THERMAFIL: LE 4 GRANDI BUGIE!

Al quarto anno di università, nel 2003, nel corso della frequenza del reparto di conservativa ed endodonzia, agli studenti veniva richiesto di trattare tre canali.

A me erano capitati 3 monocanalari.

Ricordo ancora che tra mille protocolli e tutte le rx di documentazione che venivano richieste, sommate all’inesperienza, per ogni dente servivano almeno due appuntamenti. E, nel secondo, ricordo bene che c’era lo spauracchio della OTTURAZIONE CANALARE CON SIRINGA OBTURA! Un device altamente tecnologico che dovevi andare a richiedere compilando moduli e garantendo che avresti ripagato con le tue povere tasche da studente i delicatissimi aghetti da 30 gauge se per caso li avessi persi o rotti. Il reparto a quei tempi disponeva di una sola siringa, che ti arrivava tutta imballata in uno scatolone con tutti i pezzi riposti con cura maniacale dato l’altissimo valore economico!

Thermafil - Siringa Obtura

 

Al momento del dunque, dopo aver faticato le proverbiali sette camicie per documentare il caso, iniziavi a gestire la delicata manovra della otturazione canalare partendo dal downpack con Touch’n Heat e plugger con tecnica di Schilder, per poi completare il backpacking con la siringa Obtura.

Mentre effettuavi le manovre tra mille dubbi, senza capire cosa stessi facendo, visto che si lavorava senza occhialini, eri già in ansia per il momento della rx finale. Dopo aver compilato un’altra decina di moduli per accedere alle rx e ai centratori ti recavi alla sviluppatrice…sollevavi al cielo la rx sperando che i liquidi non fossero esausti…ti recavi al diafanoscopio…e…UNA MERDATA DI CHIUSURA PIENA DI GAP!?

Tre chiusure di merda su 3! 100%! Percorso netto!

Thermafil - Vittoria

Devo confessarti che l’endodonzia, dopo questa esperienza, l’avevo presa un po’ in odio.

L’anno successivo, nel reparto di protesi, la siringa Obtura ed il Touch’n’heat non erano a disposizione, quindi, dopo aver imparato a lezione l’anno precedente che la tecnica di condensazione laterale a freddo faceva cagare, l’anno successivo ti trovavi a doverla mettere in pratica nella gestione dei casi protesici. Quando si dice predicare bene e razzolare male…?

Con la supponenza di chi nella vita ha già usato la tecnica migliore sul pianeta, controvoglia approcciai a questa tecnica vetusta e primitiva…però le rx erano molto più belle! E anche se sapevo che probabilmente quella chiusura era meno performante di quella effettuata a caldo l’anno precedente, mi tornò un po’ di passione per l’endodonzia.

Nel mentre frequentando un po’ di corsi di endodonzia scoprii questa tecnica di cui non riuscivo a capire il razionale, il THERMAFIL.

Mi chiedevo come si potesse essere sicuri di compattare bene la guttaperca con quel gesto così semplice…Dove erano finite tutte le misure dell’apice, del cono, la scelta del plugger, ecc…

Troppo facile per funzionare davvero.

 

Però, un po’ prima di laurearmi, trovai il modo di poter lavorare gratuitamente in un centro dove si effettuavano cure pro bono su immigrati senza permesso di soggiorno ed indigenti. Mi comprai rilevatore, motorino endo, strumenti rotanti, centratore endodontico e poi ripiegai sul Thermafil perché il fornetto era più facile da trasportare rispetto alla siringa Obtura e il System-B o il Touch’n Heat, costava meno e riuscivo a farlo entrare nella mia valigetta imbottita da killer endodontico…

Thermafil - Valigetta da killer

Senza aver ben chiari i criteri di selezione dei diametri dei Thermafil e di come gestire la lunghezza di lavoro, perché all’Univeristà avevano elegantemente glissato su questa tecnica, misi a intuito il primo thermafil 25 (sicuramente sottodimensionato visto che avevo un gauging di 25…) e incredulo per la semplicità guardai scettico la rx…sicuro di aver ricominciato la serie di risultati negativi iniziata nel reparto di endodonzia, rimasi sbalordito dalla mia prima cura canalare con sbuffetti! Ed era un premolare, neanche un monocanalare! Mica cotica!

Da quel momento capii di essere diventato un grande endodontista!

In realtà avrei compreso solo qualche anno dopo che il mio livello era ancora estremamente pietoso, ma quella esperienza mi ha fatto appassionare all’endodonzia.

