COSA DIAVOLO E’ QUESTA GESTIONE DEI TESSUTI MOLLI – ATTO SECONDO

Ieri ho proposto un sondaggio su alcuni gruppi facebook. I risultati mi serviranno per preparare una conferenza che dovrò tenere tra qualche settimana sulla gestione dei tessuti molli.

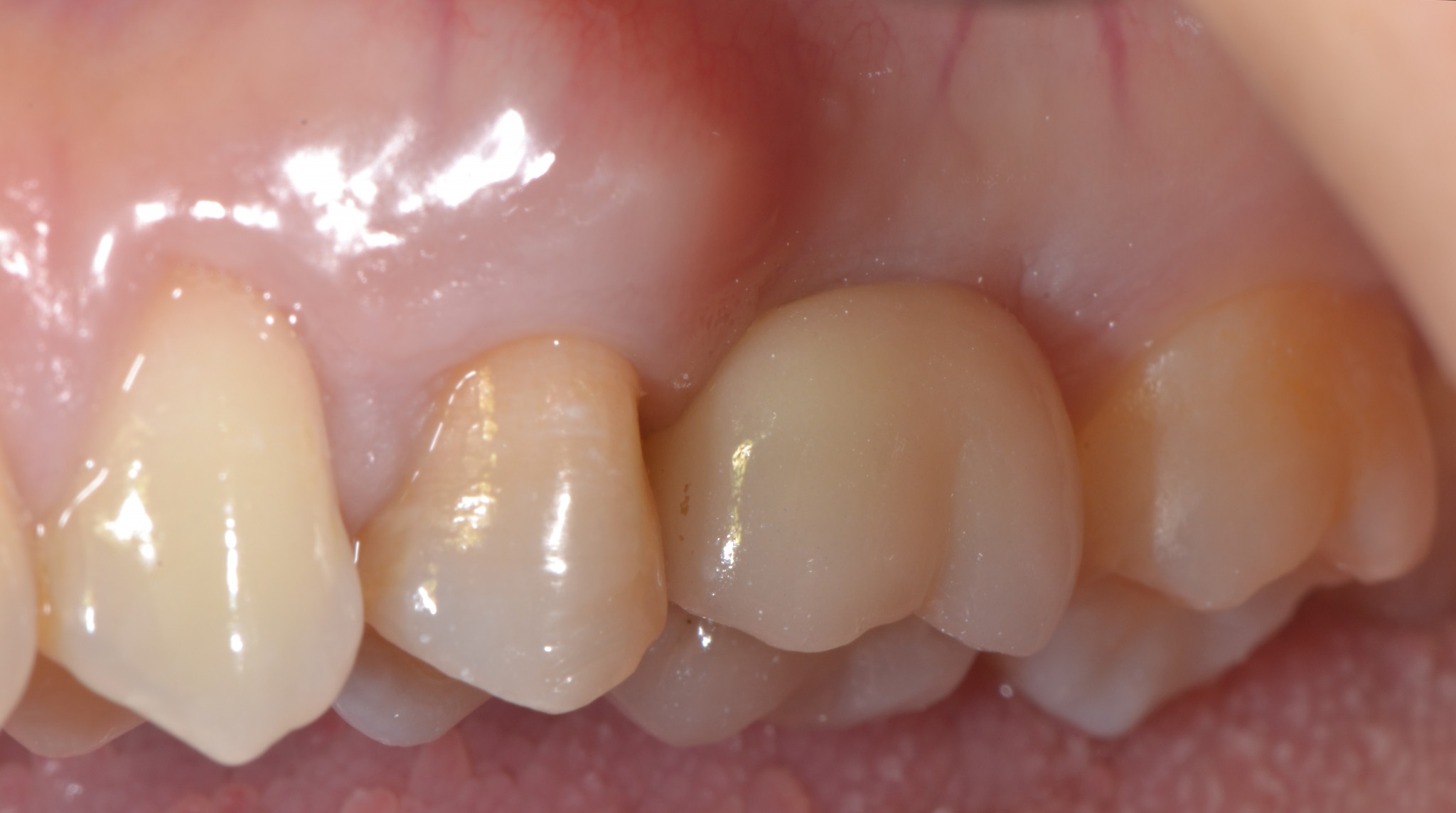
Mi interessava sapere qual è  attualmente la valutazione dei colleghi di un risultato come questo al termine di una riabilitazione implantare:

