C’è un problema nuovo in odontoiatria che ti sbatterà in poco tempo fuori dal gioco se non prendi la decisione di imparare due cosette.
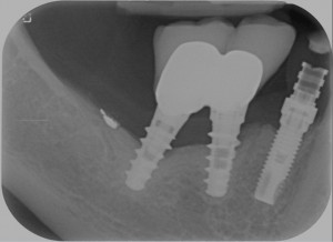
Questo problema si chiama perimplantite. Una vota si mettevano pochi impianti, il tutto veniva fatto in modo molto attento, su pazienti selezionati. Oggi invece gli impianti non si negano a nessuno, li mettono tutti, comprando quelli che costano meno e si fa a gara a chi li fa con il setting meno sterile possibile per dimostrare che si è fighi e funziona lo stesso. Poi sopra ci si mettono le cose più improbabili… guarda qui cosa mi capita di svitare da impianti messi da colleghi pochi mesi fa
Ed ovviamente non si fa alcuna preparazione parodontale perché il paziente ha pochi soldi ed “è già tanto se riesce a pagarmi la vite!”.
Tutto questo porta a percentuali di perimplantite che a 5 anni superano abbondantemente il 10%.
La perimplantite poi spesso non è sintomatica quindi il paziente non si accorge di nulla e visto che (per quanto sia sicuro che per te e me non è così) la maggior parte dei colleghi non impone ai pazienti controlli periodici e non fa lastre e sondaggi regolari sugli impianti….
Bam! La perimplantite va avanti e distrugge l’osso basale in un modo che in passato non eravamo abituati a vedere, causando difetti ossei verticali che impediscono poi di rimettere dei nuovi impianti in maniera semplice.
Quindi abbiamo un gran numero di pazienti:
- Abituati agli impianti
- Che mai si sognerebbero di approfondire il concetto di protesi parziale rimovibile
- Che magari non hanno pilastri posteriori per ponti fissi
- Spesso pure parecchio incazzati con il dentista di prima che non gli ha detto nulla della perimplantite che stava peggiorando
- Più spesso ancora alquanto diffidenti
- E che non hanno né abbastanza osso né abbastanza tessuto cheratinizzato per mettere nuovi impianti
Ma c’è di più! Infatti tu dirai “anche anni fa capitava di trovare pazienti con gravi atrofie e non mi sembra che molti dentisti siano usciti dal mercato” .
Giusto, in effetti una volta si verificavano due fattori:
- Le atrofie molto gravi erano poche percentualmente e non era un grosso problema per i dentisti onesti demandarle a persone più esperte. Oggi cominciano ad interessare una parte rilevante del nostro parco pazienti.
- La gente non era informata ed era molto semplice per i dentisti disonesti raccontare al paziente che nel “suo caso PURTROPPO gli impianti NON SI POSSONO PROPRIO FARE perché la gengiva non è abbastanza forte”
Oggi, PER FORTUNA (!!!!!!!!!!!!), e questo è il secondo “problema”, l’esplosione dell’informazione e della pubblicità sanitaria soprattutto grazie al web, ha reso la popolazione molto più consapevole di quelle che sono le reali possibilità in ambito chirurgico.
E se a te passasse mai per la testa di usare la vecchia tecnica del “QUI NON SI PUO’ PROPRIO” con buona probabilità vedresti partire il paziente per altri lidi dove troverebbe un chirurgo capace di rigenerare l’osso in verticale e di mettergli gli impianti con successo.
Risultato:
- Perdi il paziente
- Perdi la famiglia del paziente
- Perdi tutto il tuo caro passaparola da parte di quel paziente e della sua famiglia che si sposta all’istante sul nuovo eroe della moderna implantologia che gli ha risolto il problema.
Mamma mia che scenario tragico! Ma allora qual è la soluzione??
