
“Nel mezzo del cammin di nostra vita
mi ritrovai per una selva oscura
ché la diritta via era smarrita”
La mia settimana lavorativa, da sempre, termina il sabato e non il venerdì. Quindi il classico “ultimo caso del venerdì” che è notoriamente sempre incasinato, per me avviene il sabato.
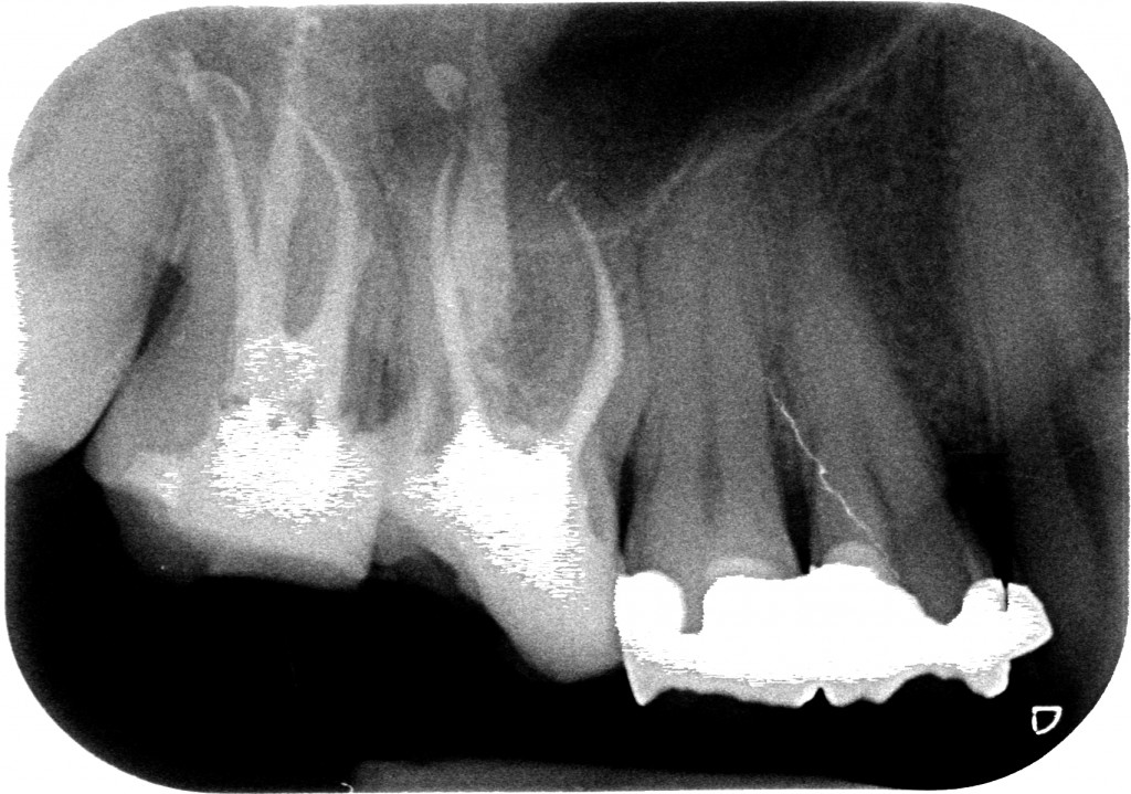
Questo sabato non ha fatto eccezione e mi sono trovato in agenda un ritrattamento di un 1.7 che già dalla radiografia preoperatoria mi ha fatto drizzare le antenne.?
Vedi quel canale mesio-vestibolare? Per esperienza so che quando il dentista che ci ha preceduto è in grado di arrivare in apice su due canali e sul terzo si perde prima della curva di una radice possono essere capitate solo due cose, perchè escludo che sia semplicemente un incapace che non sa fare l’endodonzia:
– ha fatto una falsa strada per colpa di un canale calcificato o per errori nell’apertura della camera pulpare
– ha rotto uno strumento e non è riuscito a passarlo.
