[video chirurgico] DOPO IL WEBINAR DI LUNEDI’ SALIAMO UN PO’ DI COMPLESSITA': QUANDO VUOI METTERCI ANCHE UN PO’ DI OSSO.

Lunedì sera ho fatto con Erik una diretta Facebook per presentare un caso interessante nel quale abbiamo ricostruito una papilla distrutta a causa di un cratere interdentale.

 

In quel caso abbiamo risolto il problema rigenerando in verticale volume rosa con il semplice utilizzo del tessuto connettivo.

La chirurgia e di conseguenza la soluzione del caso è stata molto semplice.

Non siamo però sempre così fortunati. A volte siamo costretti a mettere mano alle tecniche di rigenerazione ossea.

Magari tra qualche giorno ti posterò qualcosa di avanzato ma voglio procedere per gradi.

Oggi vedremo una semplice tecnica di rigenerazione orizzontale con membrana riassorbibile e una piccola complicazione: un innesto connettivale contestuale per migliorare l’outcame estetico finale.

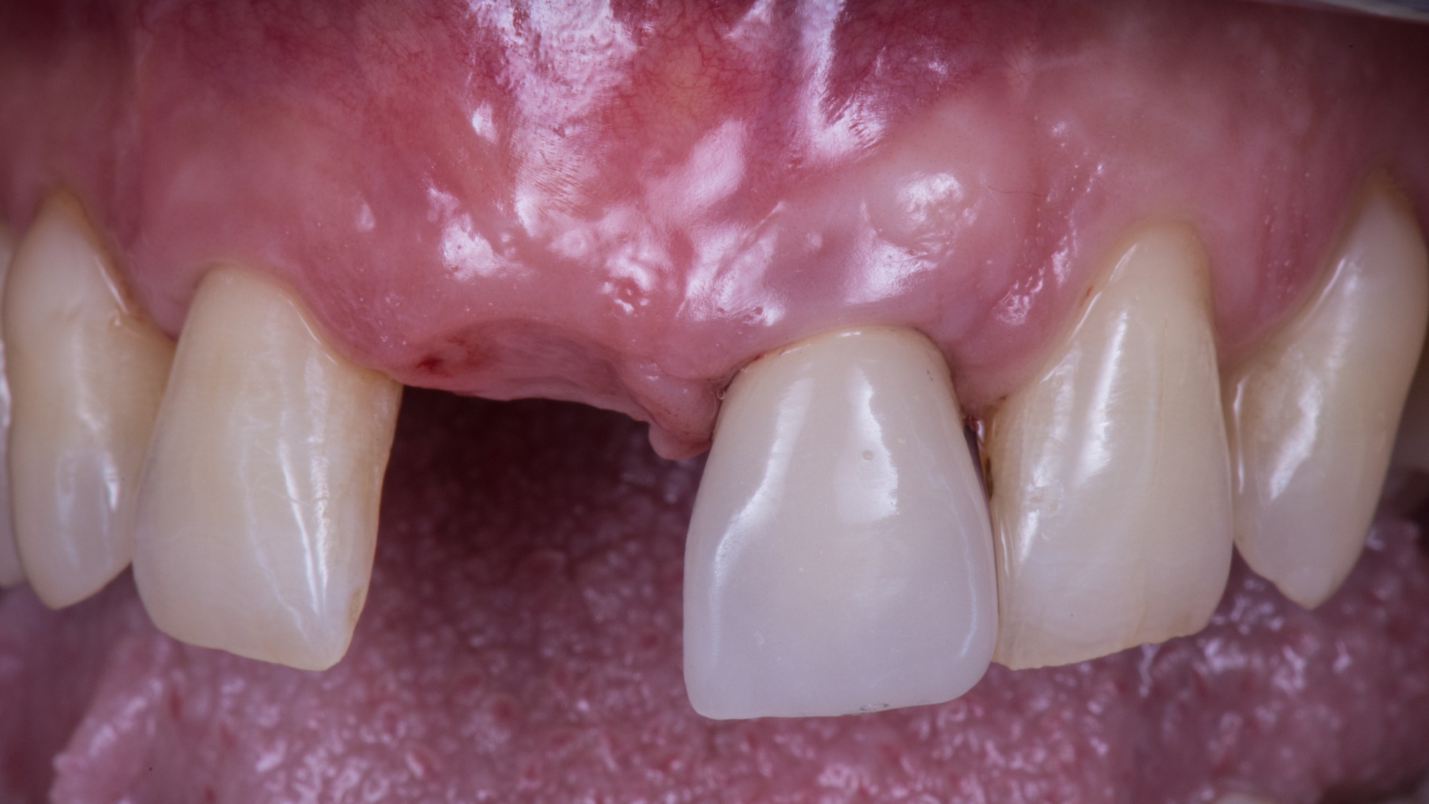
Questa era la situazione iniziale dalla quale siamo partiti:

