VIDEO APPUNTI DI CHIRURGIA MUCOGENGIVALE: RISPOSTA ALLA GENTILE DOMANDA DI PAOLO

Qualche giorno fa è ricomparso sul gruppo ODONTOIATRIA ITALIA un mio vecchio caso di circa due anni fa perché qualcuno, giustamente, ha richiesto il follow up che sono stato molto felice di postare.

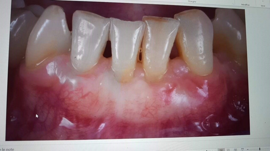
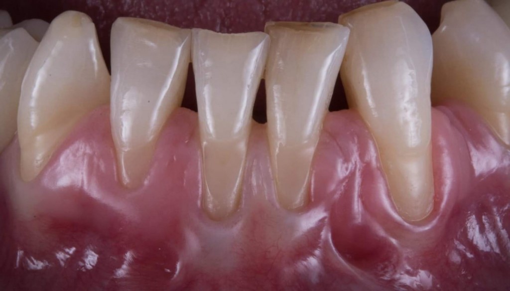
Il caso era questo.

WhatsApp Image 2019-03-13 at 18.15.02

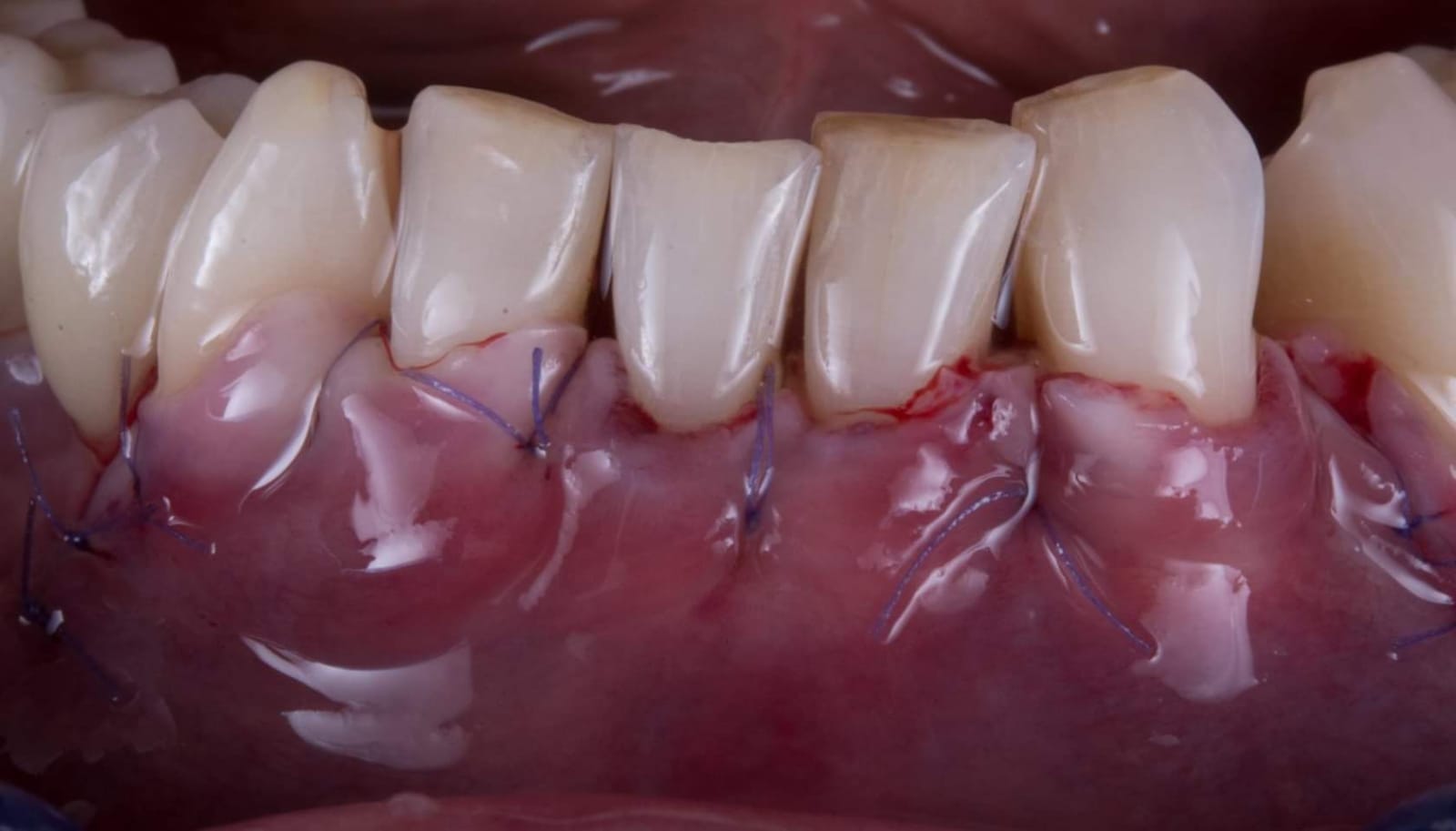
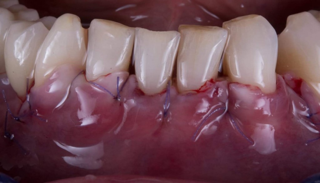
Questa la foto della chirurgia