In questo caso il paziente mi riferiva che la collega gli aveva detto che in una radice non era riuscita ad arrivare fino in fondo, a conferma che almeno sapeva cosa non stava riuscendo a fare, mentre credo che nella maggior parte delle cure pietose che vedo nelle bocche dei pazienti in prima visita non ci sia proprio il senso di come debba essere una cura canalare corretta da parte dei colleghi che ci hanno preceduti.
Qual è la strategia per affrontare questi casi?
Innanzitutto ragionare prima di correre a ritrattare il dente e spiegare al paziente cosa ti aspetti di trovare e le difficoltà che potrebbero esserci. Se infatti non riuscissi a far meglio del collega che ti ha preceduto potresti trasformare in un “successo” percepito dal paziente anche il tuo insuccesso.
Mi spiego meglio.
A questo paziente ho detto: “Allora, questo dente potrebbe presentare delle difficoltà in una radice. Vede che in questa radice il materiale bianco che si vede in radiografia che dovrebbe arrivare in fondo al dente come nelle altre due radici (e nel mentre indico le radici sul monitor della sala) arriva solo fino a metà della radice? Il problema è che quando il dentista si ferma prima di una curva importante (e indico l’andamento della radice mesio-vestibolare) potrebbe aver forato la radice o comunque indirizzare noi a farlo, mandandoci per la tangente, o potrebbe aver rotto uno strumentino di quelli che usiamo per percorrere i canali nervosi del dente non riuscendo più a superarlo e ad arrivare in fondo alla radice. Adesso vediamo se col microscopio riusciamo a capire cosa è successo…Poi magari arriviamo subito in fondo alla radice e mi sono solo fasciato la testa prima di essermela rotta…Il problema è che l’infezione che c’è sotto il dente probabilmente deriva proprio da quella radice e se non riusciamo a venirne a capo rischiamo di dover fare un intervento chirurgico per rimuovere la lesione che c’è sotto il dente…”
A questo punto il paziente ha capito che il lavoro potrebbe essere difficile, percepisce che sai cosa stai facendo e ti sei parato il sederino da un eventuale insuccesso. Del resto il casino, se c’è, non l’hai fatto tu e sei solo chiamato ad analizzarlo e provare a risolverlo. I trattamenti canalari hanno la loro minima difficoltà nel dente vergine. Quando al primo tentativo non si riesce a completare al meglio la cura, al secondo tentativo con guttaperca o altri materiali tra le scatole, calcificazioni peggiorate nel tempo, eventuali strumenti rotti o false strade, le cose non possono che complicarsi ed è giusto che il paziente sappia che stiamo cercando di risolvere i casini fatti da altri, con più difficoltà di quelle che ha trovato il collega al primo tentativo.
Ora bisogna chiedersi se sia sufficiente solo la rx preoperatoria o serva una Cone Beam.
Io personalmente eseguo una CBCT preoperatoria in casi in cui sospetto la presenza di canali supplementari o per trattare i riassorbimenti esterni. In questi casi mi aiuta a trovare subito a colpo sicuro quel che devo cercare.
Ma in un caso come questo non serve a nulla perchè la guttaperca presente nei canali crea artefatti e comunque vedere che la guttaperca si ferma sul contorno della radice non ti aiuterà necessariamente a risolvere la situazione. Inoltre nulla ci dice che non si passi subito senza difficoltà, nel qual caso avremmo solo irradiato per nulla il paziente.