foto 1

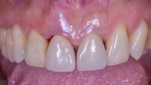
La radice di 1.1 era fratturata vestibolarmente con sondaggio puntiforme fino in apice. Dopo l’estrazione è residuato un discreto difetto osseo orizzontale associato al normale riassorbimento post estrattivo che mi ha portato a questa situazione di concavità esteticamente inaccettabile:

 foto2

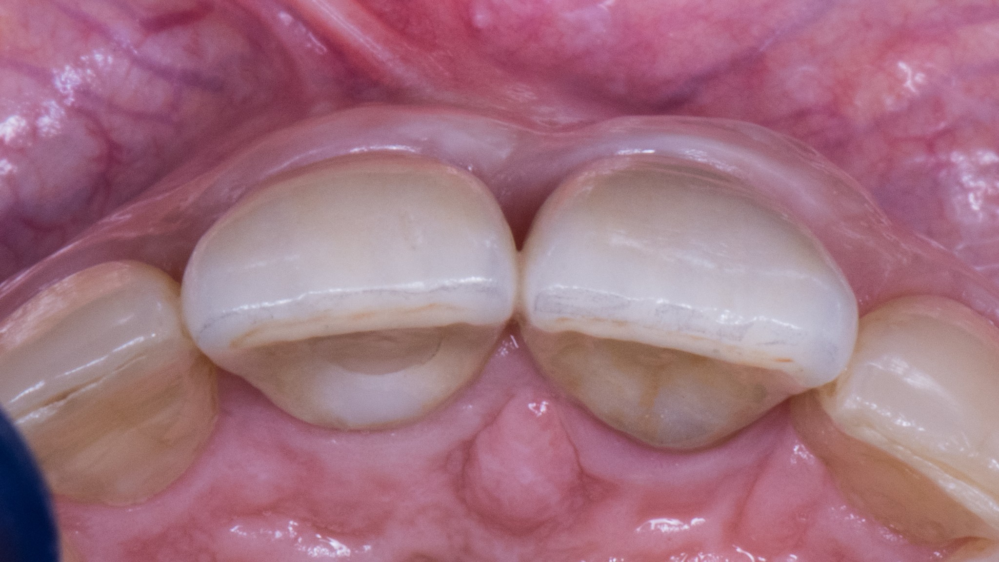
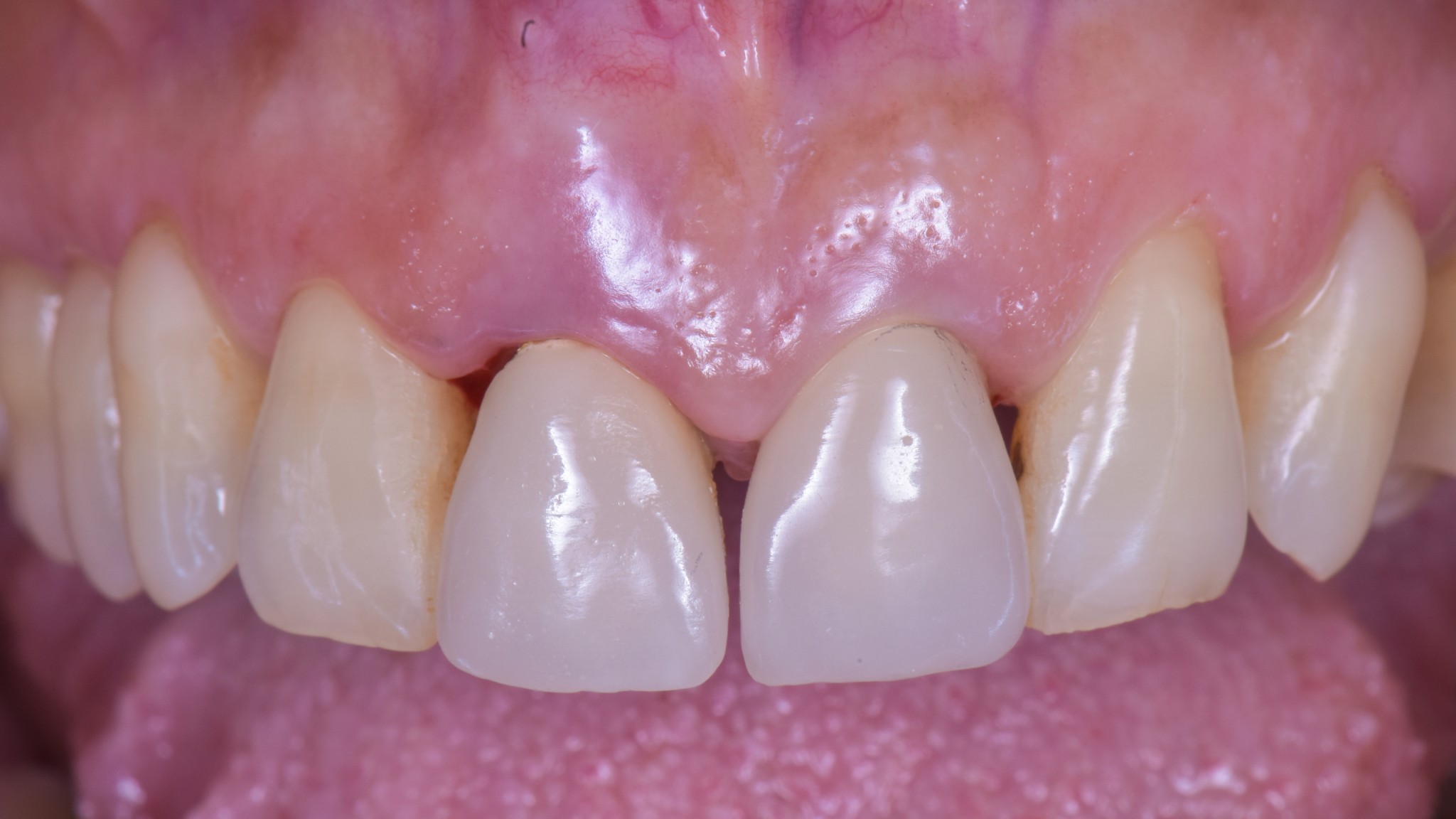
Prima del secondo tempo chirurgico eravamo in questa situazione con i volumi perfettamente ripristinati:

