferisco di no.
-
Eseguire un allungamento di corona clinica che richiede TRENTA MINUTI SCARSI(!!!) e restaurare l’elemento con in corretto controllo dei margini protesici.
Se tu hai una quarta soluzione ti prego scrivila nei commenti qua sotto.
Il riposizionamento apicale dei tessuti parodontali ci consentirà quindi di:
ESEGUIRE UN CORRETTO PRETRATTAMENTO CORONALE
ESEGUIRE UN CORRETTO RITRATTAMENTO CANALARE ISOLANDO IL CAMPO CON LA DIGA DI GOMMA
ESEGURE UN CORRETTO RESTAURO PROTESICO
“Hei hei guarda un po’ lì cosa ha combinato questo?! Una tacca sul dente dietro!!”
Beh caro amico, la fresa tra i due denti ci deve passare e se le due radici sono troppo vicine bisogna creare lo spazio per una papilla interdentale sana e non sofferente, dove poter mettere un filo retrattore (anzi due) alla presa dell’impronta. Quindi sì, lo ammetto: una tacca di qua e una tacca di là!
PS: l’allungamento di corona clinica non vuol dire aprire la papilla fresare un po’ di osso interprossimale e chiudere! Quello tecnicamente si chiama creare un difetto parodontale iatrogeno.
Ora vediamo la tecnica di questo intervento.





ho visto il video di Salzano:bravo e complimenti per la chiarezza delle immagini e del linguaggio.
Grazie, anche se il video dell’allungamento è di TIRONE!???
Ciao Federico, posso chiederti le differenze tra un allungamento nell’arcata superiore e inferiore?
grazie
Howdy! This is my first visit to your blog! We are a group of volunteers and starting a new project in a community
in the same niche. Your blog provided us beneficial information to
work on. You have done a outstanding job!
I was able to find good information from your content.