L’APPROCCIO ESCLUSIVAMENTE PALATINO.
Ho già parlato in precedenza dell’ allungamento di corona clinica ma te ne voglio parlare nuovamente perché è un intervento che nello studio dentistico si fa in continuazione.
Oggi voglio farti vedere una variazione della tecnica.
Dell’università ricordo poco o nulla, certo ne conservo la preparazione di base, ma informazioni singole, ben precise, stampate in testa ne ho poche. Una di queste, però, mi risuona nella mente molto chiara. Ricordo come fosse oggi che ho inseguito il professore di endodonzia fino alle macchinette del caffè e gli ho posto la mia domanda per esserne proprio sicuro… e lui mi ha risposto:
“quando si ricostruisce un dente posteriore devitalizzato bisogna ricoprirne le cuspidi”.
Punto fermo della mia odontoiatria di base.
Lo so che se le pareti hanno un determinato spessore (mi sembra 3mm) si può non proteggere in quella zona. Ma di questo non mi metto a discutere perché non è assolutamente la mia materia.
Io sono un chirurgo e mi basta la mia informazione schematica di base:
DENTE DEVITALIZZATO>>>PROTEZIONE DELLE CUSPIDI
“Sì ma lo sappiamo tutti! Hai scritto 13 righe per dirmi una cosa ovvia che sanno tutti!”
Il problema è che nella nostra pratica quotidiana vediamo in continuazione denti posteriori trattati endodonticamente FRATTURATI.
Almeno 2 pazienti a settimana arrivano in urgenza con una frattura coronale che spesso si estende alla radice.
Non so perché, non lo so veramente, ma una miriade di colleghi continuano a devitalizzare i denti e poi farci sopra un’otturazione. LA MAGGIOR PARTE DELLE VOLTE lasciando il materiale della vecchia otturazione presente e “tappando” solo la cavità d’accesso.