Devo tutto ai Thermafil e non potrò mai rinnegarli.

 

Senonché, negli anni successivi, cominciai a sentire alcuni endodontisti sentenziare che il Thermafil andava bene per pochi casi o addirittura non andava bene per niente. E che un endodontista figo doveva usare la Tecnica dell’onda della condensazione continua di Buchanan.

In realtà non sono sicuro che questa tecnica sia di Buchanan, perché suona come una delle tecniche di arti marziali che negli anni ’80 usava un certo Kenshiro, della scuola di Hokuto….I giapponesi sono sempre avanti con la tecnologia…?

Thermafil - Kenshiro

E comunque le quattro sentenze, che poi sono anche le 4 GRANDI BUGIE a cui fa riferimento il titolo del post, erano:

1 – “eh, ma se poi devi ritrattare i Thermafil sono cazzi…”

2 – “eh, ma se ti si denuda il carrier toccando il canale?”

3 – “eh, il problema è che col Thermafil fai fatica a mettere i perni e comunque non puoi metterli nella stessa seduta della chiusura canalare”.

4 – “eh, ma col Thermafil non puoi chiudere anatomie difficili come le biforcazioni, le IV classi di Weine, i canali confluenti…non hai controllo apicale!”

Quando sei neolaureato non ci sono cazzi. Le sentenze dei baroni dell’endodonzia sono dogmi, soprattutto se precedute dall’esclamazione “eh!”

In qualità di sedicente endodontista top, se usavo solo i Thermafil potevo essere solamente etichettato come endodontista sfigato e incompleto.

E io non volevo essere né sfigato, né incompleto, così comprai la Obturation Unit, della Sybron Endo.

La usai 3 volte.

Feci 3 chiusure di merda senza controllo alcuno, (e la mia mano era comunque diventata più sensibile…).

Thermafil - Incazzatura

E per evitare di dover lasciare l’endodonzia a Federico, che nel mentre aveva il suo bel da fare a sconfessare i dogmi dei baroni chirurghi, che spesso iniziano con una esclamazione ancor più lunga, tipo “Eeeeeeehhhhh”, vendetti in perdita la magnifica Obturation Unit. ?

Ma da allora ho lavorato sempre di più…sapete, io non amo fare ferie…e lavoravo 6 giorni a settimana…

In un anno facevo 400 canali…poi 600…poi 800…

E sai com’è…io i perni dopo il Thermafil, dopo aver capito come fare, li mettevo…e non mi veniva via il carrier e i perni non si staccavano…all’inizio raffreddavo la gutta col crio spray, poi ho capito che basta condensarla con un plugger, prima di tagliare il carrier con una Post space bur della Dentsply…anche se so che questo non è possibile, per cui il carrier ricrescerà o mi si staccheranno tutti i perni da qui a qualche mese…Vedere un post space completamente deterso come questo è sicuramente un inganno…

 

