Prima verità: iscriviti ad un’associazione di categoria.
Seconda verità: vai a lamentarti all’ordine dei medici della tua città.
Ciao e alla prossima.
……..
Aspetta!!! Aspetta!!! Sto scherzando!!!
Mi capita spesso di parlare con colleghi durante corsi o congressi e non ho potuto non notare un tratto che ne accomuna una buona parte:
LA FERMA CONVINZIONE CHE IL CALO DEI PAZIENTI NEL PROPRIO STUDIO SIA DOVUTO AL PROLIFERARE DEGLI STUDI (LE CLINICHE!!) LOW COST.
La tiritera poi è sempre simile:
“questi studi abbassano il livello della professione…”
“ …giocano in modo scorretto…”
“…fottono i pazienti…(sia nel senso che ME LI FOTTONO sia nel senso che PROPRIO LI FOTTONO)…”
“..e bla e bla e bla…”
e soprattutto: “è colpa loro se i miei pazienti sono diminuiti. Corriamo da mamma ANDI e facciamo la lotta di classe”
Lo stesso forte convincimento lo troviamo su Facebook dove gruppi di dentisti dai vari interessi si trovano concordi nella comune accusa contro LE CLINICHE LOW COST che sviliscono la SANTISSIMA PROFESSIONE ODONTOIATRICA.
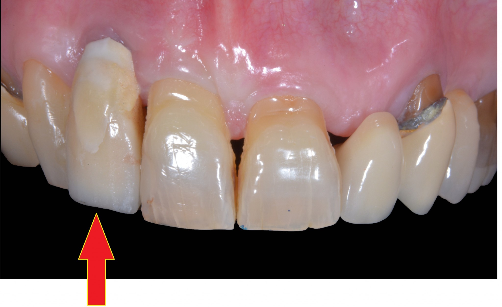
Ti faccio vedere una cosa:
Questa signora ha appena finito questo lavoro da un dentista della mia zona che indovina un po’………rullo di tamburi …..tumturutumtuntum…….
NON E’ UN DENTISTA LOW COST!
So che la cosa ti sconvolgerà ma ti svelo la prima verità che ti ho promesso:
non è il low cost a svilire la professione ma
LA MANCANZA DI AGGIORNAMENTO.
Altro paziente, 24 anni.
Guarda un po’: la vedi l’imprecisione del manufatto?
Questa corona è stata fatta circa un anno fa da uno dei dentisti più blasonati della mia città. Studio nella via più chic. Assolutamente l’opposto di un low cost.
Il paziente si è rivolto a noi perché ha notato che la corona aveva dei problemi e il dentista l’ha ritoccata (cito) “circa cinquanta volte” prima di cementarla. Ti mostro anche la foto:
Dopo qualche mese l’ha bucata per ritrattare il dente e l’ha otturata.
Ti sembra che fosse il caso di lasciare in bocca questa cosa?
Che ad un anno dal confezionamento (e dal pagamento del paziente) si presenta così?
In un paziente di 24 anni?
O magari sarebbe stato meglio rifarla?
Ora analizziamo cosa hanno in comune i due pazienti che ti ho mostrato. Si tratta di un aspetto molto interessante nell’economia del mio discorso.
HANNO ENTRAMBI ABBANDONATO PER SEMPRE IL DENTISTA PRECEDENTE E SI SONO RIVOLTI ALLA NOSTRA STRUTTURA,
che indovina un po’?…..NON E’ UNO STUDIO LOW COST. Anzi si posiziona come una delle strutture odontoiatriche private con i prezzi più alti nella nostra provincia.
Cavolo, una cosa mai sentita prima! Uno studio non low cost che fa un lavoro di merda (INCREDIBILE!!!) e un paziente che abbandona il suo dentista “di fiducia” ![]()
![]()
![]()
per recarsi in una nuova struttura che (COSE FUORI DAL MONDO!!!) non è low cost.
Ora ascoltami bene, ti svelo il secondo segreto, siediti.
Gli studi low cost non c’entrano un cazzo col fatto che i “vecchi” studi si svuotano. Come non c’entra un cazzo la crisi economica.
Ti racconto una storia, si intitola:
“DA ZERO ALL’IMPERO”
Il nostro studio è stato aperto dal nulla in un appartamento di un piccolo paese di campagna nel 2006. Dal nulla vuol dire:
– nessun parente dentista
– nessuno studio precedente rilevato.
APRIRE L’ANNO DOPO LA LAUREA ED ASPETTARE CHE ENTRI QUALCUNO.
Ovviamente l’apertura è stata in versione base, due poltrone e zero dipendenti.
Tra parentesi….questi eravamo noi due all’ultimo anno di università ![]()
E questi siamo sempre noi nel primo studietto che gestivamo da subito senza assistenti e poi, dopo qualche mese, con una assistente…
Forse ricorderai il 2007. Io me lo ricordo molto bene perché mi sono sposato. Prima di partire per il viaggio di nozze ho comprato un po’ di azioni sicure che crescevano costantemente da anni, almeno dal 2002 senza mai perdere i trend di crescita. Le ho acquistate il 4 maggio, valore 7,60 euro per azione (massimo storico!), poi mi sono sposato e sono partito per tre settimane in Australia. Quando sono tornato valevano già un euro in meno, diciamo un 13% di perdita in meno di un mese…da li è iniziato quello che tutti conosciamo:
LA GRANDE RECESSIONE!! (Alias LA CRISI ECONOMICA)
Ok, a parte la mia perdita in borsa, fortunatamente piccola dato il piccolo patrimonio investito vorrei mostrarti come è andato il nostro studio durante questo periodo. Guarda l’andamento dei fatturati.
La linea blu è il nostro fatturato, quella rossa il fatturato medio degli studi associati odontoiatrici in Italia rilevato nel 2009 (224800 euro).
Fai un paragone e ricorda la sconvolgente verità:
NON siamo uno studio low cost, NON siamo una catena in franchising.
Eppure siamo leader di settore nella nostra provincia. Semplicemente all’inizio eravamo uno studio VECCHIO ed ora siamo uno studio nuovo, ci siamo ringiovaniti col passare del tempo, o meglio:
CI SIAMO MODERNIZZATI!
Ora abbiamo 36 anni, lavoriamo su 12 riuniti, ci avvaliamo della preziosissima competenza di altri 5 odontoiatri (rigorosamente impiegati nello studio a tempo pieno), 5 igienisti ( anche loro rigorosamente impiegati nello studio a tempo pieno) e 28 dipendenti.
Forse dobbiamo tornare alla domanda iniziale e capire che è la domanda a essere sbagliata. Per avere un’attività florida, che ci consente di ottenere una solidità economica, vivere sereni, poter esprimere la nostra professionalità con eccellenza affrontando tutti gli investimenti in tecnologie che questo richiede non dobbiamo battere i low cost, dobbiamo semplicemente capire che:
IL MONDO CAMBIA, LA GENTE CAMBIA E IL MERCATO CAMBIA.
O noi anticipiamo questi cambiamenti e ci adattiamo ad essi immediatamente o siamo destinati ad essere spazzati via sempre con maggiore violenza .
Formazione Odontoiatrica nasce per darti una mano ad affrontare i profondi mutamenti del nostro tempo fornendo suggerimenti pratici sia tecnici sia manageriali che ti aiuteranno ad emergere nello sfidante mercato (lo so che questa parola non ti piace ma devi mandarla giù!) di oggi!







bravi
Prova
prova