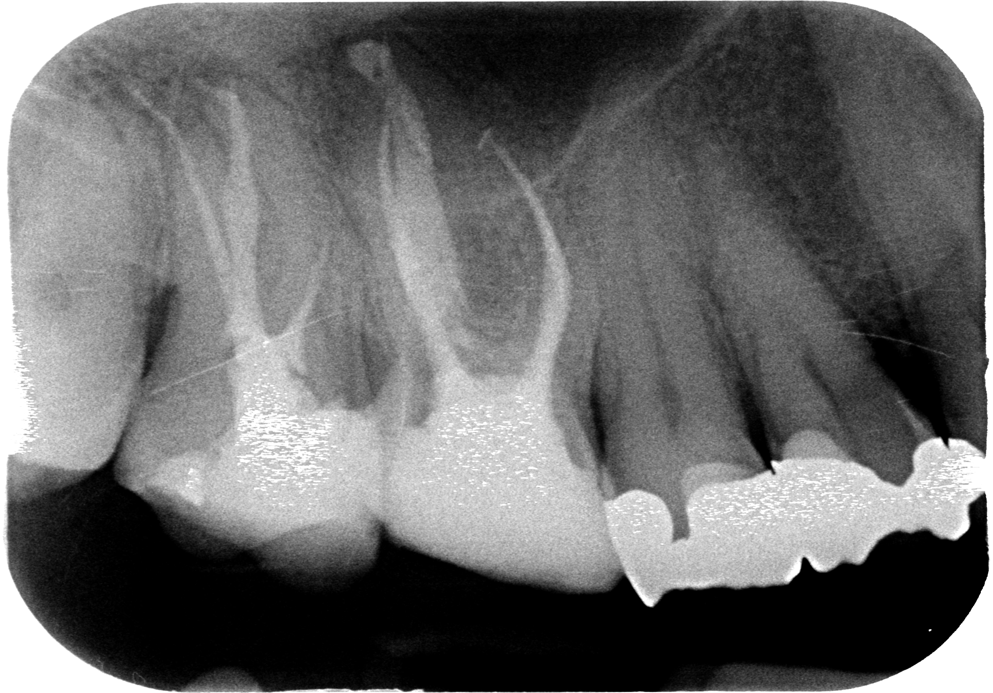
Allora è il momento di iniziare il ritrattamento.
Canale palatino: semplice.
Canale disto-vestibolare: semplice.
Canale mesio-vestibolare: muro.⛔
Provo a correggere l’asse di apertura del dente. Niente.
Verifico se quello trovato non sia magari un quarto canale e il punto di blocco una confluenza a 90 gradi con un canale MV che non fosse proprio stato trovato. Sempre tenere acceso il cervello e pensare a tutto, ricorda. Ma niente.
Prendo una punta ultrasonica endodontica come quella qui sotto.
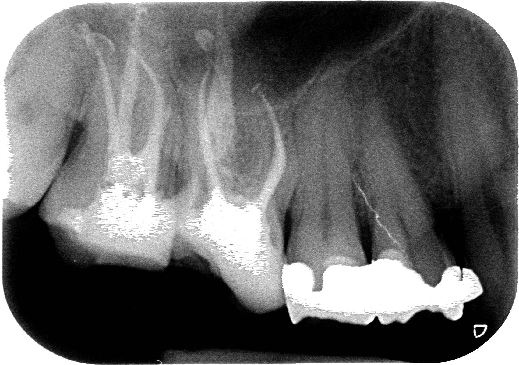
Cerco di allargare un po’ il canale per capire se c’è uno strumentino rotto allargandomi nelle mie intenzioni verso distale, dato che la curva è in quel verso e spesso capita che semplicemente l’accesso al canale non fosse stato rettificato costringendo i file a sbagliare strada. Dopo questa manovra, spingo un po’ di più, sento di colpo un vuoto e dico al paziente: “ok, vediamo se ci siamo o se siamo finiti dritti come temevo”. Metto il rilevatore d’apice e mi suona a 12 mm al posto dei 20 rilevati sugli altri canali.
“Ok, come temevo è molto probabile che siamo finiti fuori strada, facciamo una piccola lastra di verifica per capire dove siamo andati…”
Ed ecco la rx.