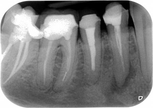
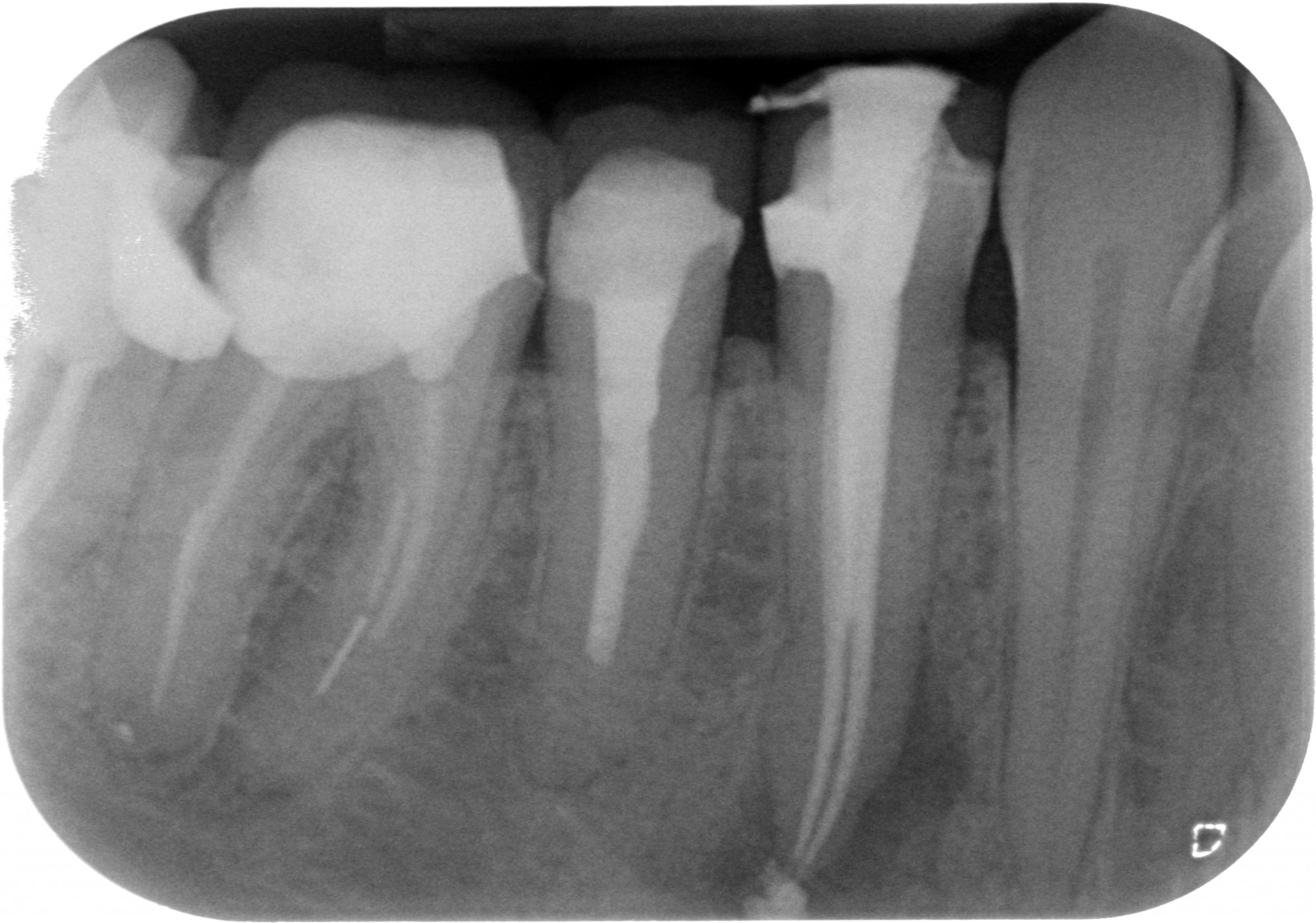
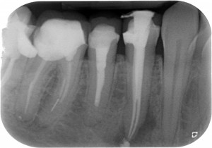
E arrivandomi il microscopio ho cominciato a trovare anatomie assurde a josa…E le riuscivo a chiudere solo coi thermafil…anche se in realtà evidentemente credevo solo di farlo, perché era impossibile. Guarda questo primo premolare inferiore che ho ritrattato un mesetto fa…forcazione a 5 mm dal fondo del dente…in pratica una IV classe di Weine…Secondo te con cosa l’ho chiuso? ?

Thermafil - Anatomia difficile iniziale Thermafil - Anatomia difficile lunghezze Thermafil - Anatomia difficile finale

E avrò denudato senza saperlo una decina di migliaia di Thermafil… e anche se di cure me ne falliscono veramente poche di sicuro mi torneranno tutte indietro nei prossimi anni, perché si sa che se il Thermafil si denuda la cura fallisce per atti osceni in luogo endodontico.

Ah, e di Thermafil ne ho ritrattati a centinaia…ma di sicuro anche se il risultato diceva “sbuffo” in realtà creavo un canale parallelo al precedente, che era impossibile da ritrattare.

Guarda com’è difficile ritrattare i Thermafil e superare il muro del carrier…

Sicuramente ero solo fortunato o incompetente. O forse no?

O forse la verità è che bisogna sempre fare i fighi e propugnare le tecniche più complicate per sentirsi ancora endodontisti puri?

Del resto chi faceva lo specialista endo in passato era sicuramente uno cazzuto.

Ma quando in pochi anni escono sul mercato strumenti rotanti, rilevatori d’apice, tecniche di otturazioni veloci e l’endodonzia diventa alla portata di tanti, che cosa si racconta poi ai corsi un tempo affollati e ora in declino? “Ragazzi, la chiusura è una cavolata, infilate un bastoncino nel canale ed è fatta!”?

Eh no, bisogna creare l’ansia e il senso di inferiorità ed inadeguatezza nei discenti…Bisogna far capire che semplificare non va bene.

