Oggi era giorno di prime visite.
Non avevo dubbi che avrei trovato una perla per aprire le danze in Formazione Odontoiatrica, anche se mi è arrivata in maniera imprevista.
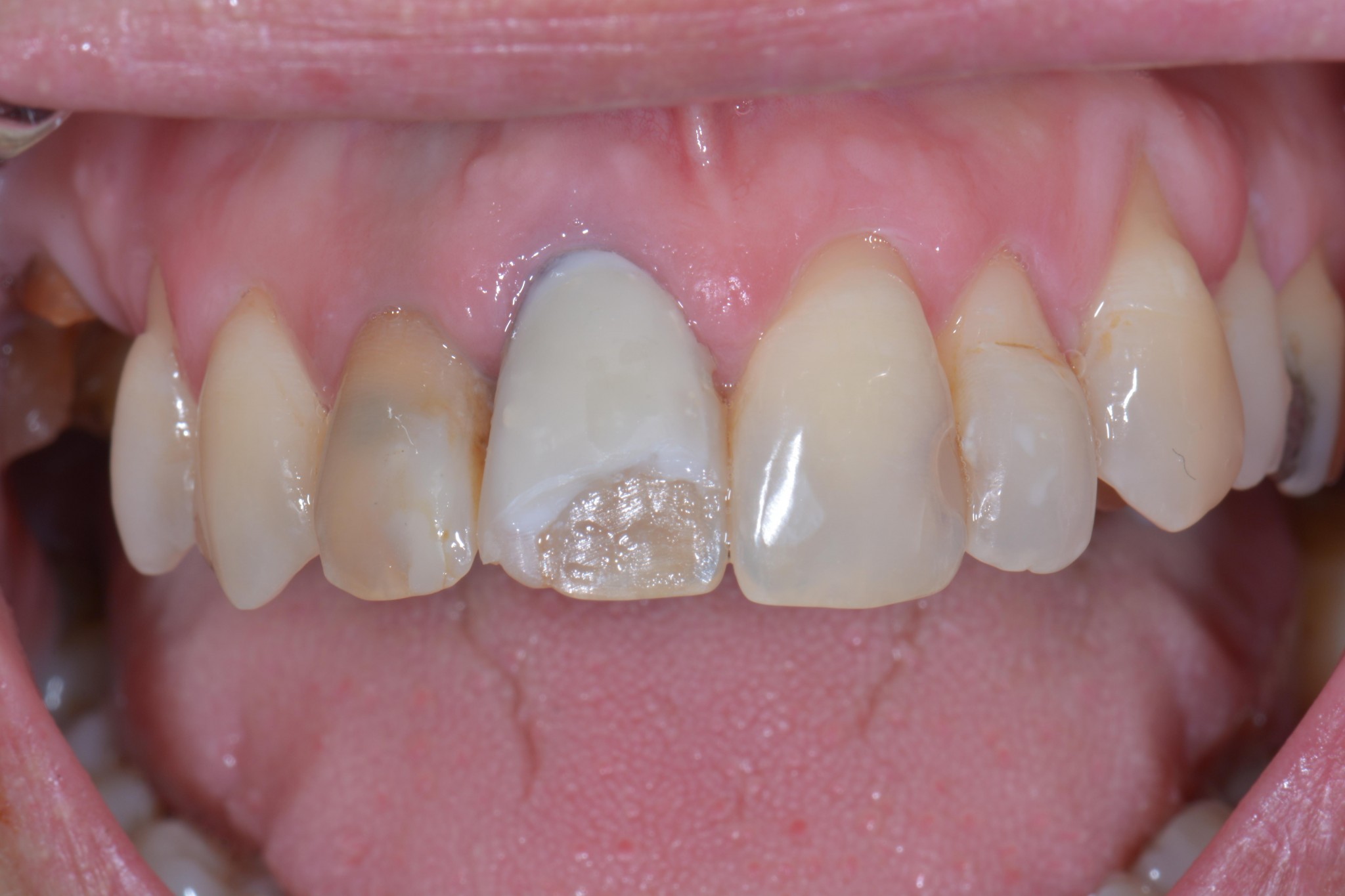
Alle 11 arriva una mia segretaria dicendomi che in reception c’è una signora disperata perché si è staccata una faccetta che ha fatto da pochi giorni, ma il suo dentista è in ferie! La signora è in lacrime perché ha un impegno importante alle 14 e non sa come fare!
“Strano”, penso io, “com’è possibile che ad agosto una persona possa avere problemi ai denti?