A questo punto il paziente non si preoccupa perchè si è verificato esattamente quello che avevi previsto e capisce che la situazione è difficile ma sai cosa stai facendo.
Sapendo che sono andato dritto mesialmente mi dimentico di quella via e con gli ultrasuoni mi creo un piccolo pozzetto in direzione distale. Faccio un paio di volte qualche tentativo con ultrasuoni e poi file, ma nulla. Ok, questo è il momento di capirci qualcosa in più perchè non possiamo rischiare di trasformare la radice in un groviera.
“Adesso le faccio fare una scansione tridimensionale del dente perchè è il momento di capire dove siamo andati, se c’è o non c’è il canale, come curva la radice e anche se la lesione deriva da quella radice, perchè se verificassimo che il canale non esiste più perchè completamente calcificato e che sotto la radice non c’è alcuna infezione, potrebbe non essere un problema chiudere la falsa strada e fermarsi”.
Le spiegazioni sono logiche e il paziente comprende che abbiamo una strategia precisa. In più non ha mai visto un dottore che lavora con un microscopio e che ha tutti questi mezzi diagnostici a disposizione. Probabilmente ricorda una dentista senza nemmeno un occhialino ingrandente che si è arresa dopo 10 minuti in un bagno di sudore.
Adesso abbiamo la tac e la commentiamo assieme.
Ripreso il lavoro, con la stessa punta endodontica che ho usato in precedenza mi allargo da dove avevo creato il pozzetto esplorativo in direzione disto-palatina. Teoricamente senza scendere troppo dovrei trovare un canale bello pervio. 15 secondi con la punta endodontica. Prendo un file…Sento cedere…Batticuore…Attacco il rilevatore…Salgo, 12 mm, 14 mm, 16 mm…19 mm! Dlin dlin dlin! Grande! A questo punto sono sicuro che sia il canale giusto, visto che misura quanto il disto-vestibolare, e ne riesco a percepire la curvatura disto-palatina che mi aspettavo.
Il paziente e noi tiriamo un sospiro di sollievo. Dopo questo tentativo per il paziente si apriva lo spauracchio dell’apicectomia che non avrebbe voluto fare e che io stesso avrei faticato a praticare per la posizione sfavorevole.
Non faccio nemmeno la rx di verifica di essere nella radice. Il paziente è già stato irradiato abbastanza per oggi.
Decido che la falsa strada è così piccola da essere consideraabile alla stregua di un canalino laterale perfettamente disinfettato e quindi affidabile alla chiusura con la guttaperca che metterò nel canale MV.
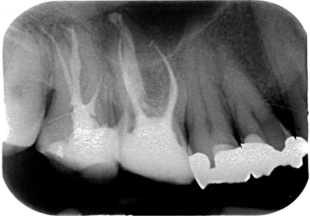
Strumento, irrigo e chiudo con Thermafil.
Voilà.
Per prendermi la meritata soddisfazione attendo col paziente che Anna, la mia assistente, vada a sviluppare la rx finale per vederla assieme.
E il risultato parla da solo e lo capisce anche il paziente, che ha capito di essere il buone mani. Ha trovato un professionista di cui sa di potersi fidare e percepisce anche il valore economico della terapia come giusto, viste le due ore impiegate e le attrezzature, le competenze e le abilità dimostrate.
Tiriamo le conclusioni del racconto.
Prima di buttarti a capofitto in un ritrattamento analizza sempre bene cosa ha sbagliato chi ti ha preceduto e le difficoltà a cui potresti trovarti a dover far fronte. Parlane col paziente. Stabilisci una strategia e rispettala.
Poi un consiglio. Un caso del genere puoi ipotizzare di portarlo a casa con occhialini e luce coassiale, ma, credimi, è difficile, anche se possibile. Lo potrebbe fare un esperto abituato da anni ad operare col microscopio. Non un inesperto che utilizza l’occhialino da poco e che fa poca endodonzia.
