PERCHE’ LA PROTESI CEMENTATA SU IMPIANTI E’ DEFUNTA.

Ieri ho postato alcune foto di una corona avvitata su impianto su un incisivo centrale.

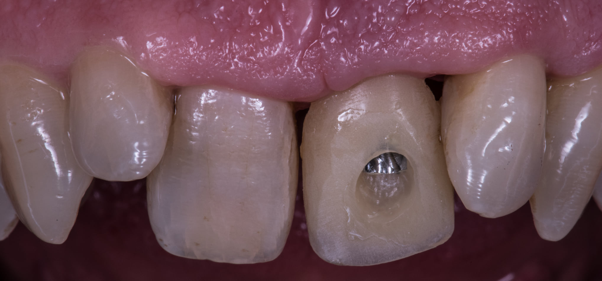
Come spesso accade nei casi frontale mascellari, l’asse dell’impianti era forzatamente inclinato verso palatale quindi il foro di emergenza della vite passante era parecchio vestibolare.
Lo puoi vedere nella foto del provvisorio

 

provvisorio

 

Fino a qualche anno fa una situazione come questa doveva essere necessariamente gestita con una protesi cementata con tutti i problemi anacronistici che questo comporta

  • La presenza di un gap di cementazione, per l’appunto.
  • La difficile gestione di un eventuale chipping
  • L’impossibile gestione di un’eventuale svitamento del moncone (se non cementando con temp bond su monconi in titanio… cosa che non voglio neanche immaginare nel 2020)
  • I maggiori costi
  • Il maggior numero di passaggi
  • …e chi più ne ha più ne metta..

 

Oggi però abbiamo una soluzione che ci permette di consegnare questa corona avvitata al nostro paziente portando il foro di emergenza del canale di avvitamento dalla parte palatale. Lì potrà essere agevolmente chiuso in composito senza compromessi estetici.

 

Definitivo
Definitivo Palatale
Ecco quindi che l’unico motivo che poteva giustificare una protesi cementata su impianti viene miseramente a cadere!!

 

Sono sicuro che molti già la conoscono ma dai commenti che sono comparsi sotto il post forse è utile qualche chiarimento.

 

Trovi tutto nel video.

 

A presto!!

3 pensieri su “PERCHE’ LA PROTESI CEMENTATA SU IMPIANTI E’ DEFUNTA.

  1. Pietro

    Caso straordinario condivido tutto dalla mini invasivita’ quindi intarsi e faccette, impianti separati e abutment custom.

    Mi spiace non poterti più seguire su Facebook questo caso sono molto belli.

    Ciao

  2. MICHELE BOGLIONI

    Con la conometria protesica (per esempio AON implants, Vicenza) non hai più il problema del foro vite e del cemento, in questo modo è preservata anche l’occlusione. Se posso inoltro delle foto di alcuni casi

  3. Piero Recchia

    Grazie Federico,
    caso molto bello e didattico, complimenti.
    Personalmente avevo qualche resistenza nel lasciare al solo zirconio incollato su un T-base in titanio alto 2-3 mm l’assorbimento di carichi laterali importanti sui singoli e ancora di più sui ponti su due impianti ( mentre è assodato che nei full-arch i carichi laterali vengono assorbiti dalla geometria della struttura).
    Oggi dopo il tuo oserò di più.
    Grazie

Lascia una risposta

L'indirizzo email non verrà pubblicato. I campi obbligatori sono contrassegnati *