E così da anni quando vado a qualche corso o pubblico un caso su fb sento le solite tiritere. Quando parli di Thermafil tutti salgono in cattedra e ti snocciolano che non vanno bene…si denudano, non si ritrattano, per i perni è un casino, ecc…

Ragazzi ma li avete mai usati i Thermafil?!?!?! O parlate per frasi fatte?

Solo se lavori e vedi cosa fai puoi fare certe sparate. Se no stai zitto che fai più bella figura…

Intendiamoci, quando qualche endodontista di livello mi porta esempi scientifici di criticità lo ascolto, faccio le mie obiezioni e ci si confronta…Ma, signori miei, è molto più difficile e lungo per chiunque chiudere con l’Onda di condensazione continua che con Thermafil. E infatti alla fine tanti ripiegano sulle tecniche più esotiche, dal Gutta Condensor ai McSpadden pur di chiudere con gutta calda ma rifuggire il metodo difficile (l’onda di condensazione) o quello farlocco (i Thermafil).

In realtà con l’onda di condensazione continua o con la classica tecnica di Schilder le criticità sono molto di più. Tanto è vero che a me non è venuta bene una singola chiusura con questa tecnica, né da studente, né quando avevo un migliaio di canali trattati alle spalle.

Massimo rispetto per chi la sa usare in maniera veloce e impeccabile.

Di sicuro sarò cretino e incapace io…però nel frattempo ho vinto un Premio Lavagnoli, ho una pubblicazione sul Journal of Endodontics e posto casi in cui di canali in un molare ne trovo 6.

E lavoro col miglior microscopio al mondo.

E i casi non mi tornano indietro.

 

In endodonzia come nel resto dell’odontoiatria, bisogna selezionare le tecniche efficaci meno operatore-dipendente possibili. Se poi ci sarà quel caso ogni 50-100 in cui con un’altra tecnica avresti avuto una piccolissima marcia in più o avresti impiegato 5 minuti in meno lo si accetterà senza troppi patemi. Il 100% di successo tanto sarà sempre e solo una utopia. E comunque in quei casi sporadici in cui col Thermafil ti si crea qualche complicazione non è che falliscano per forza, eh?

 

Credo ci sarà modo di preparare qualche corsetto on-line sui Thermafil. Credimi, è una tecnica fenomenale! E con la buona pace di Kenshiro e della sua Tecnica dell’onda di condensazione continua, mi fido di più della tecnica inventata da Ben Johnson…che anche se dopato un record mondiale reale lo ha fatto e di velocità se ne intende!

Thermafil - Ben Johnson

Del resto sono un Silver Member di Style Italiano e credo nel motto del gruppo: Feasable, Teachable, Repeatable. Bisogna insegnare le cose che funzionano, semplici e meno operatore-dipendenti possibile, non inventarsi complicazioni e teorie per smontare le cose semplici che funzionano. Come i Thermafil. Se volessi imparare a utilizzarli ma non sai da dove iniziare ti suggerisco un interessante articolo di Enrico Cassai sul blog degli amici di Style Italiano su come utilizzarli! Clicca qui per leggerlo!

Alla prossima!

 

Stefano

 

P.S. Chiedo scusa a Steve Buchanan e Ben Johnson, due grandi maestri dell’endodonzia mondiale! Mi sono permesso di scherzare un po’…Nessuna intenzione di offendere!

 

 

 

 

14 pensieri su “THERMAFIL: LE 4 GRANDI BUGIE!

  1. Fabrizio

    Bell’articolo! Mi permetto di aggiungere che in canali curvi, a mio modestissimo avviso, non è possibile arrivare con i plugger a più di 5 mm dall’apice. Quindi ( scaldando i plugger per non più di 3 mm , vado a mamoria)la guttaperca, in questi canali proprio in apice non potrà essere plasticizzata… quindi in pratica avremo chiuso solo con il master e il cemento … cosa ne pensi?P.S. Secondo me la laterale a caldo ( microheat con pac Mac ) resta la migliore anche se sempre meno commercializzata…

    1. Formazione odontoiatrica Autore dell'articolo

      Assolutamente d’accordo per la prima considerazione! La condensazione laterale a caldo non l’ho mai utilizzata, per cui non mi pronuncio!