La maggior parte degli studi dentistici chiude i battenti puntuale puntuale il 31 luglio per riaprirli l’1 settembre perché è risaputo che i pazienti ad agosto non hanno più bisogno del dentista perché anche i denti e i loro problemi vanno in ferie!”
Incredulo di fronte a questo evento più unico che raro trovo il modo tra una visita e l’altra di far passare la signora per verificare come possa una faccetta in ceramica appena cementata essersi staccata.
“Prego signora, piacere, sono Salzano!”
“Dottore io la ringrazio infinitamente! Sono disperata, guardi qua!”
La signora non mi dà neanche il tempo di farla accomodare che schiaffa subito l’indice sull’incisivo incriminato…
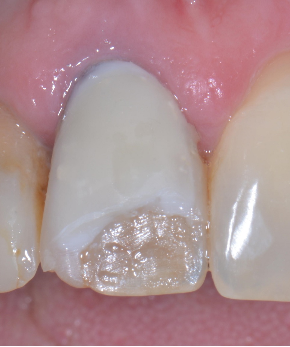
?????????????????????????????????????
E continua: “Non so se è in ceramica, credo di sì perché vede che è più bianca?”
“No signora, a me quella sembra una ricostruzione in composito, il materiale da otturazione bianco…Le è stata presa un’ impronta e poi è stata cementata in un secondo appuntamento?”
La signora aggrotta la fronte e mi dice: “Nooooo, nooooo me l’ha fatta in un’ora ma non ho capito cosa ha fatto…E’ che io sono terrorizzata dai dentisti anche se sono infermiera e mi hanno consigliato questo dentista che è molto blasonato e delicato. Lui mi parlava tutto il tempo per farmi stare tranquilla…E poi ha passato anche un laser sul dente…io so solo che l’ho pagato 250 euro e dopo tre giorni si è già staccata.”
Perfetto.
Un gran classico.
Cure non low cost, fatte da dottori blasonati per il passaparola di pazienti che purtroppo, essendo disinformati si fidano del passaparola del conoscente e valutano parametri come:
- non mi ha fatto male a fare l’anestesia
- non ho sentito niente
- il dottore era gentile e mi ha tranquillizato/a
- aveva il laser quindi è un luminare
Ovviamente parametri tecnici pochi. La gente spesso è abituata al fatto che dal dentista non si spieghi nulla, si vada quando si ha male o quando si è rotto qualcosa e il dentista, dopo aver individuato il problema traffichi un’oretta per risolverlo con tecniche segrete ed avanzatissime (per forza, c’è il laser…). Dopo questo si va alla cassa dove si scopre quanto si deve pagare…
“Sono 300 euro”
“Non si può avere uno sconticino?”
“Mah, se vuole possiamo fare 250 senza fattura”
“Va bene, grazie! Buone vacanze, eh? Il dottore mi ha detto che ad agosto siete chiusi tutto il mese!”
“Eh sì! Grazie signora, buone vacanze anche a lei!”
Poi il paziente chiede di andare ancora un attimo in bagno per vedere allo specchio cosa è stato fatto o esce dallo studio e si guarda nello specchietto retrovisore della macchina.
Perfetto. In poco più di un’ora si è consumato il triste spettacolo che offrono molti degli studi, spesso monoprofessionali, che si lagnano dell’avvento delle cliniche, del low cost, il fiorire di pubblicità prive di etica e decoro medico.
Naturalmente di fronte alla storiella la maggior parte dei dentisti si indignerà perché magari tutte insieme queste cose non le fa…mmmmm…chissà perché invece io su molte delle cose elencate credo di star sparando sulla croce rossa…lavori fatti senza visita, senza diga, senza spiegare, senza preventivo, chiusura estiva per tutto agosto, sconticino senza fattura…Credo proprio che la croce rossa l’ho sterminata…
Ma l’hai vista la foto di prima?! Forse non ti è chiaro…cerco di spiegarti meglio…
Devo soffermarmi su cosa non vada in questo lavoro? Ma solo io ho pazienti che non accetterebbero mai un lavoro simile? Per far pagare una merdata simile 250 euro in nero ci va un bel coraggio! Ma come dormi la notte? Ah, lo so, su un cuscino e un materasso imbottito di banconote belle soffici…
Questa tipologia di riabilitazione, almeno dalle mie parti, è molto diffusa e in piemontese ha anche un nome tecnico altisonante. Si chiama
TACÙN
Ora mi chiedevo se nel resto d’Italia esista un termine tecnico simile…Ho chiesto ai miei collaboratori campani, siculi e pugliesi ma non mi hanno saputo dire.