Beh la soluzione è questa: devi imparare a rigenerare l’osso in verticale per poter trattare nel tuo studio tutti questi nuovi casi sfidanti che derivano dai danni causati dalle perimplantiti. Fidati, saranno sempre di più!
E non credere a chi ti dice che serve la manina fatata. Sono stronzate!
Servono solo i concetti giusti e la giusta preparazione. Stiamo parlando di inchiodare una membrana e allungare due lembi per chiuderceli sopra! Non di scolpire la Pietà vaticana da un blocco di marmo!
Oltre ai concetti e alla preparazione serve però un’altra cosa, che è fondamentale per iniziare:
LA FIDUCIA.
Se infatti non credi a quello che si può formare sotto una barriera non riassorbibile… beh, sarà ben difficile che tu ti metta ad investire bel tempo e bei soldini per imparare queste tecniche che “casualmente sono in mano a pochi!”.
Ecco allora il significato di questo post, farti vedere, con un pezzo di video preso da una live del mio ultimo corso di chirurgia implantare avanzata, cosa succede sotto una membrana in ptfe dopo nove mesi.
Questa è la situazione in cui mi si è presentato il caso:
Dopo la rimozione restavano solo 5 mm prima del nervo. Meno i due di sicurezza fanno 3 e, che io sappia, non ci sono impianti da 3 e anche ci fossero non li userei per trattare un pregresso fallimento!
Ora ti lascio al video, mi raccomando alza il volume, devi sentire l’audio!
A presto!




Sempre abilità al top, complimenti!
Grazie!!
sperando anche in una risposta .. recenti studi ed osservazioni cliniche ,sostengono che anche dopo una buona ,ottima rigenerazione dopo circa 2 anni si ha di nuovo un riassorbimento dell’osso rigenerato prescindendo dall’operatore.
Sembra che gli impianti corti possano sopperire a questo problema.
Chissà se qualcuno risponderà..
l’osso neoformato va incontro a riassorbimento nel breve periodo
Ciao Luigi, sapresti citarmi questi recenti studi. Le tue informazioni infatti non coincidono con quella che è l’attuale evidenza scientifica. Sicuramente gli impianti corti funzionano e sono un’opzione, ma in moltissimi casi non si possono usare. Attendo grazie.
dovrei citare un clinico che ha detto quello che a mia volta ho scritto .
( non per scappare da quello che ho detto)
Ma non voglio certo creare un polverone o duelli scientifici .
L’intento della mia osservazione è che ognuno ha le proprie fonti
e metodi , anche le statistiche delle pubblicazioni non sempre sono attendibili .
I metodi , materiali e risultati sono spesso opinabili . Specie nel tempo .
Per esempio c’è chi ritiene il prelievo al ramo mandibolare una cosa inutile..
Forse tu con la tua struttura hai altre evidenze e certezze .
Da non ricercatore o non illustre clinico sento e annoto .
Quanto all’affermazione “se qualcuno risponderà” è anche riferita ad un commento
sul blog su un altro argomento , al quale non è seguito niente .
Quindi volevo vedere se stavolta qualcuno rispondesse .
Non credo che la mia osservazione intacchi le tue certezze . Saluti
Grande Federico… Ci vediamo a Novembre!!!
Ciao Dario. Ti aspetto!
Luigi mi scuso per la mancata risposta. La verifica dei commenti del blog non era ben protocollata. Andrò a cercare il commento per rispondere.
Per il resto sono fermamente convinto che il clinico debba fare riferimento all’evidenza scientifica disponibile considerandone anche la potenza e l’affidabilità (alcuni ambiti sono molto più certi di alti per la migliore qualità degli studi e per la maggiore quantità di dati).
Non credo ci si possa affidare all’opinione di clinici che “la raccontano” basandosi sulla propria esperienza. Un mio consiglio è quello di leggere sempre gli articoli originali perchè spesso chi li cita non ci ha capito un cazzo oppure li rigira a vantaggio delle proprie idee che spesso hanno un interesse commerciale.
A presto