COSA DIAVOLO E’ QUESTA GESTIONE DEI TESSUTI MOLLI?

Il nostro collaboratore Lodovico è solito approfittare di me nei corridoi per risolvere tutti i dubbi che gli sorgono dopo un corso, quasi come se fossi Morla, la tartaruga Millenaria della Storia Infinita.

gestione tessuti molli - Morla

Un mesetto fa, di ritorno da un qualche corso, mi ha chiesto con tono ironico:

“Ormai a tutti i corsi dicono che il difficile non è mettere gli impianti ma la corretta GESTIONE DEI TESSUTI MOLLI. Si può sapere cosa diavolo si intende per GESTIONE DEI TESSUTI MOLLI? Prendi il lembo e lo allunghi sai che roba difficile….!” ?☝

Effettivamente quello della gestione dei tessuti molli è un concetto che potrebbe essere complesso da comprendere perché veniamo da una cultura implanto-protesica per la quale, fino a pochissimi anni fa, il challenging goal era riuscire a mettere l’impianto e farlo stare attaccato.

Se l’osso non c’era bisognava in qualche modo metterlo e per coprire l’osso che mettevamo serviva allungare la coperta.

Quindi, nell’immaginario di oggi

GESTIONE DEI TESSUTI MOLLI - FALSE CREDENZE

Il massimo della goduria era saper allungare il lembo linguale. Pensa che il mio primo maestro, al mio primo corso di implantologia 12 anni fa, mi disse:

“il lembo linguale non si scarica più perché è troppo pericoloso!!” ?

Adesso sappiamo che il lembo linguale lo possiamo allungare senza alcun rischio e in maniera estremamente semplice, sappiamo che le tecniche ricostruttive, per quanto difficili, funzionano e abbiamo a disposizione impianti corti che, anche loro, funzionano.

Diciamo che anche se l’impianto lo mette Topo Gigio oggi ha più del 90% di probabilità di stare su (se lo mette uno bravo più del 98%) quindi il goal DEVE ESSERE SPOSTATO IN AVANTI!!!

Torniamo alla domanda di Lodovico. La mia risposta è stata

“Guarda questa lastra, cosa ne dici? Sta bene questo impianto?”

gestione dei tessuti molli -rx

PERFETTO direi io, neanche un po’ di riassorbimento. Credo che tu sia d’accordo con me.

La signora Rosetta ha finito questo lavoro dal suo vecchio dentista esattamente 6 mesi fa. Appena messo la corona definitiva ha iniziato a lamentarsi di un fastidio continuo. Il collega, non so in base a quale presupposto teorico, ha rimosso il definitivo e rimesso il provvisorio.

Sintomo invariato, Rosetta continuava ad avere fastidio. Al che il collega, che non ho la più pallida idea di chi sia, ha attuato la TECNICA DELLE TECNICHE… che ho visto impiegare più volte e in molti studi nella mia giovanile carriera di marchettaro:

“Signora qui è tutto a posto, non so cosa dirle, lei non ha nulla”

gestione dei tessuti molli - provvisorio Rosettagestione dei tessuti molli - iniziale 2

Facciamo per una volta il professionista serio e posato come alcuni colleghi mi suggeriscono caldamente dopo aver letto i nostri articoli.

All’esame obiettivo si evidenziano:

  • Fistola in sede vestibolare all’elemento 2.2 supportato da impianto
  • Risultato estetico… (chiedo scusa ma qui devo tornare me stesso) di merda!

E non mi si venga a raccontare la storiella del “tu non puoi giudicare perché non sai quale fosse la complessità del caso” perché fino ad un anno fa in quella sede la paziente aveva il suo dente che è stato tolto e sostituito con un impianto perché si era decementata una vecchia corona e l’elemento era stato giudicato irrecuperabile da punto di vista conservativo. Quindi è stato fatto un impianto post-estrattivo di un dente con parodonto sano. Posso affermare con ottimo grado di certezza che le cose difficili sono altre!!

