SEI PRONTO PER IL SECONDO SEGRETO?

Ti avevo promesso tre segreti e così sarà.

Oggi parleremo del secondo. Ricordi qual era il nostro obiettivo?…

Non accorciare il fornice quando spostiamo coronalmente un lembo.

Qualcuno ha commentato il mio post precedente dicendo che chirurgicamente non possiamo modificare l’anatomia e la posizione delle inserzioni muscolari. Le inserzioni muscolari torneranno dove natura le vuole.

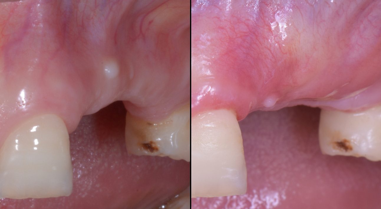
In realtà non credo che sia proprio così. Guarda cosa succede quando facciamo un intervento di bone augmentation:

Untitled

Fornice completamente accorciato con inserzioni muscolari palatali rispetto al centro della cresta a 8 mesi dalla prima chirurgia.

E considera che come dicevamo, in questa zona, i muscoli sono delle puzzette.

Il mentale con il quale stiamo lottando nel nostro caso è tutt’altra cosa:

LA PRIMA TECNICA SEGRETA PER NON ACCORCIARE IL FORNICE IN CHIRURGIA MUCOGENGIVALE 01

Ecco perché ci serve il terzo segreto:

DOPO AVER STACCATO LE INSERZIONI DALLA SOTTOMUCOSA COME TI HO FATTO VEDERE  QUALCHE GIORNO FA, DOBBIAMO ELIMINARE LA PARTE PIÙ CORONALE DEL MUSCOLO.

Dobbiamo fottergli il morale per evitare che si riattacchi coronalmente e che tiri sul nostro lembo in fase di guarigione.

La parte superficiale l’abbiamo già sezionata nella fase precedente, ora non ci resta che staccarlo dall’osso e toglierlo.

Ovviamente (SPERO!) non possiamo usare lo scollaperiostio perché sulla superficie ossea dobbiamo lasciare un tessuto riccamente vascolarizzato, il periostio, che fornisca nutrimento al nostro sottilissimo lembo superficiale riposizionato.

Il lembo muscolare deve quindi essere sezionato in profondità con la lama, dovrai poi fare due tagli di scarico verticali e infine tagliarlo alla base per poterlo rimuovere.

Questo non avrà nessuna influenza sulla sintomatologia post-operatoria e soprattutto (lo dico per i più inesperti) sulla mobilità del labbro e sulla mimica del mento!

Alla fine del video vedrai che il tessuto rimosso è rosso ai lati e bianco in corrispondenza della linea  mediana. Quello bianco è il rafe connettivale che connette le due parti del muscolo mentale.

Spero che anche questo video possa piacerti e esserti utile.

Dopo la mia vacanzina in Francia ti parlerò del terzo ed ultimo segreto. Tu scalda la lama e prepara i pazienti.

E se non l’hai ancora fatto ricordati di comprare il mio corso online sulla gestione dei tessuti molli in parodontologia e implantologia.

Molti l’hanno già comprato e mi continuano a mandare foto di casi… non vorrei che ti lasciassero indietro

Buon megaponte all’italiana!

 

 

Lascia una risposta

L'indirizzo email non verrà pubblicato. I campi obbligatori sono contrassegnati *