PERCHE’NON E’ VERO CHE UN LEMBO A RIPOSIZIONAMENTO CORONALE ACCORCIA IL FORNICE. O MEGLIO PERCHE’ IMPLANTOLOGI E PARODONTOLOGI NON SI CAPISCONO.

Continuiamo con le basi di gestione dei tessuti molli.

 

Di recente abbiamo discusso del taglio di scarico in mandibola posteriore, penso che sia giusto ora parlare di ciò che salta fuori quando fai un taglio di scarico verticale nel fornice mascellare.

Anche se sembra una cagata e possono sembrare cose “già sentite” come ha detto qualcuno del mio post precedente, penso che ci siano due o tre cosette da chiarire per avere un’appropriata consapevolezza di ciò che facciamo.

Hai mai sentito qualche super accademico che ti dice che un lembo a riposizionamento coronale per coprire recessioni gengivali causa un accorciamento del fornice?

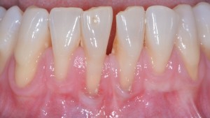
Io sì, molte volte. Però i fornici dei miei pazienti non si accorciano… almeno quando faccio chirurgia mucogengivale (argomento che entra a pieno titolo nella gestione dei tessuti molli) mentre si accorciano di brutto quando faccio chirurgia ricostruttiva ossea. Eppure prendo sempre un lembo e lo tiro giù. Guarda ad esempio questo quinto sestante…

quinto vest  DSC_4171

 

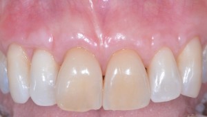
… nessun accorciamento di fornice! E questo secondo sestante…

secondo vest  DSC_7221

… di nuovo, INCREDIBILMENTE, nessun accorciamento di fornice!

C’è infatti una profonda differenza tra i due approcci di spostamento coronale del lembo quando copri una recessione e quando copri un innesto osseo di vario tipo. La comprensione dell’anatomia della zona è fondamentale per essere contemporaneamente un bravo implantologo e un bravo parodontologo. Quando sarai implantologo lavorerai in un certo modo, quando sarai parodontologo in un altro. E pensa che nello stesso intervento potrai lavorare in modo diverso a seconda delle zone e degli obiettivi e solo a questo punto, quando sarai un SuperParodontoImplantologo potrai affermare di saper gestire correttamente i tessuti molli.

Veniamo alla semplice anatomia della zona.

Come vedi dalla foto, quando affondi in bisturi a tutto spessore nel fornice incontri nell’ordine:

  • Mucosa
  • Sottomucosa
  • Tessuto muscolare
  • Periostio

E ti fermi sul piano osseo.

fornice sup

I muscoli che trovi li in mezzo sono di varia natura, nella zona anteriore ci sono alcuni muscoli mimici come l’incisivo del labbro superiore, più indietro c’è il muscolo buccinatore. Del quale, se ti ricordi, abbiamo già parlato.

inserzioni muscolari

Uno dei concetti che devi avere bene in mente e che ti farò vedere nel video che troverai alla fine, è questo:

 Il tessuto muscolare che vedi nella foto sopra si inserisce TENACEMENTE sia alla sottomucosa sia al periosotio.

Ricordatelo… ci servirà dopo.

Sicuramente avrai fatto qualche intervento di rigenerazione ossea nell’arcata superiore o ne avrai visto qualcuno. Aumentando il volume dell’osso sottostante hai bisogno di stoffa per chiudere e visto che il palato non lo puoi spostare (se non con tecniche che pur essendo descritte ritengo poco utilizzabili nella pratica quotidiana) la tecnica che tutti utilizziamo è quella di interrompere il periostio vestibolare e “allungare” il lembo facendo più o meno consapevolmente due cose:

  • Dissechiamo le fibre del tessuto muscolare che in questo modo si allunga.
  • “Stiracchiamo” mucosa e sottomucosa che sono squisitamente elastiche.

Tirando giù la mucosa lei ovviamente si tira dietro le fibre muscolari che ci sono TENACEMENTE ATTACCATE (si capirà bene dal video) e ecco che il fornice si accorcia. Perché quelle fibre si inseriranno più in basso e avrai quel tipico aspetto di roba cicciosa, mobile e molliccia che arriva fino alla zona palatale della cresta.

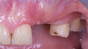
Guarda ad esempio questo caso a quattro mesi da un intervento di GBR

01   02

Ecco che arriviamo al fraintendimento: se tu utilizzi lo stesso approccio per la chirurgia mucogengivale allora AVRAI UN ANTIESTETICO ED IMPRODUTTIVO ACCORCIAMENTO DEL FORNICE con fibre muscolari infami che si reinseriranno più coronalmente e tireranno sul tuo lembo appena spostato. E questo non viene ancorato a quello palatale da una doppia linea di sutura super performante, come quando fai rigenerativa ossea, ma sarà mantenuto da microsuture date su piccole papille e verrà appoggiato per lo più su superfici radicolari avascolari. Non è strano, se ci pensi, che chi usa questo approccio non ami la chirurgia mucogengivale: i risultati saranno una cagata e gli esiti di ricopertura tutt’altro che appaganti.

Quando esegui un intervento di chirurgia mucogengivale DEVI DISINSERIRE da tuo lembo le fibre muscolari sia dal periostio sia dalla sottomucosa. In questo modo il muscolo si ritirerà nella profondità del fornice e tu tirerai giù solo mucosa e sottomucosa.

Zero accorciamento di fornicezero trazione muscolare sul lembozero ciccetta molliccia che si sposta coronale.

Per farti vedere come si fa e per contestualizzare questi concetti nella chirurgia di tutti i giorni ed in quella avanzata ho costruito un corso online sulla gestione dei tessuti molli. Fatto SOLO di video chirurgici.

8 ore di chirurgia commentata

14 lezioni

20 interventi (Cavolo 20 interventi in 8 ore?! Chi sa lavorare opera in fretta… l’abbiamo già detto questo)

Tutto ciò che ti serve sapere sulla gestione chirurgica dei tessuti molli. Non solo allungare un lembo per coprire un innesto! Quello lo tratto ampiamente in una singola lezione. Il resto è roba che non ti racconta nessuno.

Se sei interessato alla argomento clicca qui per visionare il programma del corso e acquistarlo!

Ora ti lascio al video gratuito.

A presto

 

 

4 pensieri su “PERCHE’NON E’ VERO CHE UN LEMBO A RIPOSIZIONAMENTO CORONALE ACCORCIA IL FORNICE. O MEGLIO PERCHE’ IMPLANTOLOGI E PARODONTOLOGI NON SI CAPISCONO.

  1. Alessandro

    Ma è possibile passivare un lembo in GBR utilizzando la tecnica di passivazione della chirurgia mucogengivale?

    Avendo un grande lembo vestibolare a spessore totale, l’unica maniera per passivarlo è tagliare il periostio, avendo in maniera inevitabile l’accorciamento del fornice?

    1. Federico Tirone

      E’ vero Alessandro, infatti le tecniche in chirurgia mocogengivale e chirurgia rigenerativa devono essere diverse. In GBR provvederai a ripristinare la profondità di fornice in un tempo chirurgico successivo.

Lascia una risposta

L'indirizzo email non verrà pubblicato. I campi obbligatori sono contrassegnati *