Ecco qua caro Lodovico, un impianto che mastica ottimamente, con una buona salute dell’osso di supporto (dopo ti spiego da cosa era causata la fistola), che riempie egregiamente il “buco” lasciato dall’estrazione ma con UNA GESTIONE DEI TESSUTI MOLLI DRAMMATICAMENTE PESSIMA!

“Hai capito ora Lodovico cosa si intende con gestione dei tessuti molli?”

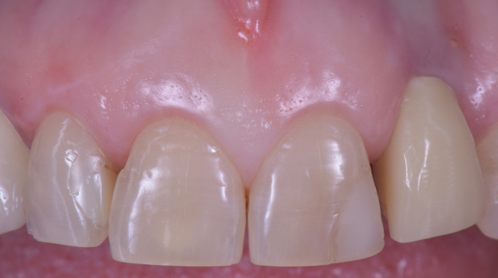
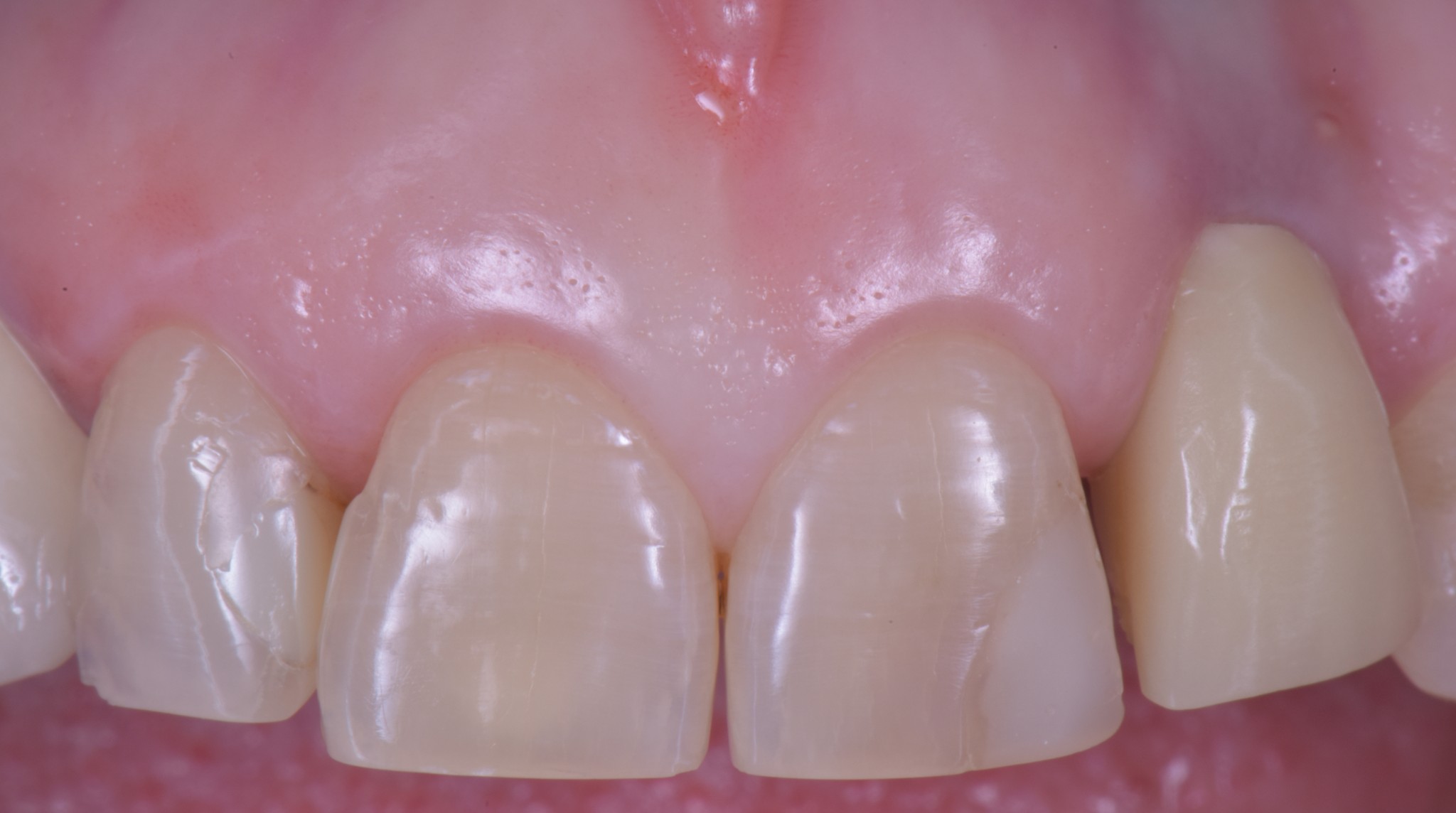
Un dente su impianto oggi ha la possibilità di avere questo aspetto