TAGLIATE2

Quello che vedi è un caso che ho trattato qualche anno fa e la mia valutazione al tempo è stata conforme a quella della maggior parte dei colleghi che hanno gentilmente risposto al sondaggio:

UN LAVORO DIGNITOSO

Diciamo senza infamia ne lode. Un risultato di routine.

Alcuni hanno fatto notatare l’isufficiente gestione del volume gengivale vestibilare ma considera che una cosa è vedere una foto macro fatta apposta per far notare un particolare aspetto, un conto è lavorare nella routine.

Ti assicuro che qualche anno fa quando ho consegnato quella corona ho salutato la paziente e sono andato a dormire sereno. Convinto di aver fatto un bel lavoro.

 

Chi vuoi che si lamenti per un risultato così nei settori posteriori?

Ora ti rivelo una scottante verità citando un testo di Jacques Horowitz:

“POCHISSIMI CLIENTI SCONTENTI FINISCONO PER ESPORRE EFFETTIVAMENTE UN RECLAMO… SOLITAMENTE PREFERISCONO RIVOLGERSI ALTROVE O RIMANERE IN SILENZIO”

Questo stampatelo in testa perché la gente di solito dice “io faccio così e nessuno si lamenta”. Il problema è che quando se ne lamenta uno vuol dire che gli scontenti sono dieci o venti o cento… dipende da quanto la tua organizzazione incentiva le lamentele o quanto invece cerca di evitarle e nasconderle.

Ed è proprio questo caso che mi ha fatto cambiare atteggiamento nella gestione della maggior parte dei casi è mi ha spinto ad approfondire la conoscenza del management dei tessuti molli.

Al controllo ad una settimana la domanda di Routine:

“Come andiamo Velentina?”

E la risposta inaspettata:

“Male…”

DSC_7498

“non sembra un dente vero”

DSC_7499

Mi si presentavano due opzioni. Potevo attuare la TECNICA DELLE TECNICHE che ti ho già spiegato nell’articolo precedente, e raccontarla alla paziente dicendole che quello era il risultato corretto, che un impianto non è un dente, che funzionava benissimo… in pratica: che non mi doveva rompere i coglioni.

Oppure potevo mettermi in discussione

via GIPHY

 

 