Allora ho cercato su internet e ho trovato sul vocabolario Treccani on line questa definizione.
taccóne s. m. [prob. der. di tacca, nel sign. di «macchia»]. – 1. Pezza, toppa che viene applicata a calzature o indumenti, per riparare zone rotte o logore; in senso fig., zeppa, e in genere cosa con cui si vuol rimediare a un difetto, a una lacuna. È voce attualmente viva nell’uso settentr., nota soprattutto per il prov. venez. pezo el tacón del buso (peggio la pezza del buco), per dire che un rimedio è peggiore del male fatto; anche, ma raro, nella forma italianizzata: non vorrei nel cercare scuse fare, come suol dirsi, peggio il taccone del buco (L. Da Ponte).
Mi perdoneranno i veneziani se mi sono approprio del proverbio per il titolo del post, e mi perdoneranno ancor più per il fatto che essendo piemontese lo piemontesizzerò e metterò il marchio registrato su questo tipo di terapia, perché forse sono il primo ad averla riconosciuta e descritta in letteratura.
L’È PES EL TACÙN™ CH’EL PERTÜS
Il tacùn™ nel 2016 in odontoiatria è una terapia che ha ancora il suo valore se eseguita in urgenza per risolvere un problema e se viene dichiarato e fatto pagare una cifra consona. 50 euro per la mezz’oretta investita, via…
Su pazienti già in cura io non lo faccio nemmeno pagare. E’ una soluzione apprezzata dal paziente se gli risolve in urgenza un problema. Ed indubbiamente ci va arte ed esperienza per confezionare un tacùn™ efficace, veloce, brillante e risolutivo…e non sto scherzando, dico davvero. Spesso servono trucchetti ed ingegno per fare un tacùn™ di qualità.
Terminata la terapia di urgenza se il paziente è nuovo si fissa una prima visita e si iniziano le terapie dopo aver impostato un piano di cura che prenda in considerazione il cavo orale nel suo insieme.
Se il paziente è già in cura, si imposta la terapia del singolo elemento interessato il giorno del tacùn™ e poi emette un preventivo scritto e si fissano gli appuntamenti se viene accettato.
Il preventivo deve sempre essere emesso prima di una terapia, per cui anche il giorno del tacùn™ se intendi farlo pagare fai firmare prima un preventivo.
Non è concepibile fare le sorprese al paziente alla cassa.
E non è concepibile nel 2016 lavorare ancora senza fattura. Io e Federico siamo strenui sostenitori di questo e sarà un leitmotiv che tuo malgrado ritornerà nel blog perché siamo proprio fissati.
Pensa che abbiamo già scritto un articolo rivolto ai pazienti nell’altro blog che scriviamo per i pazienti e non per i colleghi.
Il dente della signora aveva un perno dentatus a vista dal lato palatino, era discromico, è stato lasciato il vecchio composito sotto la nuova pregiata faccetta, ha il colore sbagliato e andava fissato un appuntamento di revisione per decenza prima di chiedere 250 euro. E poi il 21 ha una carie, il 12 è devitalizzato e deve contenere all’interno una di quelle schifezze di paste di medicazione nere. Il 15 e il 16 anche solo facendo aprire la bocca alla paziente si vede che hanno qualcosa che non va e la paziente mi ha detto “ah, sì, quello mi ha fatto malissimo e il dentista ha detto che la prossima volta vediamo un po’ se si riesce a recuperare, ho già un appuntamento ma a questo punto non vado più e vengo da voi…”
Ma che modo di lavorare è?!?! Ma ti rendi conto? Questo collega (e mi vergogno a considerarmi suo collega ma purtroppo sono certo che di colleghi della stessa leva questo dentista ne abbia molti? ), fissa appuntamenti standard a casaccio di un’oretta e vede un po’ cosa può fare dente per dente, volta per volta facendo scoprire la spesa all’uscita, senza garanzie, chiudendo diversi mesi all’anno e lavorando senza fattura.
Per mostrarti che questo non è un caso limite di uno studio singolo ti mostro la panoramica di una visita delle 16 dello stesso giorno.
Questa signora, affetta da sarcoidosi per cui da anni assume glucocorticoidi (Deflan) e da epatite C per cui sta eseguendo una terapia con sofosbuvir e ribavirina si ripresenta in lacrime per la sua condizione. Il dentista continua a fargli lavori nel settore frontale che non tengono. Il 21 si è distrutto per metà e lei non esce più da giorni per questo (i pazienti a volte sono strani, lo sappiamo…in questa bocca il 21 mezzo rotto era l’ultimo dei problemi…). La signora mi dice che il dentista ha provato a trattare il 13 ma le ha detto che “non riusciva a trovare il canale perché c’è dell’osso, non ho capito bene…” E ha appuntamento per vedere che si può fare sul 13 tra una settimana, perché è andata da una catena odontoiatrica che ad agosto sarà aperta (almeno questo! ?). E nel frattempo mi chiede se il 22 va bene perché gliel’ha fatto l’ultima volta!