WhatsApp Image 2019-03-13 at 18.15.31

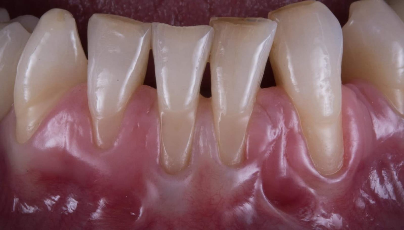
Questa la foto finale…

2

 

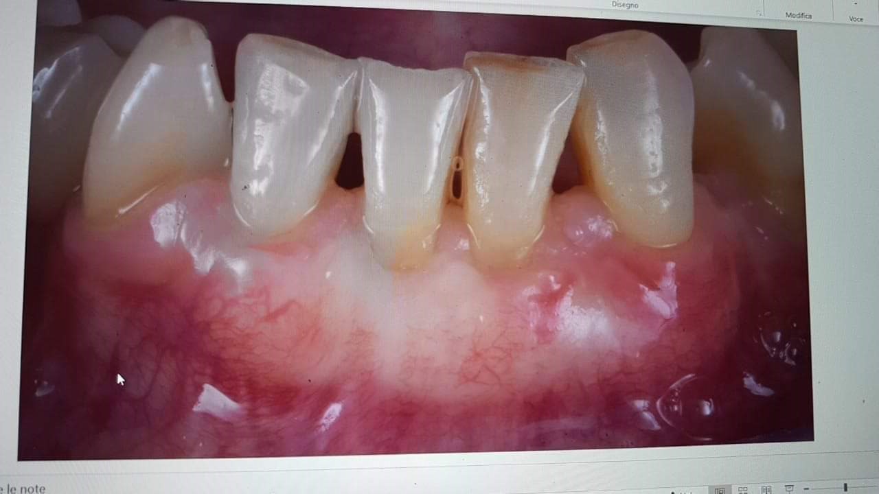
E il follow up a 2 anni che mi hanno chiesto (sorry foto dello schermo fatta con il cellulare ?)

3

 

Nei nuovi commenti comparsi sotto il caso un collega mi ha chiesto come mai di recente avesse visto scomparire la sutura rompi-forze orizzontale, che si era soliti fare alla fine di questi interventi nella zona apicale del lembo. Ho detto a Paolo che gli avrei risposto con un video perché la risposta era articolata e finalmente, rubando il portapenne ai miei figli, ci sono riuscito con un po’ di ritardo!

Ti lascio subito al video… spero che la risposta alla domanda “perché non si usa più la sutura rompi-forze nella chirurgia mucogengivale?” sia abbastanza chiara e completa.

A presto.

 

PS mi permetto di consigliare, a chi fosse interessato all’argomento, di dare un’occhiata al nostro video corso online. Lì non ci sono disegnini, solo video in 4K!

Un pensiero su “VIDEO APPUNTI DI CHIRURGIA MUCOGENGIVALE: RISPOSTA ALLA GENTILE DOMANDA DI PAOLO

  1. Maurizio

    solo chi ha piena conoscenza di anatomia e tecnica chirurgica riesce a spiegare in maniera chiara e completa certi passaggi. bravissimo Federico. (malidetto te! ?)

Lascia una risposta

L'indirizzo email non verrà pubblicato. I campi obbligatori sono contrassegnati *