L’endodonzia avanzata va fatta con il microscopio e con la Cone Beam. Se non disponi di queste tecnologie e l’endodonzia ti piace, fai in modo di procurartele.
Se non puoi permettertele o non hai voglia di impazzire con questi casi, fai un favore al paziente, invialo a un endodontista al massimo quando arrivi a fare la prima falsa strada e non metterti a provare a fare l’eroe a spese del paziente o, peggio, a scippare il dente e mettere un impianto ingannando il paziente sul fatto che tanto quel dente non poteva più essere recuperato per colpa di chi lo ha trattato la prima volta.
Se sai cosa devi cercare e lo vedi prima con la Cone Beam e poi col microscopio, questi casi sono complessi, ma non difficili. E soprattutto possono e devono essere risolti senza ricorrere all’estrazione.
Alla prossima!
Stefano




Ciao, scusa la domanda ma nel caso in oggetto a cosa ti è servito il microscopio dato che le informazioni sul canale e la falsa strada le hai avute solo grazie alla cbct e nel canale con gli ultrasuoni hai, per tua stessa ammissione, lavorato alla cieca?
per carità, non discuto l’importanza del microscopio, era solo per capire, nel caso in oggetto, in cosa abbia fatto la differenza
grazie
Ciao, Alessandro! Forse mi sono spiegato male, perché non utilizzo punte ultrasoniche tipo Pro Ultra o Endo Success senza microscopio! In un canalino del genere devo vedere dove appoggio la punta e poter analizzare cambiamenti nel colore della dentina, eventuali microsanguinamenti, presenza di strumenti rotti, ecc. L’occhialino dopo il terzo coronale della radice e anche in quello è nettamente inferiore al microscopio! E per riuscire a lavorare in ambienti così stretti è praticamente indispendabile! Ciao!
Ciao! Vorrei chiedere un consiglio riguardo lo scattering della guttaperca alla CBCT.
Ho un caso di un 26 già trattato endodonticamente che alla rx periapicale appariva con chiusure in apice e non si evidenziavano radiotraparenze apicali, la paziente però accusava dolore alla masticazione pertanto, dopo aver escluso problematiche parodontali, ho provveduto ad effettuare una CBCT in quanto sospettavo la presenza di un MB2 non trattato.
Tale canale lo vedo alla CBCT nel terzo apicale della radice, inoltre si evidenzia una radiotrasparenza a carico della radice mesiale.
Nel terzo coronale della radice mesiale però non riesco a vedere l’MB2, o meglio, vedo accanto alla guttaperca del canale MB1 un area nera che però credo sia data dallo scattering.
Ho iniziato il ritrattamento con microscopio, non riesco a trovare questo MB2.
La domanda è: è giustificata secondo te una seconda esposizione per fare un’ulteriore CBCT ora che ho rimosso la guttaperca dal MB1 e quindi evitando lo scattering dovrei riuscire a vedere meglio l’MB2?
Avrei dovuto fare CBCT direttamente dopo la rimozione della guttaperca a ritrattamento già iniziato?
Abbiamo un volume 8×5, abbastanza piccolo.
Grazie per il confronto, cerco di non accettare mai compromessi. Fortunatamente abbiamo le migliori tecnologie in studio che ce lo permettono.
Anna Bressan, odontoiatra Verona
Ciao, per mia esperienza le cose da fare sono 2. Se sai di avere nelle mani una endodonzia dove una nuova cbct che ti faccia capire dove hai scavato finora e come devi correggere asse e profondità per farlo allora fai una cbct. Sicuramente senza gutta vedi meglio ma in ogni caso dopo aver scavato 3-4 mm serve avere un nuovo “flash” per capire se stai per perforare mesiale o distale. Se la si fa sapendo che tanto non ci si fida più a scendere allora lascia perdere e passa alla chirurgia endodontica.
Ciao