Evito i commenti sul tentativo di recuperare i denti volta per volta in questo caso.
Se anche la paziente non avesse i soldi per togliere tutto e affrontare una riabilitazione fissa su impianti non si può di sicuro invocare l’etica e la compassione nel tamponare una situazione del genere! Piuttosto di spillare qualche centinaio di euro ogni volta su terapie che poi non si possono garantire al paziente togli tutto e fai una dentiera! Stop! Non ci sono altri piani di cura qui!
La bonifica completa nell’arcata superiore in questo caso dovrebbe essere il primo passo comune di un piano di cura per tutti i dentisti, a meno che non si vogliano salvare per qualche astrusa teoria di “voler conservare” il 17, l’11 e gli impianti in perimplantite per tentare di ancorare una protesi parziale, ma non ha alcun senso, a parer mio.
Detto questo, ti faccio una confessione…ehm…con questa signora il tacùn™ l’ho fatto io!
Lo so cosa stai pensando…
Ma ti fermo subito! Te l’ho detto, il tacùn™ è una terapia fondamentale ed importante e saperla esprimere al meglio è di sicuro un valore aggiunto per i nostri pazienti. In questo caso a fine visita, mentre la signora mi faceva capire che sperava che oltre la visita le risolvessimo il problema perché così non poteva più uscire, ho congedato la segretaria che ha seguito la visita, in modo che nel mentre preparasse i preventivi per le opzioni di riabilitazione della signora. Nel frattempo in 5 minuti, senza diga, ho pulito sommariamente il 21 e ho fatto una otturazione velocissima e non garantibile nemmeno un giorno (anche se secondo me durerà molto di più, perché non me la cavo affatto male coi tacùn™… ?
Visto che la visita da me è gratuita e che nonostante il tacùn™ imprevisto sono riuscito a sforare i 30 minuti dedicati all’appuntamento solo di 5 minuti, alla signora non ho fatto pagare nulla! L’ho avvertita che non le potevo garantire che quel rattoppo durasse, ma la signora è stata contentissima.
Parlando con la segretaria la signora, con problemi economici, ha accettato il compromesso di fare un all on 4™ fermandosi al provvisorio (che non garantiamo oltre i 4 mesi) nell’arcata superiore e in quella inferiore momentaneamente farà le otturazioni da 43 a 34 estraendo 44, 35 e i residui radicolari su 36 e 37.
Il preventivo completo prevedeva una toronto in titanio-composito e impianti con rigenerativa ossea su 44 e 46 con un ponte avvitato in zirconio-ceramica da 46 a 44 e impianti e corone avvitate in zirconio-ceramica con innesto a blocco su 35 e 36.
Questo è un modo pulito, chiaro, onesto, moderno e risolutivo di gestire un piano di cura, il paziente, la nostra immagine e fare al contempo un marketing etico, fruttuoso e entusiasmante. Il resto è prendere per il culo il paziente.
Mi sono dilungato e sono stato come al mio solito ripetitivo.
Imparerai seguendo il blog che Federico è più sintetico e diretto.
Mi voglio augurare che tu non abbia collezionato tutti gli errori che ho elencato, ma deve esserti ben chiaro che se anche solo un paio di tutte le cose che ho detto le fai anche tu devi rimboccarti le maniche e capire che così il tuo studio è destinato a uscire dal mercato, che ti piaccia o no. Se non vuoi rischiare di dover chiudere i battenti e ti sei reso conto leggendo questo articolo che forse qualcosa nella tua gestione dello studio non va, seguici. Cercheremo di riportarti sulla via di un’odontoiatria di successo e moderna. Sarà un lavoro lungo ma, credimi, vivrai meglio tu, il tuo studio e i tuoi pazienti ti ringrazieranno. E dormirai sonni sereni non perché hai soffici banconote cash nel materasso e nel cuscino ma perché ti sentirai soddisfatto delle tue terapie e avrai pazienti altrettanto contenti del tuo operato…e non preoccuparti, i soldini ci saranno lo stesso, solo che saranno sul conto corrente della tua srl odontoiatrica e soprattutto potrai spenderli dove, come e quando vuoi senza che il commercialista ti debba dire se devi fermarti con le spese! Seguici e presto darai una svolta alla tua vita professionale.



