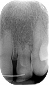
Giusto ieri mattina, tanto per cominciare bene il mio sabato di lavoro, avevo in agenda la terapia di questo dente.
Sai di cosa si tratta?
Se hai letto il mio precedente articolo sui riassorbimenti esterni avrai letto di come io sia convinto che molti dentisti non sanno nemmeno che cosa siano o che aspetto abbiano. E questo è il principale motivo per cui io negli ultimi 5 anni ne avrò diagnosticati e trattati una ventina, mentre molti colleghi mi dicono: “ma capitano tutte a te le cose strane?”
L’anomalia del dentone nella radiografia qui sopra forse è un po’ più facile da riconoscere, ma non sono comunque sicuro che tutti i dentisti sappiano di cosa si tratti e, soprattutto, abbiano idea di che trattamento eseguire.
Partiamo dal principio.
Il fenomeno rappresentato è chiaramente un Dens Invaginatus, meglio conosciuto come Dens in Dente. In realtà esiste una terza definizione, che è quella della mia assistente Roberta che è portatrice sana di un Dancing Dente ???, che è quello che ha capito lei quando ho emesso la diagnosi guardando la rx del suo incisivo laterale di sinistra! Diagnosi che il suo vecchio dentista non aveva saputo fare…
Vista la forma a piede di porco o a zampone, questo incisivo laterale è forse il dente con più soprannomi al mondo! ?
Roberta aveva avuto un trauma da piccola per cui l’incisivo da latte, a sentire lei, era risalito nella genigiva e poi era risceso dopo qualche tempo. Il dentista aveva solo saputo splintarlo e dirle che quel dente era strano e non sapeva quanto sarebbe durato.
Con tutta probabilità l’affondamento del dente da latte sulla gemma in formazione del 2.2 ha generato una deformazione dell’organo dello smalto che si è appunto invaginato all’interno della papilla dentale, formando un dens in dente, come dimostra la linea radiopaca che si intravede all’interno del dente, che non è nient’altro che smalto. Uno smalto un po’ meno mineralizzato di quello esterno, se guardiamo alla letteratura, ma pur sempre smalto.
Esiste una classificazione dei dens in dente ed è di Oehlers (1957):
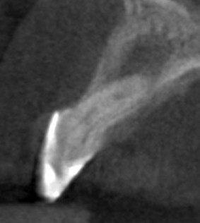
Tipo I: l’invaginazione rimane nell’ambito della corona (fig A)
Tipo II: l’invaginazione si estende oltre la giunzione amelocementizia ma rimane all’interno della radice del dente e non comunica con i tessuti parodontali (fig B)
Tipo IIIa: l’invaginazione si estende oltre la giunzione amelo-cementizia e attraversa la radice fino a creare una comunicazione coilegamento parodontale creando uno pseudo forame. Non c’è comunicazione tra questo canale e la polpa. (fig C)
Tipo IIIb: l’invaginazione si estende oltre la giunzione amelo-cementizia e attraversa la radice fino a creare una comunicazione con il legamento parodontale a livello del forame apicale. Anche qui in genere non c’è comunicazione tra l’invaginazione e la polpa. (fig. D)
Lo so, le classificazioni sono sempre noiose ma sono utili, anche perché in molti casi ci guidano nelle decisioni cliniche.
Se non sai che il“vuoto” che vedi in centro a un dens in dente di tipo III non è il lume canalare ma semplicemente uno spazio vuoto, non riesci nemmeno a immaginare come sia fatto un dente del genere. E non riesci nemmeno a spiegarti come un dente del genere possa avere una lesione parodontale ed essere al contempo vivo, visto che quel canale non comunica col nervo ma mette solo in comunicazione il cavo orale con il parodonto!
In ogni caso diciamo che la speranza di tutti dovrebbe essere sempre di non arrivare a trattare un dens in dente. Ecco perché, nel caso ne riconoscessimo uno ed individuassimo il forame di accesso all’invaginazione a livello del cavo orale, dovremmo assolutamente sigillarlo od otturarlo per prevenire la comparsa di infezioni.
