Uno spauracchio di alcuni parodontologi è quello dell’accorciamento del fornice se si esegue un lembo riposizionato coronalmente.
Effettivamente sì, se non lo sai fare potresti incorrere in questo problema… e la zona più a rischio a questo riguardo è senza dubbio la mandibola anteriore (se vogliamo fare i fighi: il quinto sestante ?).
Ma questo ovviamente non vuol dire che non si possa fare. Non vuol dire neanche che non si debba fare.
La chirurgia mucogengivale oggi da risultati sensazionali, predicibili a prezzo di una bassissima invasività.
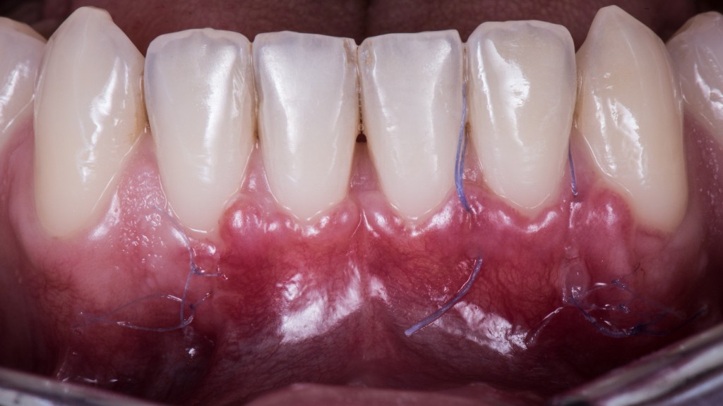
Guarda che bel caso:
Osserva attentamente dove sono le inserzioni muscolari e dove attacca il frenulo. Dicevamo che la zona più merdosa è proprio il quinto sestante perché la mucosa è sempre estremamente sottile ed è l’unico settore anatomico dove c’è un muscolo vero coi controcazzi. Il muscolo mentale.
Se provi a contrarre i muscoletti mimici che trovi nel fornice superiore non ci riesci perché sono insulsi ma se ti metti un dito nel fornice inferiore sotto gli incisivi e corrughi il mento ti rendi conto della roba contro cui devi combattere. Del super malvagio che andrà a tirare sui tuoi punticini 6-0.
Per questo motivo uno dei passaggi fondamentali nell’esecuzione del lembo spostato coronalmente è quello di disinserire le inserzioni muscolari sia dal periostio sia dalla sottomucosa e, in questa zona infame, togliere pure un bel pezzo di muscolo per stare tranquilli.
Quello che ho sempre trovato estremamente difficile in questa zona però è la disinserzione delle fibre superficiali. La tecnica originale prevede infatti prima il taglio delle fibre profonde dal periostio e poi, in secondo luogo, di quelle superficiali dalla sottomucosa. Questo crea qualche difficoltà tecnica. Ti spiego perché:
Eccola la tecnica segreta:
dopo aver scollato a tutto spessore per esporre 3mm di cresta ossea, inizia dalla sezione delle fibre superficiali.
Il semplice fatto di anticiparlo semplificherà di molto questo passaggio e ti permetterà di farlo in maniera più pulita e precisa.
Devi solo fare attenzione perché il lembo si assottiglia moltissimo (il che è bene!) e potresti rischiare di perforarlo.
Bando alle ciance, guardatelo nel video!
Questo, associato alle altre due tecniche segrete di cui parleremo nei prossimi articoli, ti consente di arrivare a 15 giorni dall’intervento in questa situazione:
Ma soprattutto di arrivare a 3 mesi in questa:
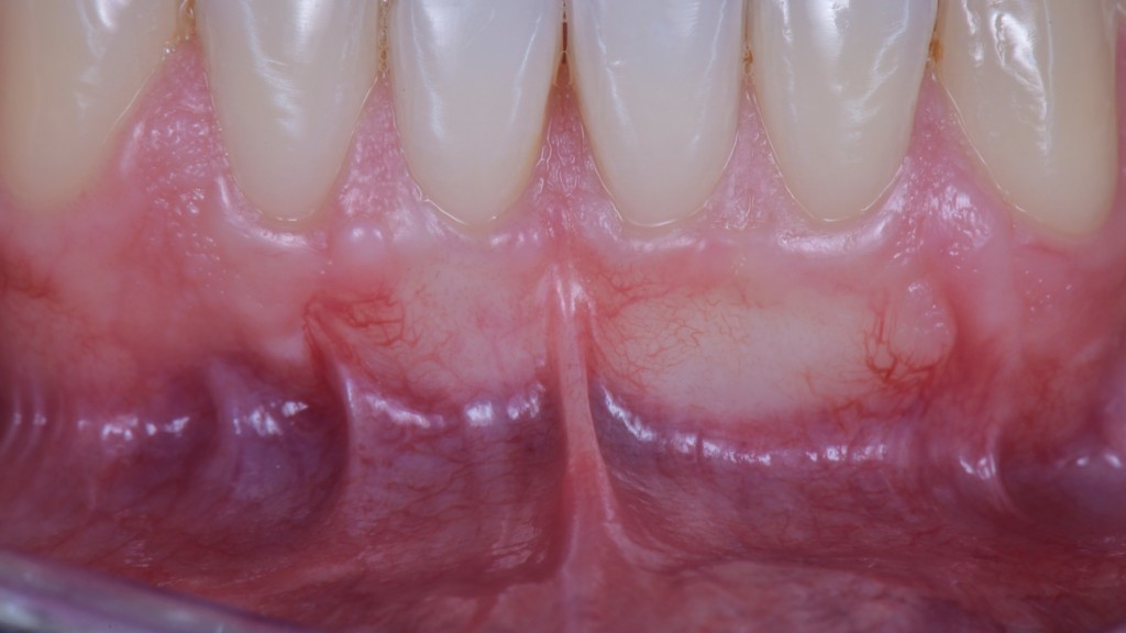
Nonostante lo spostamento coronale di circa 5 mm le inserzioni muscolari e il frenulo sono esattamente nella stessa posizione di prima. Il fatto che ci sia uno slivellamento della linea mucogengivale è un’ovvia conseguenza dell’intervento, quella non la possiamo evitare, ma ci penserà la Natura. Ancora qualche mese e tutto tornerà a posto da solo.
Non si vede bene?!
Hai ragione. Ti faccio un’altra foto:
Le vedi adesso le inserzioni? ?
Se ti interessano questi argomenti e vuoi capirli con video di qualità superiore ti ricordo che puoi comprare il mio corso online.
Più di otto ore di chirurgia commentata.
Già più di 200 colleghi l’hanno comprato.
Puoi vedere qui le loro recensioni.
A presto
Federico



