[VIDEO]QUANTO OSSO CRESTALE SERVE PER METTERE UN IMPIANTO TRANSINUSALE?

Recentemente, a seguito della pubblicazione di un mio video, qualche collega mi ha chiesto quanto osso crestale fosse necessario per mettere un impianto trans-sinusale, sottolineando che qualche formatore sostiene e insegna che servano almeno 4/5 millimetri.

La mia risposta è stata:

 

“Se aspetti di avere 4/5 mm crestali un trans-sinusale non lo farai mai!!”

 

La tecnica di cui parliamo serve a risolvere casi di estrema atrofia prima di passare a tecniche ricostruttive o zigomatiche, è quindi molto difficile pensare di trovare casi che abbiano 5 millimetri di osso nella zona dei premolari… non sarebbero infatti casi atrofici ma casi banali alla portata di tutti.

 

Sui social continuo a vedere pubblicati casi che, anche se a volte ben gestiti protesicamente, sono estremamente banali nella componente chirurgica. A volte addirittura derivanti dalla massiva estrazione di denti assolutamente mantenibili e recuperabili.

 

Vedo invece pochissimi (in realtà quasi nessuno) casi reali. Quelli che a me capitano tutti i giorni in studio, con i mascellari distrutti da decenni di dentiere o, sempre più frequentemente, da perimplantiti avanzate e non diagnosticate.

 

Il mio timore è che questi casi non si vedano pubblicati perché in realtà non vengono trattati dai colleghi che li ritengono troppo complessi.

 

Da anni mi spendo per cercar di far capire ai colleghi che anche casi che vengono considerati molto complessi in realtà sono gestibili dalla maggior parte dei chirurghi e cerco di insegnare loro come fare.

 

Oggi con questo video voglio rispondere a quella domanda.

 

“Quanti millimetri di osso crestale servono per un impianto transinusale?”….

 

Non c’è una regola. Anche zero se sei abbastanza esperto… beccati il video di questo caso!

 

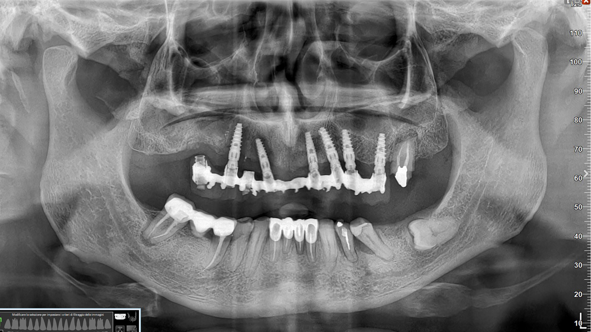
panoramica

 

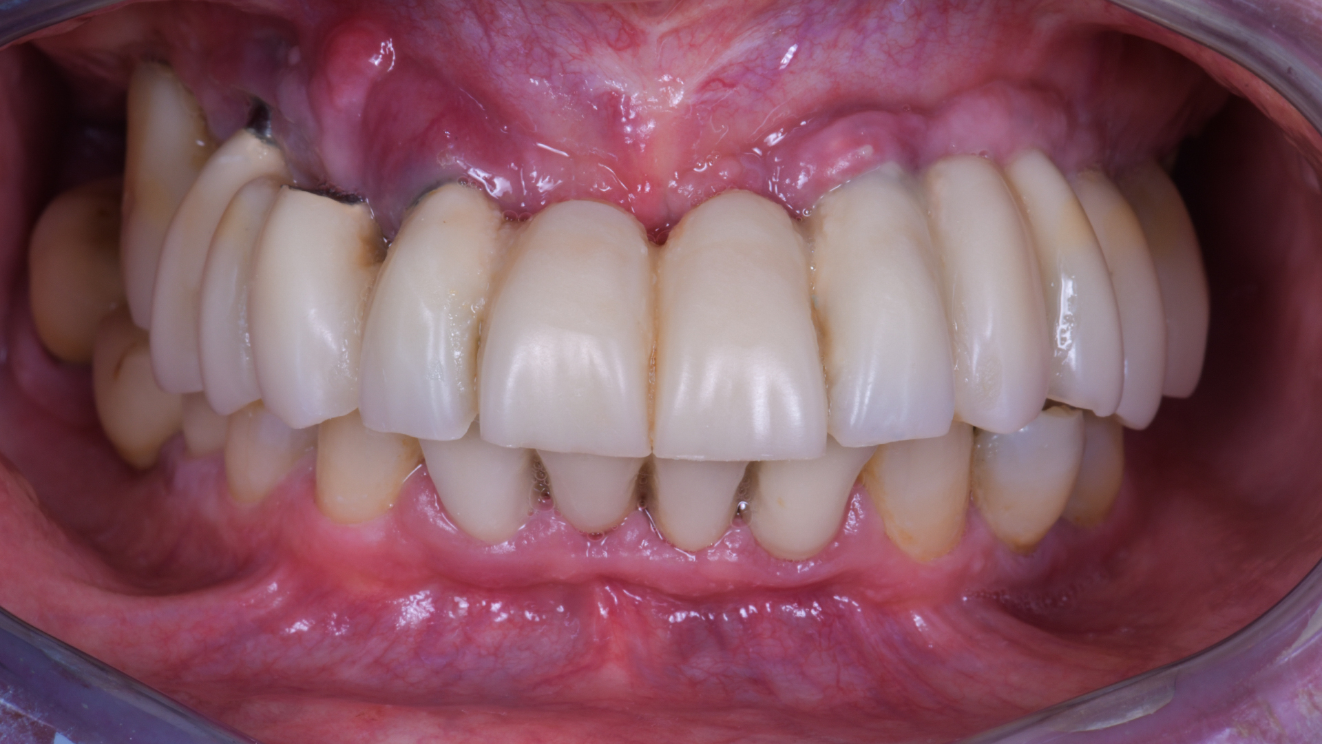
La situazione protesica precedente è questa e ti prometto che a breve pubblicherò anche la soluzione protesica del caso.

 

EXTRA

 

EXTRA2

 

Ma per ora vediamo come ho messo questi impianti.

 

tac dopo

 

A presto

 

Ora ti lascio al video, assicurati di aver effettuato il login a Youtube altrimenti non lo vedrai perchè c’è la protezione per i minori.

 

PS se non vedi la preview del video clicca su questo link di YouTube

Ah… dimenticavo

  • Quando vai su YouTube per guardarlo metti un cazzo di like che mi aiuta il canale… fallo subito però, poi se non ti piace lo togli!
  • Iscriviti al canale così non ti perdi i nuovi contenuti
  • Se vuoi spaccare nella gestione di questi casi iscriviti al più frequentato corso in Italia sull’argomento… ti cambierà la vita!!!

Un pensiero su “[VIDEO]QUANTO OSSO CRESTALE SERVE PER METTERE UN IMPIANTO TRANSINUSALE?

  1. Piero Recchia

    Bellissimo, ottimo video sembra di stare lì con te!
    E poi sei veramente didattico nella spiegazione; grazie.
    Quando li fai tu sembrano tutti facili e viene voglia di fare subito un caso.

    I trans sinusali sono veramente tra gli impianti “extra alveolari” se così possiamo definirli quelli più pratici e strategici dal punto di vista protesico, oltre che più semplici da approcciare dal punto di vista chirurgico.
    Sui social invece, non so perché, vanno di moda gli zigomatici.

Lascia una risposta

L'indirizzo email non verrà pubblicato. I campi obbligatori sono contrassegnati *