Quando però un dens in dente ha già la lesione allora sono cazzi e qualcosa bisogna farlo.
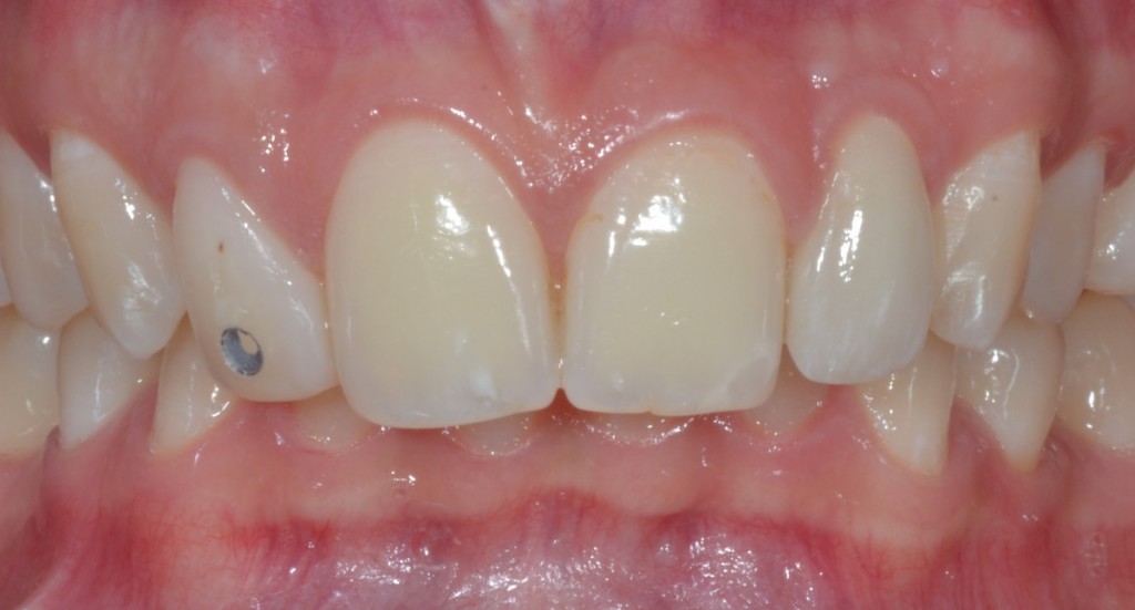
Con quello di ieri mattina, me ne sono capitati due da trattare e ho già detto a Roberta che mi sto allenando per il suo! ?
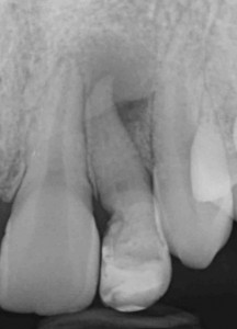
Il primo era questo
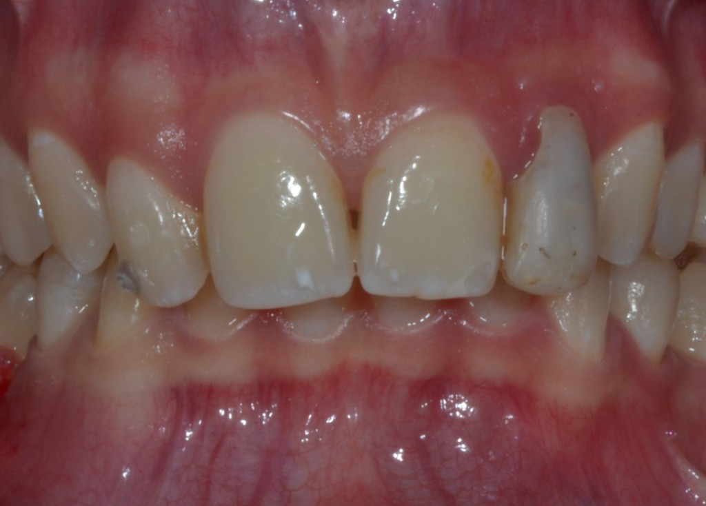
La proprietaria del dente, una ragazzina di 16 anni, da tempo lamentava gonfiore e dolore che scompariva solo con terapie antibiotiche. Il dentista precedente aveva semplicemente corretto la forma del dente con un composito orrendo. La diagnosi non aveva saputo farla. Aveva solo saputo dire che era un dente che si poteva solo estrarre.
