Vedo ancora molti colleghi che vanno in crisi per casi come questo.😒
Effettivamente ci sono impianti vecchi da rimuovere e l’osso è scarso.
Se però riusciamo a spegnere il cervello, astrarre dalle nostre seghe mentali e applicare procedure standardizzate associate al mio mantra quando ritratto full-arch su impianti (svita, spiana, buca e avvita) le cose si fanno molto più semplici.😉
A volte però a complicare le cose ci si mette la scarsa compliance del paziente che ci impone di correre per chiudere in fretta la chirurgia e questo può indurre anche operatori molto esperti, ad auto-crearsi qualche complicanza che poi deve essere gestita.
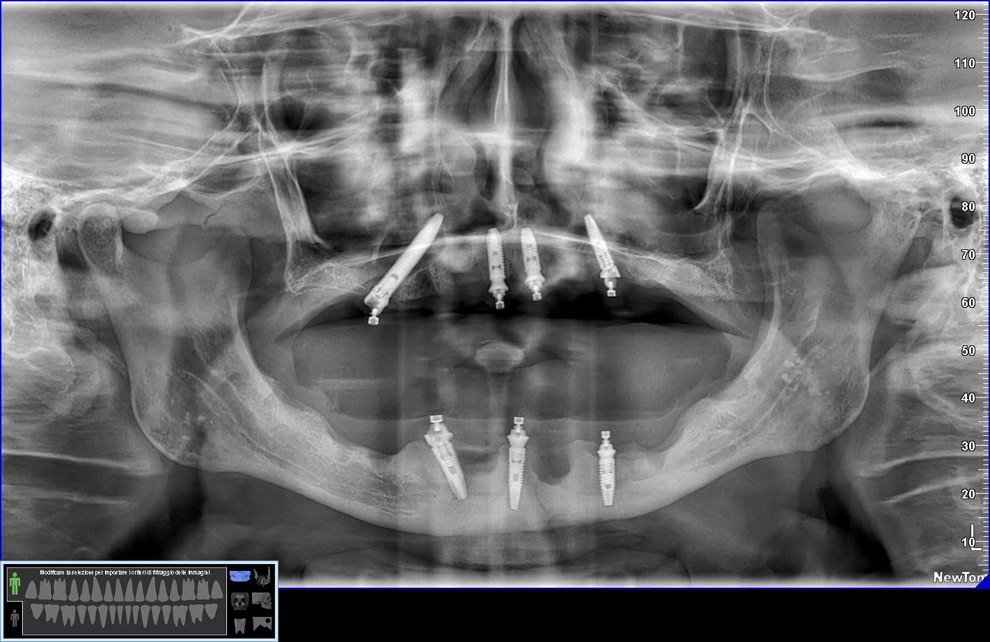
Nel caso di oggi vedremo il posizionamento di un impianto transinusale in questo paziente:
Durante la chirurgia dovrò gestire una perforazione rilevante della membrana del seno.
Ti sembra un paziente semplice?
Guarda la fine del video…😓
Ah… questa è la panoramica finale, inferiormente non ho trovato il modo per mettere 4 impianti ma solo tre… vedremo se aggiungerne uno. E non farti ingannare dall’immagine: il mentoniero di destra non è quello che sembra più distale ma quello meno visibile più mesiale.😎
A presto,
Federico


Nn riesco a vedere questo video
Buongiorno,
se ha problemi di visualizzazione provi a cambiare browser oppure può dipendere dalla gestione cookie…..
GRAZIE
Grande Federico! Sempre disponibile a rivelare i trucchi che fanno la differenza tra chi sa fare chirurgia e chi no. ( i forellini nell’osso per ancorare le suture )
Un fenomeno.
Ma dove è il video?
Buongiorno,
se ha problemi di visualizzazione provi a cambiare browser oppure può dipendere dalla gestione cookie…..