foto3

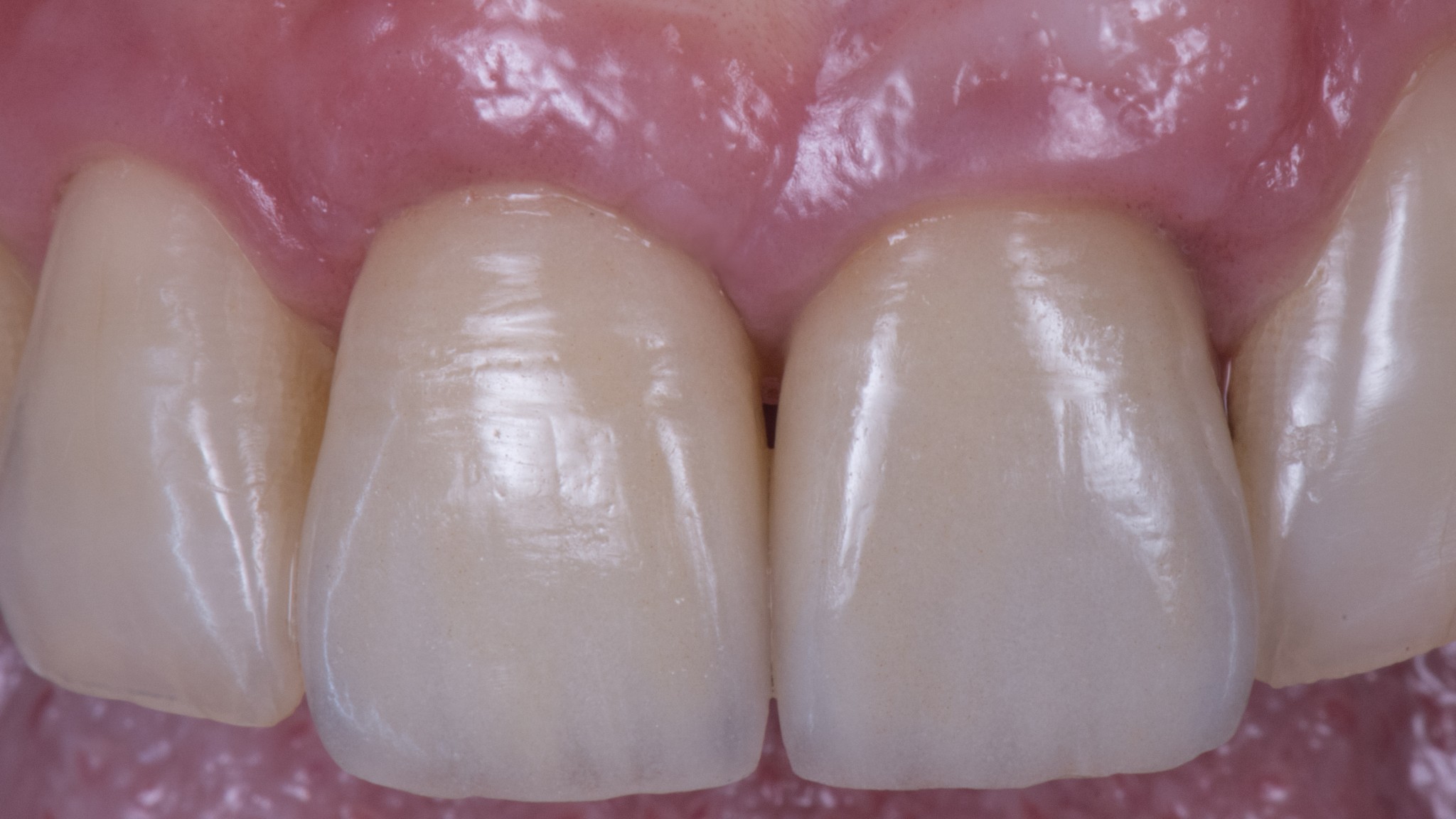
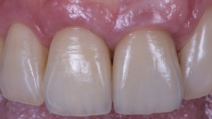
che ci hanno consentito di raggiungere un dignitoso risultato finale:

foto4

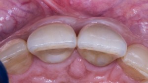
… soprattutto se lo guardiamo da occlusale!

foto5

Ora bando alle ciance, ti lascio al video sperando che tu possa trovare qualche spunto interessante.

#staiacasamanonsmetterediformarti  e ricorda di iscriverti alla newsletter per ricevere i nuovi articoli,

giuro che non ti romperò il cazzo con spam pubblicitari.

A presto

8 pensieri su “[video chirurgico] DOPO IL WEBINAR DI LUNEDI’ SALIAMO UN PO’ DI COMPLESSITA': QUANDO VUOI METTERCI ANCHE UN PO’ DI OSSO.

  1. Michele Recchia

    complimenti per il vostro contributo in questo momento di stasi lavorativa.
    dove posso seguire i vostri webinar? oltre all’implantologia, farete webinar anche altri aspetti della professione?
    grazie
    Michele

    1. Federico Tirone

      Grazie Michele. Sto facendo un corso base di implantologia gratis su un gruppo chiuso il mercoledì sera me è pieno. C’è una nostra diretta di lunedì sera su odontoiatria italia che puoi rivedere e sicuramente ne faremo altre sempre sul gruppo odontoiatria italia.
      A presto

  2. Federico Tirone

    Grazie Michele. Sto facendo un corso base di implantologia gratis su un gruppo chiuso il mercoledì sera me è pieno. C’è una nostra diretta di lunedì sera su odontoiatria italia che puoi rivedere e sicuramente ne faremo altre sempre sul gruppo odontoiatria italia.
    A presto

  3. Alessandro

    Perchè dopo l’estrazione non hai fatto una preservazione dell’alveolo con tecnica ice cone technique visto che la frattura aveva determinato una deiscenza della parete vestibolare?
    Non è una critica eh, il caso l’hai gestito benissimo ugualmente.

      1. Alessandro

        E’ stata pubblicata nel 2014, viene insegnata ai corsi e viene applicata da relatori di fama e che personalmente stimo molto. Poi la trovo semplice, con razionale biologico e anche poco invasiva.

Lascia una risposta

L'indirizzo email non verrà pubblicato. I campi obbligatori sono contrassegnati *