  2. Riccardo

    Veramente un bell’articolo, complimenti!
    mi sono rimaste impresse queste parole…
    “che cosa si racconta poi ai corsi un tempo affollati e ora in declino? “Ragazzi, la chiusura è una cavolata, infilate un bastoncino nel canale ed è fatta!”?
    Eh no, bisogna creare l’ansia e il senso di inadeguatezza nei discenti.. bisogna far capire che semplificare non va bene!”
    All’università sui thermafil sono stati dedicati appena 10 minuti descrivendone più i contro che i pro.. Di endodonzia poi ho fatto un corso e un master universitario e..indovinate? Dei thermafill nessuna traccia, non sono stati neanche nominati per un secondo!!
    Chissà perchè…

    1. Formazione odontoiatrica Autore dell'articolo

      Ciao Riccardo! Guarda, ne parlavo proprio oggi con un nuovo collaboratore che mi sta seguendo e che sta frequentando il corso di endodonzia dell’AIE…dice che il thermafil è vituperato, quasi vietato! Assolutamente insensato!

      1. Riccardo

        Che vuoi, si vede che è da sfigati allora usarlo! ? L’odontoiatria italiana di oggi ha proprio dei problemi culturali di fondo .. ed è per questo che ammiro con molto entusiasmo la mentalità che trasmettete su questo blog!! Articoli come questo e quello dell’invasivita’ chirurgica di Federico andrebbero fatti leggere agli studenti dell’Università ..mentre invece spesso ai poveri studenti vengono infuse troppe e fuorvianti pippe mentali!

  3. roberto

    Ciao Stefano,
    che ne pensi dei guttafusion ( carrier con gutta), e volevo gentilmente sapere come fai quando ti capitano canali ogivali o canali molto ampi a “C” a sigillare completamente tutto il canale? mi dai qualche dritta. ciao grazie. roberto

    1. Formazione odontoiatrica Autore dell'articolo

      I canali a C sono comunque un problema per qualunque sistema di compattazione…semplicemente scelgo i carrier più grandi rimangano corti di un mm rispetto all’apice e ne metto due o tre nelle posizioni in cui di solito trovi i canali standard e comunque atto con un plugger le zone che separano i carrier…esattamente come faresti con coni di gutta…in alternativa usi biodentina o mta se l’apice fosse enorme e visibile e accessibile al micro…per i guttafusion li trovo inutili. Non danno alcun vantaggio perché il carrier in gutta beta non so taglia più facilmente di quello dei thermafil, ma si accartoccia e a sensazione spinge meno rispetto a quello in plastica…bocciati

  4. David

    Complimenti per l’articolo. Io a volte ho problemi nella scelta del thermafil, anche io uso mtwo e per il gauge mi gestisco con gli apical file mtwo e un po’ di manuali. Ma trovare quello che poi scende giusto non è facile. Ho anche provato a usare carrier denudati al posto dei verificatori che mi hanno detto essere poco affidavbili, possibile? Te come fai? Grazie per la condivisione, buon lavoro

    1. Formazione odontoiatrica Autore dell'articolo

      Uso i carrier denudati! Scelgo il più grande che arrivi a 0,5-1 mm dall’apice! Semplicissimo!

  5. Michele Recchia

    Personalmente uso spesso la tecnica “custom cone technique”, in associazione al system B.
    La tecnica prevede l’uso di un cono meno conico dell’ultimo strumento portato nel canale tagliato apicalmente di una misura leggermente maggiore del diametro apicale.

    il cono si ferma 0,5-1mm dall lunghezza di lavoro, a questo punto immergi la punta nel solvente (olio di eucalipto) e la infili nel canale. Il cono arriva in apice adattandosi ad esso con un ottimo tug back.
    poi porto il touch n heat (punta molto sottile) generalmente a 4mm dall’apice. uso microscopio e plugger in niti in questo modo compensi il problema del fatto che la punta del cono potrebbe non adattarsi al canale.

    Canali curvi coronalmente e Mb2 che preparo con conicità ridotte li chiudo con thermafil

  6. Giuseppe

    Ciao Stefano, bellissimo articolo!!!
    Se possibile volevo però chiederti un chiarimento: l’otturatore che userai per chiudere il canale lo metti all’effettiva lunghezza di lavoro o, come il carrier di prova, lo metti a 1 mm-0,5 mm dalla lunghezza di lavoro?
    Grazie mille per questo articolo, anche a me il Thermafil piace molto come tecnica!

    1. formazione odontoiatrica

      Ciao! Scelgo il carrier più grande che arrivi a 0,5-1 mm dall’apice e da lì non ci penso più: quando metterò il thermafil lui si fermerà dove deve! Come controverifica metto lo stop alla stessa altezza del carrier di prova ma solo per capire se è sceso quanto doveva!

Lascia una risposta

L'indirizzo email non verrà pubblicato. I campi obbligatori sono contrassegnati *