Forse ti interessa sapere, come qualche tempo fa, un mio corsista ha perso 15 mila euro di potenziale fatturato…
o forse tu sei un medico super disinteressato al denaro e non te ne frega nulla ma in quel caso forse ti interesserà sapere come una sua paziente ha perso l’opportunità di avere i denti fissi che tanto avrebbe desiderato.
Se poi sei un professionista serio ti interessano sicuramente entrambe le cose.
La storia ha a che fare con il rumore di cui abbiamo parlato nell’articolo precedente
Ricordi? Il rumore sono quelle informazioni inutili che non portano alcun segnale utile ma anzi tendono a nascondere quelli che sarebbero i segnali importanti e che possono quindi distrarci, confonderci, stressarci e comunque crearci gravi danni.
Vediamo come avviene questo nel trattamento implantare dei nostri pazienti.
Durante l’ultimo corso di chirurgia Rocco (nome inventato) mi ha fatto vedere una cone-beam di un’arcata superiore; non ho la radiografia della sua paziente da usare come dato reale ma ti metto un mio caso concettualmente simile anche se un po’ più complesso.
Questa è la tomografia di una mia paziente.
La mia paziente esattamente come quella di Rocco voleva i denti fissi…
La mia paziente, esattamente come quella di Rocco aveva i soldi per pagare una riabilitazione fissa…
La mia paziente, esattamente come quella di Rocco era fortemente insoddisfatta della sua dentiera…
Rocco esattamente come me utilizza moltissimo la tecnica all-on-4 dando un grande vantaggio al paziente in termini di tempi e semplicità esecutiva…
La mia paziente esattamente come quella di Rocco poteva ricevere una riabilitazione a carico immediato su quattro impianti MA…
Rocco DIFFERENTEMENTE da me, che sono antiquato, utilizza un programma di progettazione per chirurgia guidata. Fa spesso chirurgia a mano libera con lembo, come è giusto che sia, ma progetta sempre nei minimi dettagli l’intervento con il programma di simulazione virtuale.
Ora riprendiamo i tagli della cone-beam della mia paziente in corrispondenza delle zone dove dovrò posizionare i quattro impianti.
Impianto distale di destra:la cresta è larga molto meno di 4mm per tutta la sua estensione in altezza. E di lì l’impianto ci deve passare!
il programma di progettazione, che tra l’altro fornisce una bella area di sicurezza intorno al volume della fixture, dice “NON SI PUO”!
Impianto mesiale di destra:
se vogliamo ricercare uno spessore di cresta che superi i 4 mm dobbiamo andare a 5mm dal pavimento del naso. Io non farei un carico immediato full-arch su un impianto da 5mm!
Anche qui il programma di simulazione dice “NON SI PUO’”!
Sulla sinistra e pure peggio!
A questo punto Rocco si è fermato, ha detto alla paziente che se proprio voleva i denti fissi bisognava ricostruire il mascellare… e lo ha detto in con quel tono che fa in modo che la paziente dica “ommamma per carità! Mi tengo la dentiera!”.
E Rocco ha prontamente confezionato una nuova bella dentiera (quella vecchia era ormai incongrua)
- con l’effetto primario di non riabilitare la paziente come questa avrebbe potuto e voluto
- con l’effetto secondario di perdere circa 15 k di fatturato eseguibuli in pochissime ore alla poltrona!
Cosa ho fatto io, invece con la mia paziente!?
Ti faccio vedere.
Eppure l’osso non c’era!!!! O almeno così aveva detto l’interpretazione rigida della simulazione al computer.
Come mai Rocco, pur avendo una capacità tecnica assolutamente paragonabile alla mia, non ha fatto lo stesso? Il suo caso era assoutamente analogo… anzi direi, più semplice di questo. Non mi faintendere, erano entrambi molto complessi… ?
Il problema è stato voler capire tutto prima nei minimi dettagli.
La progettazione preliminare troppo accurata è sempre una cosa pericolosa perché ci riempie la testa di rumore che ci confonde e non ci fa vedere le cose come potrebbero essere. Il modo migliore per affrontare i problemi è sempre quello di limitare la valutazione preliminare allo strettissimo necessario e rimandare (PROCRASTINARE DI PROPOSITO) le valutazioni più approfondite. Queste si chiariranno molto bene in corso d’opera seguendo il metodo per tentativi. L’unico in grado di portare a ottimi ed entusiasmanti risultati.
Ho proposto a Rocco di operare la sua paziente gratis durante un corso. Spero che riesca a portarla!!.
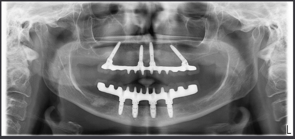
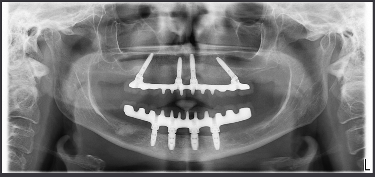
Questo è il controllo a un anno della mia paziente, un giorno ti mostrerò l’inferiore!
Ah dimenticavo, clicca sul link e scopri il corso che ti aprirà la strada alla semplificazione nella riabilitazione full arch su impianti. Ricorda LESS IS MORE! Non aggiungere complessità, ELIMINALA!