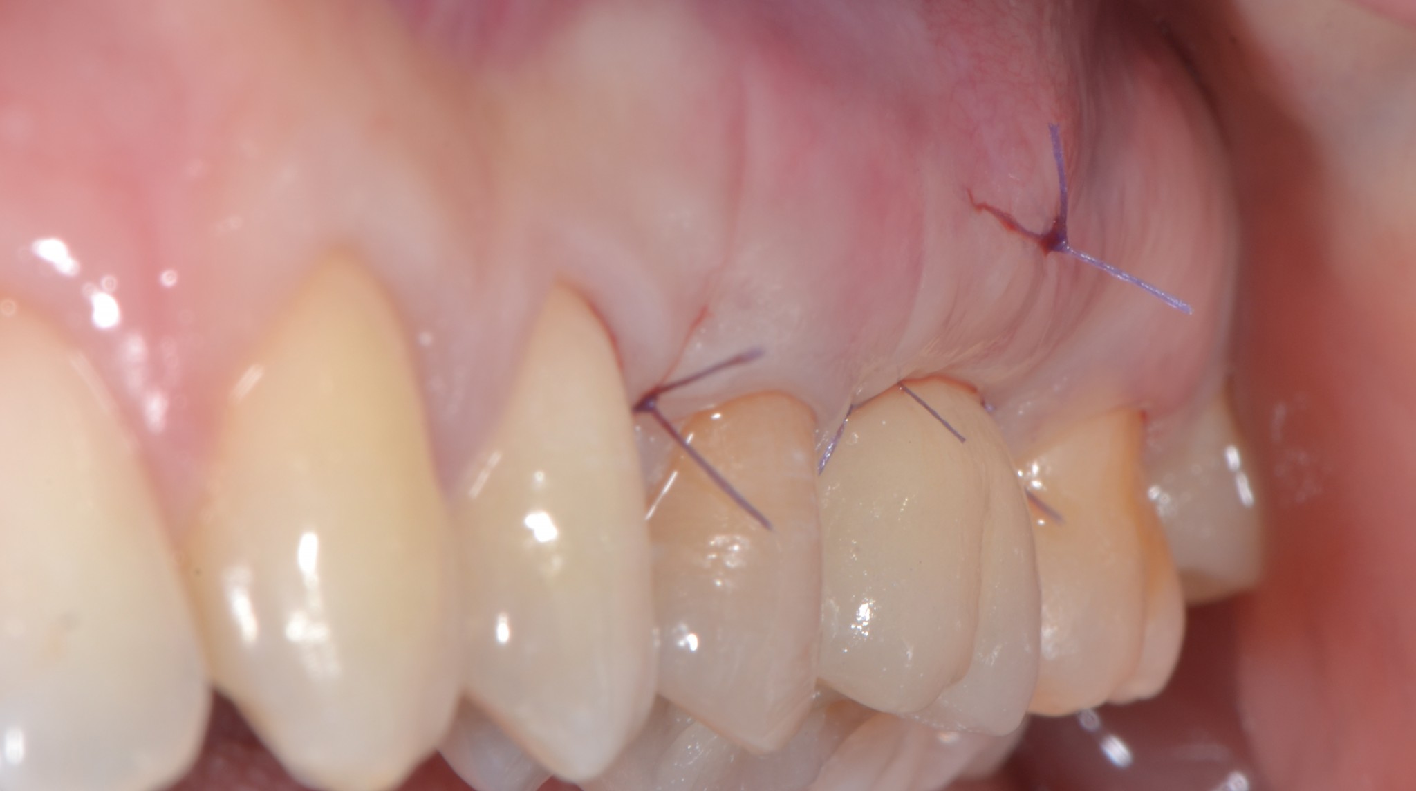
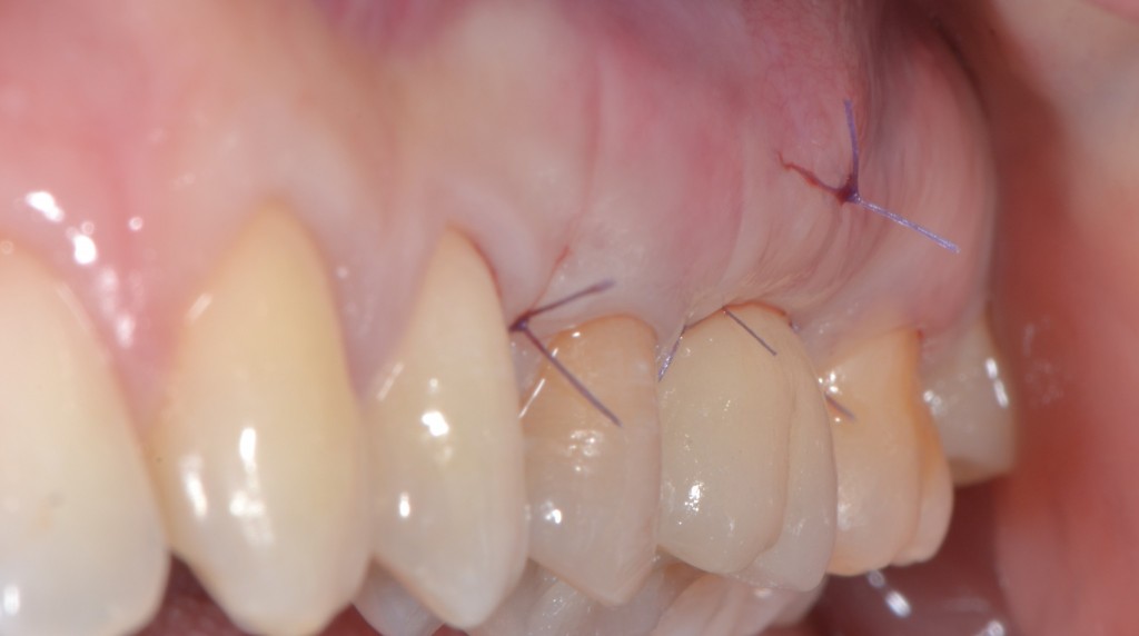
Per mia fortuna ho scelto la seconda opzione e oggi Valentina è ancora una nostra paziente super soddisfatta. Ovviamente ho dovuto farle un interventino di correzione. Sui tessuti molli… per carità… quelli duri erano più che sufficienti!!!!