Io e Stefano nelle bocche dei circa 9000 pazienti nuovi visitati negli ultimi sei anni avremo visto sì e no 30 onlay/overlay. In tutte le altre centinaia e centinaia di denti devitalizzati o CORONA (più raro) o OTTURAZIONE senza protezione delle cuspidi. Spesso con 2 o 3 materiali diversi nello stesso dente (quattro quando c’è anche il perno dentatus!!!).
Eccolo qua:
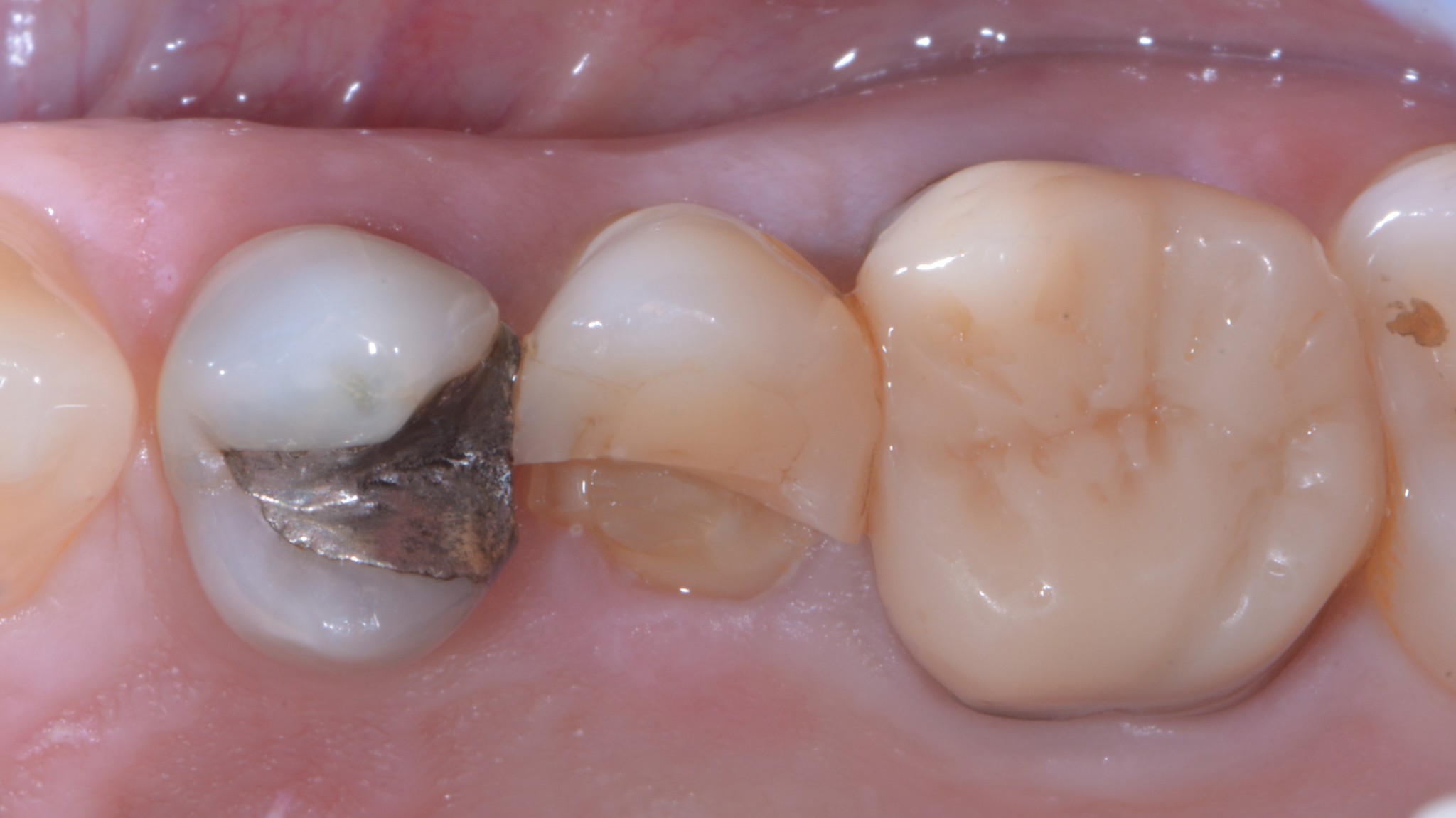
L’intarsio su 2.6 è nostro (la cura canalare no!! Non ritrattato perchè non c’era lesione…).
Guarda l’incriminato: trattato endodonticamente, posteriore, NON PROTETTO e … otturato con 3 compositi diversi. Uno mesiale, uno distale uno per il buco della “canalizzazione”!
Cosa ti aspetti da un dente così? Io mi chiedo cosa si aspettasse il collega che lo ha fatto.
Te lo dico io cosa si aspetta:
“Io faccio sempre così è non se ne è mai rotto uno.”
In verità caro mio si rompono quasi tutti ma i pazienti da te non ci ritornano e quindi non li vedi.
Ecco cosa succede:
Frattura coronale complicata con margine di frattura sottogengivale di almeno tre millimetri.
Spesso capita che i premolari e i molari superiori si fratturino dal lato palatino. In questi casi possiamo eseguire un allungamento che si limita a quell’aspetto in modo da preservare l’estetica vestibolare pur mantenendo l’imprescindibile condizione di un’anatomia positiva della festonatura gengivale.
Eccoti un video totalmente gratuito che spiega questa tecnica.
Se ti piace il video iscriviti alla nostra newsletter per rimanere sempre aggioranto.



Ragazzi, per favore che strumento è precisamente quello con cui rifinite l’osso al settimo minuto?
Gentilissimo Dr. Iannaccone, lo strumento è il seguente: STOMA 12837.00 – SCALPELLO RHODES 36/37. E’ acquistabile dal sito della Nike.
A disposizione.
Cordiali saluti,
Michela.