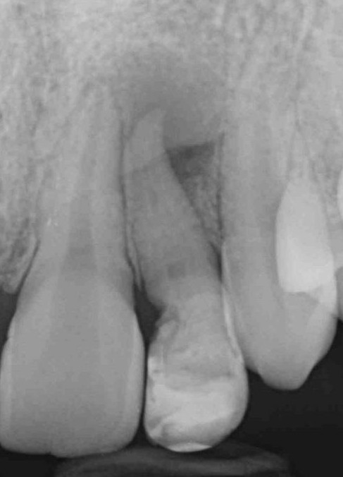
Con l’ausilio della Cone Beam sono riuscito a identificare che il dente aveva due canali e una radice molto palatoversa: per accedere a questi canali, separati tra loro dall’istmo di smalto invaginato, potevo fare una cavità perpendicolare al dente a livello vestibolare e una palatina.
Non ho smontato subito il composito perché mi serviva a riconoscere i reperi che mi ero cercato sulla tac.
La prima cavità, fuori dagli schemi, ho preferito farla senza diga per capire meglio l’inclinazione. Guarda che spettacolo la cavità di accesso!
Una volta trovato il canale con l’accesso più difficile e sapendo che un secondo canale decorreva parallelo a questo dal lato palatino il resto è stato relativamente semplice.
Un mio collaboratore che mi assisteva mentre eseguivo il trattamento, dapprima ammirato e affascinato come me dal caso, alla fine dello stesso ha convenuto con me che in termini pratici non era affatto difficile, a conti fatti.
La cosa più complicata in endodonzia, come ti spiegavo in un precedente articolo, è previsualizzare il trattamento e avere una strategia ben chiara in testa prima di cominciare un trattamento, ricordi?