Qualcuno potrebbe dire che vista la zona non estetica un intervento di aumento del volume vestibolare può essere troppo invasivo. E io rispondo che sono cavolate (fiu… mi sono trattenuto bene!).

Bisogna smetterla di spostare le nostre paure sul paziente scaricando su di lui la colpa del fatto che non ci sentiamo di eseguire una certa cosa.

 

Il paziente ha tutto il diritto di ottenere il risultato migliore possibile e se la cosa gli verrà spiegata nel modo corretto non ce ne sarà neanche uno che rifiuterà un perfezionamento del genere:

  • Meno di 30 minuti di intervento (tempo controllato dagli orari delle foto)
  • Fastidio al palato come se ti fossi bruciata con la pizza
  • Possibilità di sanguinare un po’ dal palato (meno di quando ti sanguina il naso)

Inoltre questa non è una chirurgia operatore dipendente! Non stiamo parlando di una GBR verticale di 11 mm. E’, senza alcun dubbio, una cosa che può fare chiunque disponga di:

  • Laurea
  • Iscrizione all’ordine
  • RC professionale
  • Bisturi, pinzetta e porta aghi
  • Le giuste conoscenze

Ti assicuro che non servono le manine fatate.

Ricorda inolte che il risultato ottenuto il paziente se lo porterà in giro per anni e anni; invece il fastidio (o dolorino) che ha provato per due giorni se lo dimenticherà nel giro di ¾ settimane. E non sto parlando di marketing, sto parlando dell’INTERESSE DEL PAZIENTE!

Anni di soddisfazione e mantenibilità in cambio di 2 o 3 giorni di bruciorino!!

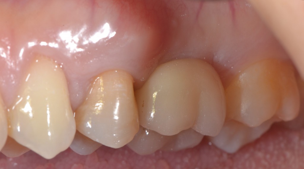
Guarda la foto alla fine dell’intervento, pensi che la paziente potrà avere grossi problemi?

tagliata3

Oggi, dopo circa 5 anni, questa è la foto del “dente” di Valentina. Sono Sicuro che se ti avessi fatto vedere solo questa foto non avresti visto nessun impianto. E ti assicuro che la paziente non ricorda quale sia il dente finto.

tagliata4

In un’infinità di situazioni una corretta gestione dei tessuti molli consente di ottenere ottimi risultati in termini di estetica, confort e mantenibilità.

 

Detto questo… non avevo intenzione di scrivere questo articolo. L’ho fatto all’ultimo tra un paziente e l’altro perché qualche collega, nei commenti al sondaggio, ha espresso il desiderio di sapere come era andata a finire.

E visto che per scriverlo ho investito del tempo, mi permetto di ricordarti che puoi apprendere le più aggiornate tecniche di gestione dei tessuti molli parodontali e peri-implantari comprando il mio corso online.

 

COMPRA SUBITO IL CORSO

 

Dacci dentro!

Un pensiero su “COSA DIAVOLO E’ QUESTA GESTIONE DEI TESSUTI MOLLI – ATTO SECONDO

Lascia una risposta

L'indirizzo email non verrà pubblicato. I campi obbligatori sono contrassegnati *