gestione dei tessuti molli - esempio premolare

O questo, se vuoi un esempio frontale.

gestione dei tessuti molli - esempio frontali

Soprattutto se si parte da una condizione tissutale ottimale.

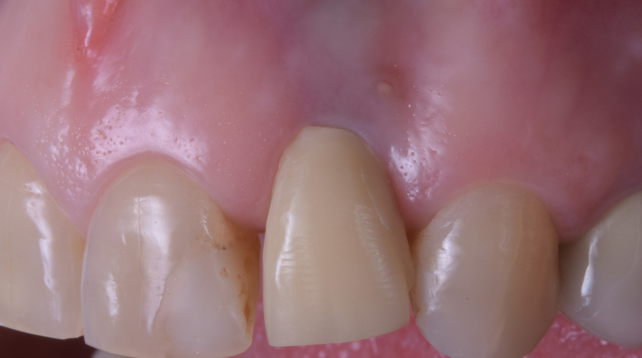
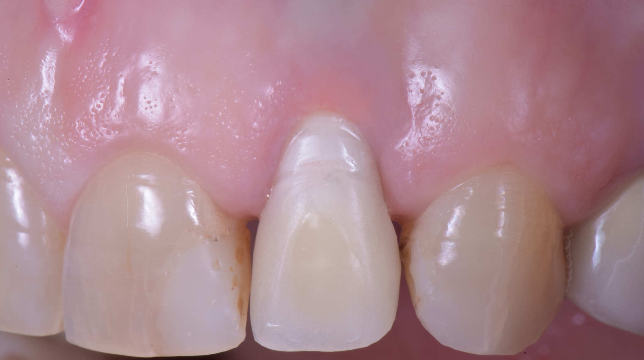
Ma torniamo alla fistola di Rosetta. I tessuti molli non devono essere rispettati e gestiti solo in fase chirurgica ma anche in fase protesica. Se il tuo rispetto della biologia è quello che vedi qua sotto, una fistola sarà la cosa meno grave che ti potrà capitare.

gestione dei tessuti molli - moncone ruvido 1

gestione dei tessuti molli - moncone ruvido 2

Osserva:

  • La rifinitura del moncone.
  • La pulizia del moncone nella zona a stretto contatto con l’osso.
  • La precisione del provvisorio.
  • L’invasione dei tessuti da parte del margine di preparazione con impossibilità assoluta di gestire l’interfaccia di cementazione.

Al massimo poi puoi usare la TECNICA DELLE TECNICHE… il problema è che dopo un po’ il paziente, che non è scemo, ti molla e cerca qualcuno che quel problema glielo sa risolvere.

La fistola ed il fastidio persistente di Rosetta li risolviamo in pochi giorni con una riabilitazione provvisoria adeguata.

gestione dei tessuti molli - risoluzione della fistola
E quando il tessuto gengivale è di nuovo sano risolviamo il problema estetico. Con un intervento che mi ha richiesto un’oretta solo perché ho dovuto fare una ripresa sensazionale in 4K dove si vedono pure le cellule, ma se mi fossi accontentato di qualche foto ci avrei messo poco più di mezz’ora. Questo non perché io sono veloce ma perché è una chirurgia smart, una chirurgia poco invasiva.

corso gestione tessuti molli - guarigione 1

corso gestione dei tessuti molli - guarigione 2

Ti mostro la foto a sette giorni per due motivi.