Se riesci a fare questo, poi puoi avere risultati sorprendenti anche al primo caso particolare che tratti, come ti avevo già detto parlando del primo caso di riassorbimento esterno di classe IV che ho trattato, andato subito alla grande e senza particolari difficoltà.
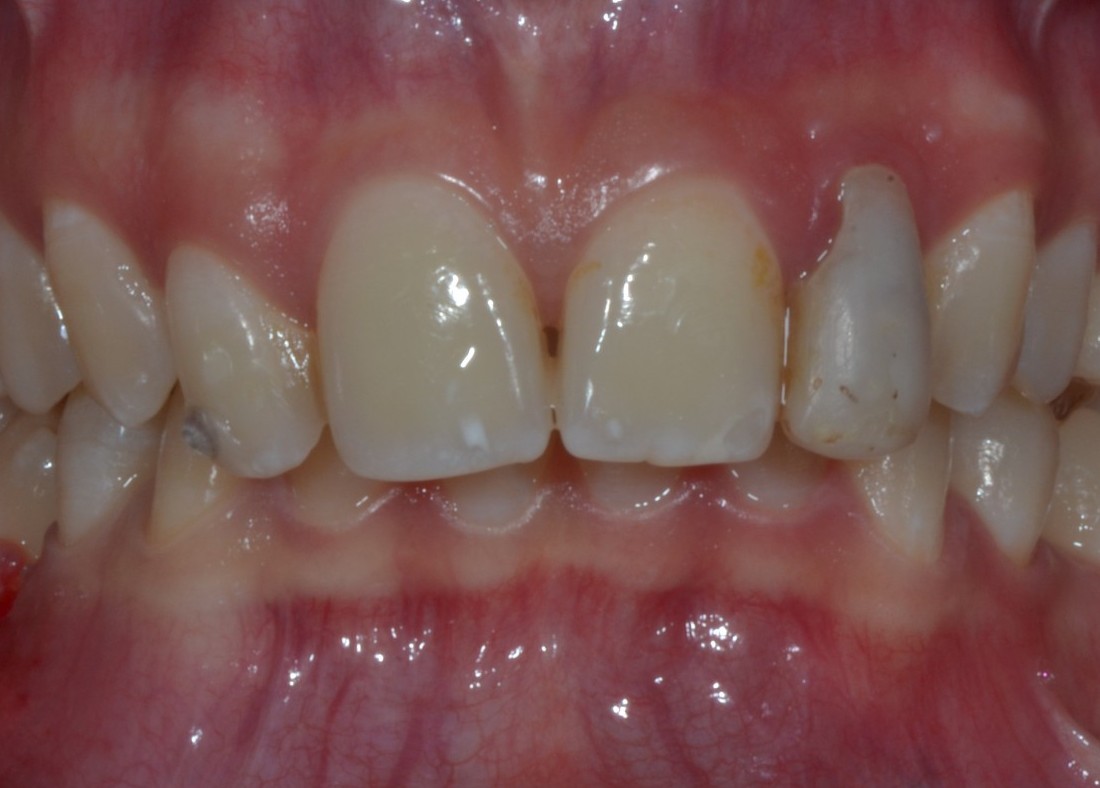
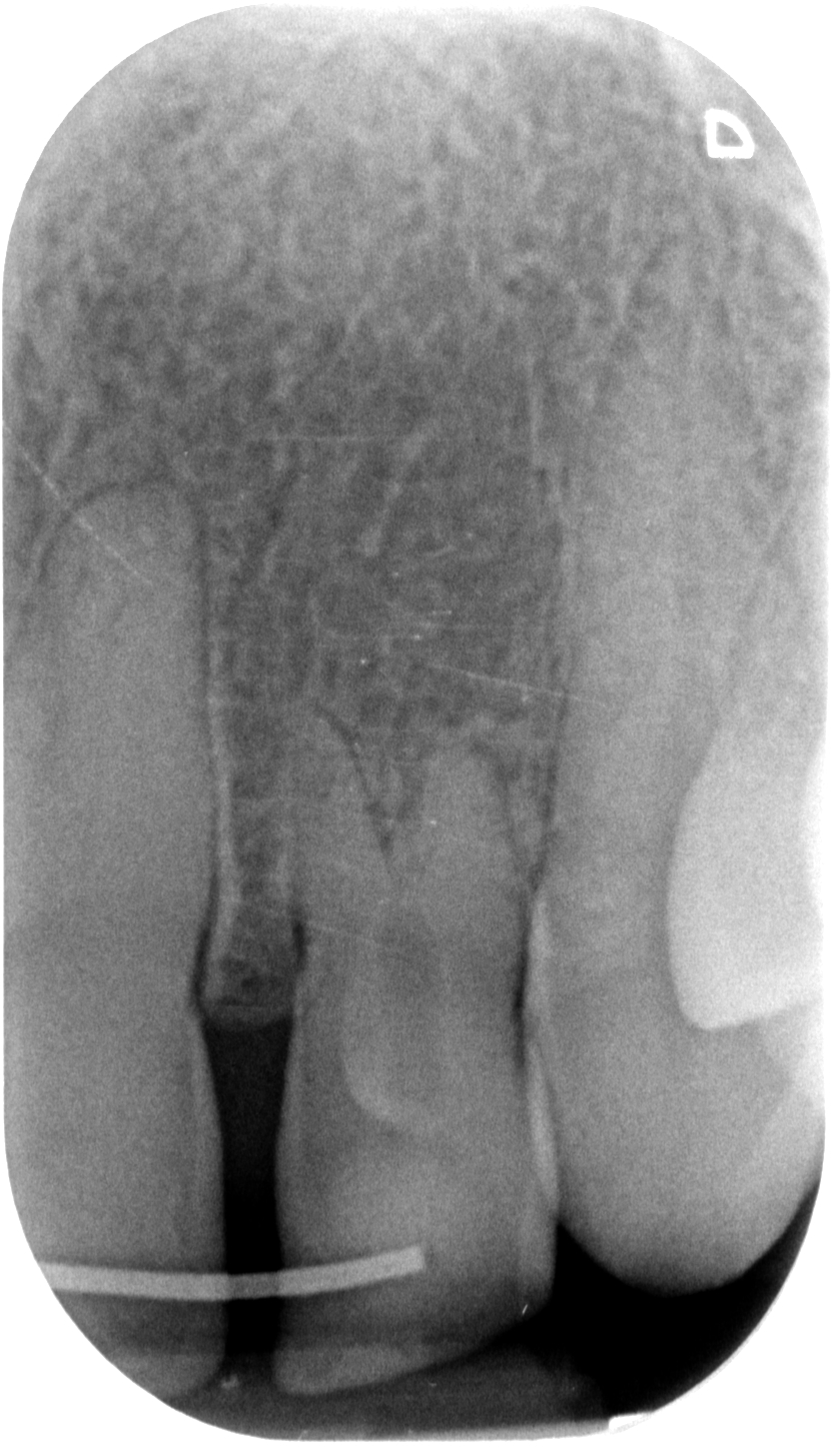
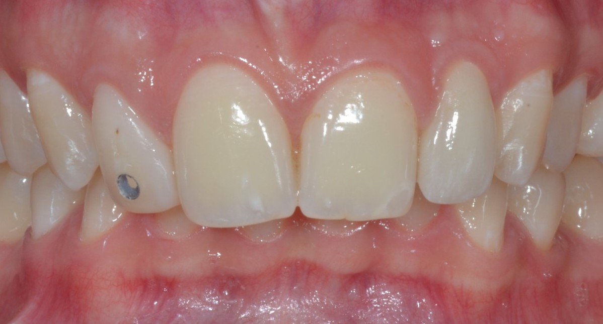
Ora Maddalena, così si chiama la ragazzina di questo dens in dente, con un piccolo allungamento di corona clinica seguito da limatura del margine incisale e una semplice otturazione di 12 e una corona in disilicato preparata su questo dens in dente, può tornare a sorridere. Ecco la foto e la rx a sei mesi dal caso finito. Tutto perfetto! Il 22 sta guarendo e le gengive e i denti stanno alla grande! Il brillantino invece ha perso il diamantino! ?
In attesa che anche a te capiti un dens in dente da riconoscere ed eventualmente trattare, ti lascio con il video del dentone che ti ho presentato all’inizio del post. L’ho trattato demolendo il dens in dente e trasformando il canale in un canalone da chiudere con un cemento come l’MTA o la Biodentine. Io preferisco la Biodentine che mi sta dando grandi soddisfazioni e che è più facile da maneggiare, come vedrai nel video! Ne parleremo in un prossimo post, per cui, se non l’hai fatto, iscriviti alla newsletter di Formazione Odontoiatrica! Ne vedremo delle belle!
Stefano













Posso sapere il dentista chi è mia figlia 8 anni ha un dente in dens che ho scoperto io come si chiamava questa sera,il dentista mi ha solo detto che deve essere così mi piacerebbe farle vedere la bimba grazie
Mi chiamo Salzano Stefanoe lavoro a Cuneo. Se il dens in dente non dà problemi non e necessario curarlo per questa condizione. Se invece diventa sintomatico allora serve rivolgersi a uno specialista in endodonzia!
So we advise executing this from a cell mobile phone.
Ciao Stefano,
due domande, questi denti vanno in necrosi perche’ si caria la fossetta, al pari di un molare non sigillato, giusto?
Non usi mai una barriera di collagene quando usi materiali bioattivi?
Grazie
Michele