IN ARRIVO I PROVVEDIMENTI ILLUMINATI CHE RISCHIANO DI FAR CHIUDERE MIGLIAIA DI STUDI!
In questi giorni tra le news in cui mi sono imbattuto sui social sono state buttate lì due tegole allucinanti che forse sono passate inosservate.💣 Due notizie di provvedimenti in dirittura di approvazione che reputo assolutamente drammatiche e che sono state accolte da media evidentemente…
[VIDEO] LA STORIA DI CAPPUCCETTO ROSSO, LE SEGHE MENTALI E LA PIANIFICAZIONE DIGITALE DEGLI IMPIANTI
Visto che la Disney ormai rivede tutte le favole in chiave inclusiva, penso di poterlo fare anch’io, includendo una categoria sociale con gravi problemi di integrazione: il dentista full digital. Il dentista full digital ha una fede incrollabile: la pianificazione chirurgica digitale! …
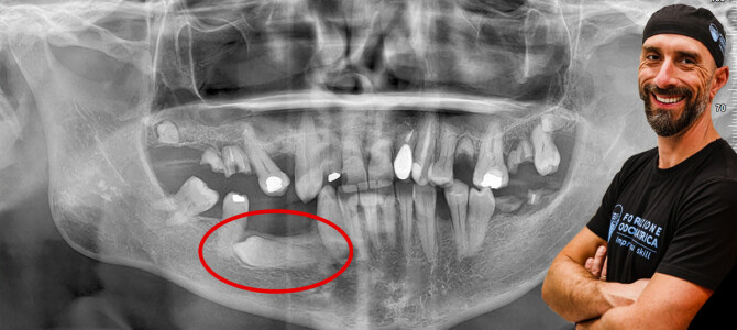
[VIDEO] Estrazione di un premolare distoverso incluso in mandibola
Non so come presentare questo caso, se come semplice o difficile. Con tutta la modestia del mondo a me sembra un'estrazione assolutamente banale ma il fatto che sia finita sulla mia agenda e non sia stata fatta dai collaboratori che si occupano di estrazioni di…