  • La bellezza di una chirurgia si valuta dalla guarigione a sette giorni. Se aspetti 2 anni, alla fine anche una chirurgia di merda guarisce.
  • Ho operato la paziente 7 giorni fa e non ho foto più recenti ma penso che concorderai con me che dopo una guarigione così difficilmente avremo delle sorprese.

Come puoi vedere abbiamo risolto completamente il deficit dei tessuti molli che era stato lasciato dopo le precedenti terapie e…

… posto le basi per una nuova riabilitazione definitiva che si possa definire esteticamente degna dei tempi in cui abbiamo la fortuna di vivere.

Ora, se sei un esperto di gestione dei tessuti molli ti ringrazio di essere arrivato fino qui, ora puoi cliccare sul riquadro rosso con la crocetta che vedi in alto a destra. Se ancora non lo sei hai una scelta:

  • Puoi diventare esperto nella “TECNICA DELLE TECNICHE” imparando a raccontarla ai pazienti per vedere poi che questi cominciano ad involarsi come le rondini in autunno oppure…
  • Puoi diventare un drago nella gestione dei tessuti molli imparando i concetti fondamentali che puoi trovare nel mio corso online (PS: la scritta è colorata perché ci devi cliccare sopra!?)

Ma fammi elencare cosa troverai nel corso:

  • solo video chirurgici commentati che ti spiegano tutti passaggi necessari delle varie tecniche mentre vedi come si eseguono in pratica

 

  • solo video in alta definizione con la giusta inquadratura

 

  • la tecnica per allungare il lembo linguale in pochi secondi e senza alcun pericolo

 

  • le tecniche di rilascio dei lembi vestibolari sia mandibolare sia mascellare da utilizzare in chirurgia ricostruttiva

 

  • tutte le bugie che ti hanno sempre raccontato sui prelievi di tessuto connettivo e tutte le tecniche giuste da usare oggi

 

  • il protocollo di gestione degli impianti postestrattivi per evitare che i tuoi pazienti facciano la fine di Rosetta. Alcuni ancora non sanno che la cresta dopo un’estrazione si riassorbe anche se ci metti subito l’impianto!!!

 

  • Tutte le tecniche che ti serve conoscere per la copertura delle recessioni gengivali

 

  • Tutte le tecniche che funzionano per l’aumento del tessuto cheratinizzato intorno agli impianti

 

  • Come fare a ricostruire un’anatomia gengivale corretta compresa di papille anche in siti posteriori

 

  • Insomma, in assoluto tutto ciò che ti serve per dare ottimi risultati estetici ai tuoi pazienti e soprattutto per non fare i casini che hai visto in questo articolo

 

Cosa NON troverai nel corso:

  • la mia brutta faccia mentre ti spiego concetti teorici e decontestualizzati

 

  • slide con schemini, grafici e letteratura

 

  • campi operatori pieni di sangue incrostato dove non si capisce niente

 

  • inquadrature storte

 

  • inquadrature ampie dove vedi tutta la faccia del paziente ma non capisci cosa succede in bocca

 

Se sei uno preciso che vuole sapere tutto prima di acquistare qualcosa puoi ancora leggere il programma del corso e vedere un breve video introduttivo tratto dalle lezioni del corso cliccando QUI.

“ E il video dell’intervento di Rosetta?”

Quello lo troverai, insieme a tutte le fasi protesiche nel corso avanzato che sto preparando e che pubblicheremo tra qualche mese. Ora è tempo di iniziare a stravolgere la tua chirurgia.

Vai al corso e dacci dentro!

 

COMPRA SUBITO IL CORSO

 

 

 

 

 

3 pensieri su “COSA DIAVOLO E’ QUESTA GESTIONE DEI TESSUTI MOLLI?

Lascia una risposta

L'indirizzo email non verrà pubblicato. I campi obbligatori sono contrassegnati *